*** START OF THE PROJECT GUTENBERG EBOOK 77683 ***

[1]

OBSTIPATION

A PRACTICAL MONOGRAPH ON THE DISORDERS AND DISEASES OF THE RECTAL VALVE

BY

THOMAS CHARLES MARTIN, Ph. D., M.D.

of Cleveland, Ohio

Fellow of the American Proctologic Society, Professor of Proctology in the Cleveland College of Physicians and Surgeons, Proctologist to the Cleveland General Hospital, etc.

THE PHILADELPHIA MEDICAL PUBLISHING CO
1899


[3]

TO MY
GENEROUS COLLEAGUES
I GRATEFULLY DEDICATE THIS LITTLE BOOK.

T. C. M.


[4]

“I deny their existence, and if they did exist I would deny that their use was to support the fecal mass. For many years I have searched for these folds and I have yet to encounter them. In my opinion, they existed only in the author’s mind’s eye.”—Joseph M. Mathews, M.D., Diseases of the Rectum, p. 37.


CONTENTS

Prefatory.
Introduction.
A Chronologic Review of the Literature of the Rectal Valve.
The Chronology of Atmospheric Inflation of the Rectum for its Inspection.
The Examination of the Rectum.
Topographic Anatomy.
The Rectal Valve.
Defecation.
Obstipation in Infants.
Obstipation in the Adult.
Diagnostic Observations.
Cases of Obstipation Radically Treated.
List of Illustrations.

[5]

Prefatory.

That man is guilty of a most reprehensible foolhardiness who undertakes any of the operations herein recommended without first familiarizing himself with the anatomy of the rectum under the conditions specified.

The benefit which accrues to the obstipated patient is measured by the judgment and skill which the operator exercises in the selection of his subject, in the application of the proposed methods, and in the subsequent treatment of his patient.

Obstipation may be defined as that condition of obstructed defecation which is due to the presence in the rectum of an organic obstacle to the descent of the feces through it. Constipation, on the other hand, is that condition of delayed defecation which results from a prolonged retention of the feces in higher portions of the gut. Constipation may exist independently of any obstruction and may be due to any of several causes, such, for instance, as faulty habits and diet, imperfect innervation or modified secretion—the consequence of disease or accident. Obstipation and constipation may coexist.


[6]

Introduction.

The great diversity of opinion which characterizes the literature on the anatomy of the rectum, our discouraging record of compromise with the obstipated, paucity of definite knowledge of the etiology and pathology of stricture of this organ, the lack of safe and sure measures for acquiring this knowledge, the inefficacy of the methods generally employed in the treatment of rectal stricture, and the too heroic colostomy occasionally applied by the surgeon on the one hand, or else the supine inertia of the physician on the other hand,—all compel the search for a demonstrable conclusion to the matter.

That the rectal valve is the chief anatomic feature of the rectum is capable of demonstration. That in certain diseases of this organ it is to be reckoned with as the most important etiologic factor, or, in other words, that the rectal valve provides a ready foundation on which strictures may be quickly built, it shall be the attempt of this treatise to prove. If it is proved that the rectal valve exists, it will then be imperative that a method of diagnosis almost universally practised be abandoned, and it will also be necessary that the methods of treatment of certain obstructive lesions be modified; possibly, too, a new point of view may be afforded from which to study congenital malformation of the rectum.

A quarrel which is so archaic, so involved, and in which there is such multiplicity of contradiction concerning a matter of scientific interest, can not with proper understanding and with perfect fairness be referred to without the free and exact quotation of[7] the expressed opinion of the distinguished workers in this field.

I ask no consideration for my ipse dixit, but on the contrary undertake to present such evidence in support of my claims as reasonably may be considered documentary, such as photographs of specimens, certified drawings of historic specimens and of microscopic appearances of valve-sections, together with the detailed descriptions of the simple procedures by which my own findings may be readily verified. Anticipating, however, that some may complain that the technic for the anatomic research is too elaborate and the opportunity for its practice by the ordinary student too rare, I would bespeak a general interest in the subject by offering to the physician—after quoting sufficient of the literature to exhibit the precise status of the subject—a certain simple and practical method of inspection of the rectum, the employment of which will discover a basis for the prosecution of this investigation while at the same time it provides him with a ready resource for the discovery of many of the diseases of the rectum.[1]


[8]

A Chronologic Review of the Literature of the Rectal Valve.[2]

1723, Morganni, Adversaria Anatomica III; Lungduni Batavorum:

On page 10 observes that he found valves in two subjects situated about a finger’s-breadth above the anus. “The form of the valves in one,” he says, “was circular, and in the other transverse.”

1778, Cheselden, Anatomy of the Human Body; London:

On page 159 says: “As the gut approaches the anus, they (the valves) become less remarkable and fewer in number.”

1803, Portal, Cours d’Anatomie Médicale; Paris:

“One notices at the inferior extremity near the anus, certain folds of the internal membrane which form a sort of valves, arranged more or less circularly. Glisson, who recognized them, called them the semilunar valves. The inner membrane of which these folds are constituted sometimes relaxes and prolongs itself to the extent of forming an impediment to the passage of the feces.”

1810, Thomas Copeland, in Diseases of the Rectum and Anus; Printed for J. Callow, No. 10, Crown Court, Princes Street, Soho, London:

Omits mention of the rectal valve.

1815, M. Boyer, Traité d’Anatomie, tome IV; Paris:

The writer seems to verify the description of Portal. He says on page 377: “Sometimes, though[9] rarely, in place of the semilunar folds of which we have just spoken, veritable valves are found which in a manner control the inferior extremity of the rectum.”

1821, John Howship, in Diseases of the Lower Intestines and Anus; Printed for Longman, Hurst, Rees, Orme, and Brown, Paternoster-Row, London:

Omits mention of the rectal valve.

1824, Thomas Copeland, in Diseases of the Rectum and Anus; Printed for Callow & Wilson, Medical Booksellers, Princes Street, Soho, London:

Omits mention of the rectal valve.

1828, Frederick Salmon, Strictures of the Rectum; G. B. Whittaker, Ave-Maria Lane, London:

Speaking of the rectum, says: “When empty, its mucous coat is thrown into undulating folds, varying in number and size; near to the anus these folds are larger than in the upper part of the bowel, and are 4 or 5 in number; to these Morganni has given the appellation of the columns of the rectum. Between these, other processes are found denominated semilunar folds.” Obviously, a reference to the anal pockets and not to the semilunar valves.

1830, Houston, Dublin Hospital Reports, Vol. V: Hodges and Smith, College-Green, Dublin:

On page 158 writes: “In the natural state the tube of the gut does not form, as is usually conceived, one smooth, uninterrupted passage, devoid of any obstacles that might impede the entrance of bougies; it is, on the contrary, made uneven in several places by certain valvular projections of its internal membrane, which, standing across the passage, must frequently render the introduction of such instruments[10] a matter of considerable difficulty. Cloquet and some other anatomic writers have made a cursory allusion to this condition of the membrane; but all the authors who have treated of diseases of the rectum appear to have wholly overlooked it.

“The valves exist equally in the young and in the aged, in the male and in the female; but in different individuals there will be found some varieties as to their number and position. Three is the average number, though sometimes four, and sometimes only two are present in a marked degree. The fold of next most frequent existence is placed at the upper end of the rectum. The third in order occupies a position midway between these, and the fourth, or that most rarely present, is attached to the side of the gut, about one inch above the anus.

“The form of the valves is semilunar; their convex borders are fixed at the sides of the rectum, occupying in their attachments from one-third to one-half of the circumference of the gut. Their surfaces are sometimes horizontal, but more usually they have a slightly oblique aspect, and their concave, floating margins, which are defined and sharp, are generally directed a little upward. The breadth of the valves about their middle varies from a half to three-quarters of an inch and upward in the distended state of the gut. Their angles become narrow, and disappear gradually in the neighboring membrane. Their structure consists in a duplicature of the mucous membrane, inclosing between its laminae some cellular tissue, with a few circular muscular fibers. The only method by which the condition of these valves in the distended state of the rectum can be displayed, is that of filling and hardening the gut with spirit previous to being disturbed from its lateral connections. By the ordinary procedure of distending it after removal from the[11] body the valves are made to disappear. Their presence may likewise be ascertained in the empty state, if looked for soon after death, and before the tonic contraction of the gut has subsided.

“They will be found to overlap each other so effectually as to require considerable maneuver in conducting a bougie or the finger along the cavity of the intestine.”

1830, Abraham Colles, A.B., M.D., P. of S. in the R.C. of S. in Ireland, in Practical Observations upon Certain Diseases of the Anus and Rectum; Dublin Hospital Reports, Vol. V:

Omits mention of the rectal valve.

1837, George Bushe, Treatise of the Malformations, Injuries and Diseases of the Rectum; French & Allard, New York:

Regard for brevity justifies quotation under Kelsey, 1893.

1840, Andrew Paul, A.B., M.B. Trin. Coll., L.R.C.S., in Diseases of the Rectum; John Churchill, 16 Princes Street, Soho, London:

Omits mention of the rectal valve.

1844, Wilson, The Dissector, page 52; P. B. Goddard, M.D., Philadelphia:

“In the cecum and colon the mucous membrane is smooth, but in the rectum it forms three valvular folds, one of which is situated near the commencement of the intestine; the second, extending from the side of the tube, is placed opposite the middle of the sacrum; and the third, proceeding from the front of the cylinder, is situated opposite the prostate gland.”

1845, Nelaton:

Regard for brevity justifies quotation under Kelsey, 1893.

[12]

1846, James Syme, F.R.S.E., in Diseases of the Rectum, Second Edition; Adam & Charles Black, Edinburgh; Longman, Brown, Green & Longmans, London:

Omits mention of the rectal valve.

1848, E. D. Silver, M.D., Reg. Coll., in Diseases of the Rectum and Anus; Simpkin, Marshall & Co, London:

Omits mention of the rectal valve.

1851, Horner, Special Anatomy and Histology, Vol. II, p. 47; Philadelphia:

“At a corresponding part on each side of the gut, in its interior, exists a transverse doubling of the mucous membrane, forming the valvula conniventes alluded to. The result of this arrangement is a semicircular valve on each side, one above the other, the margins and diameters of which pass each other in the empty and contracted state of the rectum, but touching at the same time, and they present an additional barrier to the involuntary evacuation of feces.”

1853, Hyrtl, Topographic Anatomy:

Regard for brevity justifies quotation under Chadwick, 1878.

1855, Richard Quain, F.R.S., in Diseases of the Rectum; Walton & Maberly, London:

Omits mention of the rectal valve.

1860, T. J. Ashton, in Rectum and Anus; Blanchard & Lea, Philadelphia:

Omits mention of the rectal valve.

1865, Henry Smith, F.R.C.S., in Surgery of the Rectum, Fourth and Fifth Editions; J. & A. Churchill, New Burlington Street, London:

Omits mention of the rectal valve.

[13]

1866, Henry Lee, F.R.C.S., in Affections of the Rectum; John Churchill & Sons, New Burlington Street, London:

Omits mention of the rectal valve.

1870, Wm. Bodenhamer, Physical Exploration of the Rectum; William Wood & Company, New York:

“The idea of calling these small folds valves, and then of their becoming relaxed and prolonged, except in a diseased state, so as to form a barrier or an obstruction to the passage of the feces, is, to say the least of it, hypothetic. If ever such cases occur, they must be rare indeed.

“The first anatomist, however, who called especial attention to a valvular arrangement of the rectum, was Mr. John Houston, of Dublin, Curator of the Museum, and one of the administrators in the School of the College of Surgery in Ireland. This he did in a very able practical paper entitled, Observations on the Mucous Membrane of the Rectum, inserted in the fifth volume (1830) of the Dublin Hospital Reports.”

After quoting from Houston the passages already quoted by me, Bodenhamer continues:

“I have quoted quite sufficient from this ingenious author to present him fairly, and I hesitate not to say at once that, in my opinion, he has entirely failed to establish the verity of his statements, that the folds or projections of the rectum are genuine valves; that they are sufficiently strong to bear the whole weight of the fecal mass, and to retard its downward movement and cause it to take a winding direction; and that they exert great opposition to the introduction of the finger, the bougie, or any other instrument not in the shape of a corkscrew.

“The anatomic evidence against the existence of veritable valves in the rectum is corroborated by numerous facts, a few of which I will now adduce:

[14]

“I maintain that the irregular folds of the mucous membrane of the rectum, supposed to be valves by the several authors I have named, are not permanent but purely accidental, and are caused by the partial contraction of the intestine. This can be verified by any one by carefully examining this membrane in the same subject on different days, at such time when the rectum is not distended; and these folds will be found each time to be more or less changed in appearance, and to occupy different situations. Not so with veritable valves anywhere in the body.

“I further maintain that valves, such as described by Mr. Houston, capable of supporting the whole weight of the fecal matter collected in the rectum, and of resisting the introduction of the bougie or the finger, would most certainly be easily distinguishable and demonstrable in the living body; and in the dead body the removal of the organ ought not to obliterate them, but, on the contrary, that they should be capable of being demonstrated easily, and at any period previous to decomposition.

“I deny most positively that these plicae, except in an indurated or diseased state, are ever firm and unyielding; on the contrary, they are soft, pliable and unresisting, being easily displaced by a proper-sized bougie, or, if in reach, by the extremity of the index-finger, either being well lubricated, and gradually introduced into the rectum. Should there be resistance, it will be found not to be occasioned by valves, but either by fecal accumulation, by the promontory of the sacrum, by contraction of the rectum, by one or more tumors, by chronic irritation or inflammation of the mucous lining, by spasm in nervous and irritable subjects, etc. I have often found that a small-sized rectal bougie—say a No. 2 English—will be apt to become hooked or entangled in these folds or superabundant[15] membrane, while one of a much larger size will so dispose of them as to pass readily. A small sound, as a general rule, the organ being in a normal and healthy state, will often encounter much more resistance than a larger one, as any one must have experienced who has frequently sounded the rectum or urethra.

“Veritable valves contain muscular fibers, and are capable of firmly constricting the bowel, and can never be entirely effaced by distention, I care not how far it is carried in length and in width; not so these irregular folds, for they may be completely defaced” (effaced) “by this process.

Veritable valves sufficiently large and strong to obstruct or dam up this inferior extremity of the rectum is simply ridiculous; such never have, and, in my opinion, never can be demonstrated, the able authorities I have quoted to the contrary notwithstanding. I admit that these accidental folds of the rectum resemble the valvulae conniventes of the small intestines; that they look like valves; yet they lack the essential attributes, and, consequently, are not valves.

“The foundation of Mr. Houston’s error in relation to these folds of the mucous membrane of the rectum, was his peculiar method of investigation. He did not examine this membrane in its natural state, indeed, his procedure was anything but natural, although he intimates that it is the only method by which the condition of these valves, as he calls them, can be displayed.”

1876, T. B. Curling, F.R.S., in Diseases of the Rectum; J. & A. Churchill, New Burlington Street, London:

Omits mention of the rectal valve.

1877, Daniel Mollière, in Maladies du Rectum et de l’Anus; G. Masson, Éditeur, Libraire de l’Académie de Médecine, Paris:

Omits mention of the rectal valve.

[16]

1878, Chadwick, Transactions of the American Gynecological Society, Vol. II, page 43; Houghton, Osgood & Company, Cambridge:

“Hyrtl (1853), in his treatise on Topographical Anatomy, devotes three pages to the consideration of what he designates as the sphincter ani tertius. From his description the only inference is that Hyrtl has generally found a bundle of muscular fibers so encircling the rectum as to exercise the function of a sphincter, at least when the other sphincters are for some reason inoperative. On inflating rectums, however, in accordance with the directions given by him, it is rather surprising to discover that no such annular constrictions appear. At the point of the rectum designated by him is, nevertheless, observable a semicircular constriction of the rectum confined to the anterior wall; corresponding to this, but an inch or more higher up, is always seen a second semicircular constriction affecting the posterior wall only. If, now, the rectum be cut open, and its mucous membrane dissected off, as directed by Hyrtl, each of these two constrictions may be demonstrated to consist, as he says the ‘third sphincter’ does, of an agglomeration of the circular muscular fibers of the rectum. I am able to show you seven rectums taken from dissecting-room subjects, from which we dissected off the mucous membrane after cutting them open longitudinally. In all of these you cannot fail to find corroboration of my statements in the presence of two distinct masses of circular fibers, each encircling about half the circumference of the canal.

“If, now, a mass of feces be supposed to advance through the rectum, following the sinuosities, it is evident that these bundles of fibers, when not in active contraction, would present scarcely any obstacle to its progress. It is further noticeable these partial constrictions[17] of the canal differ only in degree from the constrictions visible in the higher segments.

“At about 2½ inches from the anus the finger encounters a confused mass of folds through which the continuance of the canal can only be discovered by considerable burrowing. Here an annular constriction, diminishing the lumen by about one-half, seems to be felt.

“If, now, the rectum be distended with water, the finger will almost invariably detect, in place of the lax folds, what still seems to be an annular constriction, but which a more careful examination will show to be composed of two distinct semicircular bands slightly overlapping each other, the posterior being somewhat higher than the anterior.”

Chadwick continues: “Being familiar with the views of Nelaton, Hyrtl, and others, I at first sought to assign to this apparent constriction of the rectum sphincteric functions, but soon had to relinquish that idea, for the exploration of very many rectums in the living failed to reveal a single one in which the lumen of the supposed sphincter, when quiescent, had a smaller diameter than three-quarters of an inch, while in the majority it was over an inch.

“These anatomical and clinical observations all tend to indicate that the term ‘third sphincter ani,’ applied by Hyrtl to these constricting bands, is a misnomer, and to show that they are simply a part of the general circular layer of muscles, whose function is to dilate before and contract behind the scybala, thereby propelling them on their way and not retarding them.”

Chadwick concludes, saying: “Having seemingly elucidated the true function of the ‘third sphincter ani,’ and proved by the above observations that it should more properly be termed a detrusor faecium, if deserving of any special appellation, my attention[18] was next directed to the action of the internal sphincter.”

1879, W. H. Van Buren, M.D., on Phantom Stricture and other Obscure Forms of Rectal Disease; The American Journal of the Medical Sciences, October, 1879:

“The walls of the rectal pouch tend to fall into lose folds when empty, and they present also certain slight permanent partial constrictions or narrowings. The uppermost one of these corresponds with the level at which the rectum gets its complete peritoneal investment. A normal narrowing at this point has been already frequently recognized, and the fact has been confirmed, by good observers, in the experiments in manual exploration recently practised upon the rectum.

“Other writers have described slighter and more or less constant permanent narrowings at and below this point of the rectum as a ‘third sphincter,’ and, in fact, have cumbered the archives of surgery with a good deal of fruitless speculation concerning an organ to which anatomy and physiology have been equally unsuccessful in assigning either certainty of location or certainty of function.”

1881, Georg Koehler, prakt. Arzt, Darmresection bei Carcinom des Dickdarms; A. Neumannische Buchdruckerei (C. Ducius) in Breslau, Altbüsserstrasse 42:

Omits mention of the rectal valve.

1882, Dr. Victor Patzelt, Ueber die Entwicklung der Dickdarmschleimhaut; in Commission bei Carl Gerold’s Sohn, Buchhändler der kaiserlichen Akademie der Wissenschaften:

Omits mention of the rectal valve.

1884, Oscar Juliusberger, prakt. Arzt, Beiträge zur Kenntniss von den Geschwüren und Stricturen des Mastdarms; Druck von Grass, Barth u. Comp. (W. Friedrich), Breslau:

Omits mention of the rectal valve.

[19]

1886, Hermann Kummell, Ueber hochgelegene Mastdarmstricturen; Druck und Verlag von Breitkopf und Härtel, Leipsic:

On page 2634 briefly refers to Hyrtl’s Sphincter ani tertius and to the Falten des Rectums.

1886, Samuel Benton, L.R.C.P. (London), M.R.C.S. and L.H. (England), in Diseases of the Rectum; Henry Renshaw, 356 Strand, London:

Omits mention of the rectal valve.

1887, Dr. Friedrich Esmarch, Die Krankheiten des Mastdarmes und des Afters; Verlag von Ferdinand Enke, Stuttgart:

On pages 7 and 8 says: “Only one large transverse fold does not usually disappear under complete dilatation because the longitudinal muscular layer passes outside of this; this fold is situated about .6 to .8 cm. above the anus at the junction of the middle and upper division of the rectum, and does not include the whole circumference, but arises for the most part somewhat obliquely as a sickle-formed fold of mucous membrane projecting, at the most, 15 mm. from the right and anterior walls of the rectum. Kohlrausch has called this fold the plica transversalis recti. As it not seldom contains distinct circular muscular fibers it has been described by several authors [Houston (?), Hyrtl] as the sphincter ani tertius....

“Inflammatory and cancerous strictures often occur in this situation. In addition, a similar fold is often found also in the region of the sigmoid flexure.

“In rarer cases, also, transverse folds, which do not disappear on inflation” (of the gut) “are found in other situations; these folds are probably due to a coalescence of the opposing walls of short lateral curvatures.”

[20]

1887, Alfred Cooper, F.R.C.S., in Diseases of the Rectum; H. K. Lewis, 136 Gower Street, W. C., London:

Omits mention of the rectal valve.

1887, Walter J. Otis, M.D., Anatomische Untersuchungen am menschlichen Rectum; Veit & Company, Leipsic:

Elaborate investigation on the cadaver led him to say: “The rectum consists of large sacular dilatations marked off from each other by intermediate partitions or folds, projecting alternately from left to right, one beyond the other.” And agreeing with Houston, he says: “These partitions or folds are semilunar in shape, involve rather more than one-half of the circumference of the internal surface, extend a little farther on the anterior than on the posterior wall and project at the center, where they are deepest, from one to two and a half centimeters into the lumen of the bowel.” The number of visible folds of this kind found by him was always two or three, two of which were constant, the other variable. He locates these valves as did Houston, and continues: “The folds described within the bowel are composed of mucous membrane and bands of circular muscular fiber in greater or less proportions. The longitudinal fibers do not enter into the construction of the folds....

The physiologic action of this arrangement of the circular fibers I believe to be as Chadwick has described, viz., that it is a part of the expulsory apparatus of the intestine to propel the feces toward the anal outlet, rather than to offer an obstacle to their descent.” Continuing, Otis suggests: “That the divisions between the sacculi which Houston described as the ‘Valves of the Rectum,’ Kohlrausch as ‘Plica Transversalis Recti,’ and Bauer as ‘Die Falten des Mastdarms,’ be called plicae recti, and as they are placed on the sides of the rectum, that they be designated as[21] right and left plicae. That the lowest plica on the right, which is the plica transversalis of Kohlrausch, be always known as such.”

1888, Wm. Allingham, revised by Herbert Wm. Allingham, in Diseases of the Rectum, Fifth Edition; J. & A. Churchill, 11 New Burlington Street, London:

Omits mention of the rectal valve.

1889, Martin Sihle, Ein Beitrag zur Statistik der Rectumcarcinome; Schnakenburg’s Buchdruckerei, Dorpat:

Omits mention of the rectal valve.

1890, W. H. Van Buren, M.D., LL.D. (Yale), in Diseases of the Rectum; D. Appleton & Company, New York:

Omits mention of the rectal valve.

1890, Harrison Cripps, F.R.C.S., in Diseases of the Rectum and Anus; J. & A. Churchill, London:

Omits mention of the rectal valve.

1890, Le D’Andre Jacquinot, in Rétrécissement Vénérien du Rectum; G. Steinhall, Éditeur, 2, Rue Casimer Delavigne, Paris:

Omits mention of the rectal valve.

1891, Dr. Joseph Schaffer, Beiträge zur Histologie menschlicher Organe; in Commission bei Carl Gerold’s Sohn, Buchhändler der kaiserlichen Akademie der Wissenschaften:

Omits mention of the rectal valve.

1892, Dr. Rudolf Frank, Ueber die angeborene Verschliessung des Mastdarmes und die begleitenden inneren und äusseren angeborenen Fistelbildungen; Verlag von Josef Safar, Wien:

Omits mention of the rectal valve.

[22]

1892, Edmund Andrews, M.D., LL.D., and Edward Willis Andrews, A.M., M.D., in Rectal and Anal Surgery; W. T. Keener, 96 Washington Street, Chicago, Ill.:

Omits mention of the rectal valve.

1893, Kelsey, Diseases of the Rectum and Anus, page 26; William Wood & Company, New York:

“It is now about half a century since Nelaton, (1845) first described the third sphincter muscle, and in spite of all that had been written concerning it since that time, it is only a few years since Van Buren (1878) characterized it as an organ to which anatomy and physiology had been equally unsuccessful in assigning either certainty of location or certainty of function. For the original description of the muscle by Nelaton we are indebted to Valpeau, who writes that he has verified the existence of a sort of sphincter of the rectum, lately discovered by Nelaton, and goes on to say that it is a muscular ring situated about four inches above the anus, just in the place where retractions of the rectum are most often found. If, after turning the rectum so that its mucous surface is external, it is moderately distended by inflation, the muscles will be seen to be made up of fibers collected into bundles.

“Sappey admits its frequent existence, and locates it at the level of the base of the prostate, in the middle portion of the rectum, six, seven, eight or sometimes nine centimeters from the anus. It never completely surrounds the rectum, but only one-half or two-thirds its circumference; and it appears to him to be caused by a grouping of the circular muscular fibers. Its breadth is one centimeter, and its thickness two or three millimeters. Situated sometimes in front, sometimes behind, and again laterally or antero-laterally, it is constant in nothing except its[23] direction, perpendicular to the axis of the bowel. In place of one he has sometimes found two bands at opposite points and different levels, and in one specimen there were three. Henle adopts Sappey’s description in the main. Petrequin found the muscle irregularly oblique, less marked in the front wall than in the back, and consisting of a weak band of fibers.”

After these references Kelsey comments as follows: “The third sphincter muscle and the valves of mucous membrane in the rectum are not, as might be supposed, one and the same thing, though it is true that they have become almost hopelessly confounded in surgical and anatomical literature, and are often spoken of as identical. The valves of the rectum, we use the word simply as expressing the folds of the mucous membrane, were first described by Houston at about the same time that Nelaton described the superior sphincter; and it is worth remembering that the two authors were writing about two entirely different things, and two things which stood in no necessary relation to each other, so far as we may judge from their descriptions.

“According to this first and clearest of all descriptions—for the whole article (Houston’s) is written with a force and clearness of style which have perhaps had an undue weight in disarming criticism as to the facts—the valves exist in all persons, but vary much in different individuals as to location and number.”

Kelsey quotes Houston’s description, which has already been quoted by me, and in contravention says: “The palpably weak points in Houston’s article were very soon pointed out by O’Bierne (1833) in a work of marked and almost amusing originality. O’Bierne seems rather to regret that he is unable[24] to accept Houston’s statements as to an anatomic condition which would account so fully and so easily for the physiologic emptiness of the rectum and fulness of the sigmoid flexure on which his (O’Bierne’s) own views depend; but nevertheless he sets himself to the task of demolishing them with great vigor and considerable success. Although he believed the rectum to be normally empty, except just at the time of defecation, he believes that condition to depend upon the anatomic arrangement of the sigmoid flexure joined with the narrowing of the upper end of the rectum, which is entirely independent of any folds of mucous membrane. He not only denies the existence of any such folds, but stated flatly that Houston is altogether incorrect in his statement that Cloquet (1828) or any other anatomist before his (Houston’s) time (1830) makes even the slightest allusion to them. He (O’Bierne) believes the folds to have been produced by the method of making the preparations, distending and hardening all the parts with spirit before making the incision, and asserts that this method is anything but natural, and nothing more nor less than an attempt to exhibit natural appearances by placing the parts in an unnatural situation—such a situation, indeed, as is not known to be necessary for the exhibition of the valvulae conniventes or any other valve of the body. He (O’Bierne) meets the statement that by the ordinary procedure of distending the rectum after removal from the body the valves are made to disappear, by the question, why, if such valves really exist, and if muscular fibers enter into their structure, they should not be discoverable at any time after death, or in any state of the intestine—a question very difficult of solution.

Kelsey, continuing, says: “Four years later (1837) the voice of a New York surgeon was raised against[25] these folds, and in almost the same language as O’Bierne’s, though from an entirely different standpoint. Bushe[3] (1837) declares that he has never in the living body, been able to detect any valve of such firmness and capable of exerting any such influence upon the descent of the feces as Houston describes, though he has frequently met with accidental folds produced by the partial contraction of the bowel. He (Bushe) points out that, by the method of hardening the rectum after distending it with spirit, the accidental folds are rendered permanent by the induration resulting from the action of the alcohol; and that, by the method of inflating and drying, the projections resembling valves are produced by the angles formed by the setting of the intestine during the process of desiccation.”

Referring to Otis’s investigations Kelsey says: “Except this description of the arrangement of the muscular fibers and folds of mucous membrane is more exact and definite than any previously given, and as to this constancy of location my own observation does not lead me to entirely agree, the author’s conclusions from his dissections are not different from those of other writers.”

Kelsey, in his edition of 1898, repeats the substance of his discussion just quoted.

Kohlrausch locates one important fold, the plica transversalis recti, at the same point that Houston locates the most constant of the valves, projecting well from the right side of the bowel, forming a little more than a semicircle and running farther on the anterior than on the posterior wall. Kohlrausch says that this fold is known as the sphincter ani tertius, though he does not think that the anatomic conditions[26] justify the title, as the circular muscular fibers do not enter into the structure and are not developed more here than elsewhere.

Sappey describes the bowel in its empty state as presenting various folds of mucous membrane, having no determinate direction, and but slightly marked. Of 30 rectums examined, he found but three that answer at all to Houston’s chief valve or Kohlrausch’s plica transversalis recti. He says that there is no proof that these folds persist when the rectum is full, but that they probably are effaced by distention, and that it is an abuse of language to apply the name valve to them.

Henle says that there is but one permanent valve, the “plica transversalis recti,” which is present only in a minority of subjects.

Rosswinkler describes and locates two folds, but locates them differently from several of the other authorities.

1893, Mathews, Diseases of the Rectum, Anus and Sigmoid Flexure, page 37; D. Appleton & Company, New York:

Declares he has not been able to find the valve, and discussing this subject, asks: “Is there a third sphincter muscle?” and answers that Kelsey, in his work on the Diseases of the Rectum and Anus, page 39, says: “From a study of the literature of this question, and from the results of dissections and experiments which we have been able to make, we are led to the following conclusions:

“1. What has been so often and so differently described as a third or superior sphincter ani muscle is in reality nothing more than a band of areolar muscular fibers of the rectum.

“2. This band is not constant in its situation or size, and may be found anywhere over an area of 3 inches in the upper part of the rectum.

[27]

“3. The folds of mucous membrane, which have been associated with these bands of muscular tissue stand in no necessary relation to them, being inconstant and varying much in size and position in different persons.

“4. There is nothing in the physiology of the act of defecation as at present understood, or in the fact of a certain amount of continence of feces after extirpation of the anus, which necessitates the idea of the existence of a superior sphincter.

“5. When a fold of mucous membrane is found, which contains muscular tissue, and is firm enough to act as a barrier to the descent of the feces, the arrangement may fairly be considered an abnormality, and is very apt to produce the usual signs of stricture.

Mathews then adds: “The only exception I would make to any of these is to note 2, which says, ‘This band is not constant in its situation or size.’ I would beg to amend by saying that the band in many instances is entirely absent. I quite agree with all these conclusions of Kelsey, but would relegate the third or superior sphincter ani muscle to the company of ‘Houston’s valves,’ and to the ‘pockets and papillae.’”

Mathews, in his edition of 1897, repeats these statements, and adds that he believes “the rectal valve exists only in the author’s mind’s eye.”

1894, Charles B. Ball, M. Ch. (Univ. Dub.), F.R.C.S.I., in The Rectum and Anus, their Diseases and Treatment; Lea Brothers & Company, Philadelphia:

Omits mention of the rectal valve.

1896, A. Ernest Maylard, M.B., B.S. (Lond.), in Surgery of the Alimentary Canal; P. Blakiston, Son & Company, 1012 Walnut Street, Philadelphia:

Accepts Houston’s views without qualification.

[28]

1896, Bert B. Stroud, Annals of Surgery, July:

Anal Pockets. The pectineal dentations are not usually equally developed. But in rare instances two large ones adjoin, and the depression between them is a large foliated sac or pocket. The walls of this pocket contain numerous sacculi Horneri. The outer side of the pocket is formed by a substantial fold of epithelium which unites the two dentations. In the cases examined each terminated in a well-marked papilla. The fold has the appearance of a valve, which, if it were sufficiently developed, might be of service in helping to retain the feces under unfavorable conditions. This, so far as I have been able to determine, is a human peculiarity and not constant. It also, like the papillae, has been described as pathologic.

Considering these facts, a question naturally arises, Is not Nature in the process of evolving for man additional organs for his convenience and safeguard? A careful compilation of statistics at intervals, of say each generation, would throw light on this question.

This interesting speculation was, however, preceded by the fact itself, which is shown by the existence of a rectal valve, as will subsequently be incontrovertably demonstrated.

1896, Gant, Diseases of the Rectum and Anus, page 10; The F. A. Davis Company, Philadelphia:

“Internally the rectum presents three or four transverse folds. According to Houston the largest one is situated three inches above the anus,” etc., quoting Houston; and in conclusion Gant says: “The folds become almost obliterated when the bowel is distended.


This literature makes it obvious that there is an imperfectly understood anatomic feature in the rectum.

[29]

It is not improper to assume that, if the judgment of trained observers be equal, their description of the thing considered will vary in the main, only as does the medium through which the view of each is obtained. Our critic review of the literature on this subject has revealed two important facts: that observers employing like means of investigation adduce almost identic evidence, and that the more nearly the method of one approaches that of the other the more in accord are the conclusions reached. By the employment on both living and dead subjects of the methods used by the various observers, I have secured results similar to theirs, which, when considered collectively and in comparison with the results of my recent researches, are practically and logically as harmonious as they have heretofore appeared contradictory, which proves that for about one and three-quarter centuries these gentlemen have been discussing the same anatomic feature, but have observed it from quite different points of view.

Houston distended and hardened the rectum in situ with spirit. On mesial section of the subject the gut presented valve-like folds with unvarying constancy but in varying number, and in different location in different subjects. He declared their structure to be a duplicature of mucous membrane and bundles of circular muscular fibers only. Others recognizing that in moderate distention the mucous membrane is loosely adherent in the lower rectum, insist that under the conditions employed by Houston the membrane would assume the same appearance as that described by him, and therefore conclude that these features are accidental folds and not valves; and, as Houston did not support his statement by attributing to these valves the histologic element which histologists recognize as the essential feature of a valve, the opinion of[30] his opponents is seemingly reasonable, but is nevertheless a mistake.

Hyrtl employed atmospheric distention after removal of the gut, and observed an appreciable thickening of the wall of the rectum beneath the mucous membrane, and with apparent reason assumed this thickening to be muscle only. Under the same manipulations a valve may be made to lose its valvular form and seem to support this view.

Velpeau supported Nelaton’s claim for the superior sphincter by removing the rectum and turning it inside out, so that its mucous membrane was external, and then by inflation demonstrated a marked constriction on the now external surface, which was distinctly claimed to be nothing other than a muscular band. It is not difficult to understand how the true valve within the normally situated gut would appear as a constricting band when the rectum is removed and turned in the manner described.

Horner’s observations are put to the question.

Chadwick discovered by digital exploration the lowermost of the valves, which he declared to be a detrusor fecium muscle only instead of a valve. I find that these valves, when not the seat of disease, though often discoverable, frequently elude the finger of average length, or if high up, are inaccessible to it. As the uppermost valve is seldom less than nine inches (22.86 cm.) from the anus, this means of determining their presence is not usually satisfactory. This was proved by an instance: a subject was examined in which the lowermost semilunar valve was malformed into a congenital annular or diaphragmatic stricture with a circular aperture, which, although at times within three inches (7.62 cm.) of the anal verge, escaped my digital perception and that of a dozen other medical men in attendance at my clinic[31] and was not discovered until subsequently revealed by proctoscopy.

Otis’s methods of inquiry were direct and to him must be accredited the achievement of making the first positive ocular demonstration of the existence of the valves. He, however, like Houston, attributes to this band no especial structural element other than is found at any and all parts of the intestinal tube. He agrees with Kohlrausch, and calls the largest band the plica transversalis recti of Kohlrausch. And he agrees with Chadwick that “its function is expulsory only.”

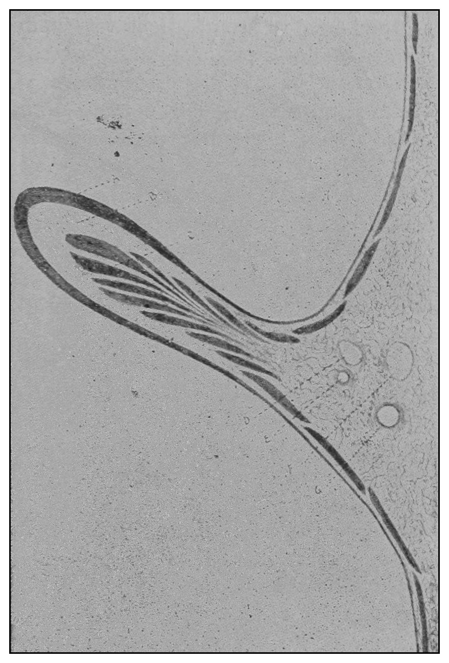
The photographic reproductions here published are documentary evidence of the existence of the obstructions under discussion. The sketch, Fig. 33, which was drawn from the valve while under the microscopic lens, exhibits the character of these obstructions and proves it that of a typic anatomic valve, and the absence of permanent bands of any other character in this organ is evidence that the semilunar valves and the so-called plica transversalis recti, Falten des Rectums, sphincter ani tertius, superior sphincter, and detrusor fecium muscles are one and the same thing and this thing is essentially a valve. It is most prominent when the gut is most distended.


The Chronology of Atmospheric Inflation of the Rectum for its Inspection.

Proctoscopy has proved an open sesame to a newer proctology.[4] As there seems to be some confusion of opinion concerning the time of its origin and the chronology of its evolution, the present time is opportune for a brief historic review of the subject.

[32]

In 1845 Dr. J. Marion Sims[5] discovered by a chance that a hollow or tubular pelvic viscus would inflate provided the orifice were opened at a time when the patient’s hips were higher than the chest. He elaborated the manner of this discovery to a method of procedure. He first used the knee-chest posture, and subsequently the semiprone-semiflexed position with elevated hips. This posture became known as Sims’ posture, and the instrument which he designed as Sims’ speculum. The first published account of his method appeared in 1852, in the January number of the American Journal of the Medical Sciences.

In 1871 Dr. Wm. H. Van Buren,[6] of New York, was the first to publish an account of the use of the identical postures and Sims’ speculum for atmospheric inflation and inspection of the rectum and sigmoid flexure.

In 1882 Dr. Wm. Allingham[7] employed elevation of the patient’s hips and a tubular speculum, and achieved the same results. In subsequent editions of his book in 1888 and 1896 he repeats a description of his rather crude operation for inspection of the rectum through a cylindric tube.

In 1887 Dr. Alfred Cooper[8] described a similar posture, and suggested the use of two retractors for the purpose of opening the anus.

In 1887 Dr. Walter J. Otis,[9] of Boston, published in Leipsic a monograph on the subject of rectal inspection, and described the use of the knee-chest posture and of two retractors.

[33]

In 1887 Prof. Esmarch[10] described a method similar to that of Dr. Otis.

In 1895 Dr. Howard A. Kelly[11] described a method of proctoscopy by means of tubular speculums which are very similar in construction to those of Dr. Edmund Andrews, which Dr. Andrews first described in 1887.

Dr. Kelly’s article, however, was the first to catch the attention of the general profession, and to him is due the credit of pointing out to a multitude of physicians the possibility of rectal inflation for inspection by such means. Kelly’s technic and tubular speculums are far superior to those of Mr. Allingham, who first employed a similar method in 1882.

In 1896 I published in the July number of Mathews’ Quarterly Journal of Rectal and Gastro-Intestinal Diseases, under the title of “Proctocolonoscopy and Its Possibilities,” a description of a technic and new instruments which increased the areas exposed to view, and which facilitated access to the part for the treatment of disease.

In 1896 A. Ernest Maylard[12] briefly referred to the various methods.

Review of the literature on rectal inflation for rectal inspection establishes the fact that Van Buren is entitled to the credit for priority; that Marion Sims was the discoverer of the possibility of atmospheric inflation of the hollow pelvic viscera; that there is much similarity in the methods of the various operators quoted, some using similar instruments and dissimilar technic, and vice versa; and it is made obvious,[34] also, that he who would most insist upon a credit for originality must sometimes discount with the erudite his reputation for literary research.

The time has arrived when the profession must recognize that the rectum need no longer be regarded a darkest continent. There remains, however, something further to be desired in the way of an easier and more convenient method of manipulation to secure inspection, but I am confident that ere long the profession will accept the newer mechanic means and contrivances which will render a proctoscopy of as practical simplicity as is laryngoscopy. But it behooves us to remember the words of Dr. Edmund Andrews: “The false method is that of the bungler and amateur, who is only right by haphazard; the true one is that of the professional expert, who can not be balked by petty obstacles, but who will reach success when others have failed, not less by his dogged persistence and thoroughness than by his superior knowledge.”


The Examination of the Rectum.

It has been complained that the best methods proposed for the inspection of the rectum require so expensive an armamentarium and such painstaking practice on the part of him who would see, that the general practician can not hope to invade with his keen glance this field which is generally regarded a terra incognita. On the contrary, as shall be seen, no artificial means whatsoever are required for a complete ocular inspection of the rectum.

The elevation of the hips which sets in operation that principle of physics which governs the methods of Marion Sims’ vaginal inspection (1845), Van Buren’s rectal inspection (1871), and the methods of the senior Allingham (1882), of Walter J. Otis (1887) and[35] of Howard Kelly (1895), which controls my own proctocolonoscopy (1896), and which suggested Trendelenburg’s posture, is, also, the chief feature of the simplest proctoscopy.

Noninstrumental Inspection of the Rectum.

The essentials to this simplest method are a patient, an assistant and an operator having at least one finger on each hand. The patient is to be put into the knee-chest posture, the assistant is to put and to hold the patient, and the physician’s fingers are to be used to open the anus, all in the following manner, to wit:

[36]

1. The patient is to be completely anesthetized as he lies on his back, and then turned toward the assistant and into Sims’ posture.

2. The assistant is to station himself at the patient’s knees. In his left hand he is to grasp the patient’s feet. He is to lean himself against the patient’s knees. He is to pass his right arm under the patient’s hips. Now steadying the feet and bearing himself firmly against the subject’s knees, with his right arm he is to lift the hips and pull the patient into the knee-chest posture, where he is to be balanced on his perpendicular right thigh throughout the whole time of the physician’s manipulations.

Fig. 1.—Positions of the hands for the practice of the simplest method of proctoscopy.
Fig. 2.—Positions of the fingers for the practice of the simplest method of proctoscopy.

3. The physician is to close his hands and to point each index-finger as shown in the accompanying illustration (Fig. 1). The wrists are to be crossed, the hands placed back against back, and the nails of the index-fingers placed one against the other, as shown in the accompanying illustration (Fig. 2). The physician is to lubricate these fingers and gently insinuate them through the anus and place their ends beyond the borders of the levatores ani. This accomplished, the anus is to be divulsed in the direction of the ischial tuberosities, by the physician forcibly parting his fingers as is shown in the accompanying illustration. Under this manipulation the rectum becomes atmospherically inflated.

Now, provided the physician lowers his head to the level of his fingers and then rises again, or stoops, or moves a little from side to side, he may command under his eye a view of the interior of the atmospherically inflated rectum to the depth of six or eight inches (15.24 or 20.32 cm.), and in some instances he may behold even a part of the sigmoid flexure.

It is possible for the operator to manipulate his patient and to finish his inspection within two and a[37] half or three minutes, provided the patient be in a state of complete anesthesia.

If this method is practised, as I am persuaded it may be with facility by the general practician, I am convinced that the greater number of rectal diseases may be instantaneously diagnosed. But I must declare that here at diagnosis, the achievement of the simplest proctoscopy ends, for the reason that the operator’s hands are so full of his patient he can do nothing at all for the disease which he may have discovered.

[38]

Under some conditions and amid some circumstances the rectum will not inflate. If the bladder is much distended; if there is an inordinate hypertrophic rectitis; if there is a close tubular stricture of the rectum; if there is malignant growth or other disease of the rectum by means of which the gut’s coats have become extensively filled and fixed with an organized plastic exudate; if for some reason the extraabdominal pressure is abnormally increased, as it may be by the bearing down of the patient, or by enormous flatus, or by ascites; or if there is an impinging uterus, adrectal growth or extensive infiltrating disease of the contiguous textures, rectal inflation by this method or by any other which is governed by the same principle may be a physical impossibility—but this need not baffle the man bent on seeing by instrumental aid.

Practised as described, when not embarrassed by the exceptions specified, this method will achieve its purpose and reveal to the physician that the transverse diameter of the rectum is variable; that in some places it is not more than an inch (2.54 cm.), in others it is more than four times this diameter.

The rectum may present to the eye of the imaginative observer the appearance of a chain of urinary bladders, communicating one with another by means of irregularly elliptic openings set at varying axes, and bounded by the nonparallel borders of the rectal valves. In the normal rectum the air-pressure smooths the mucous membrane evenly over the entire surface of the gut, as may be observed in the photographic illustrations. The normal mucous membrane of the so-called ampulla appears at first wet and of a shining bluish gray. As it dries, under the influence of gravitation the blue venous tint fades out of the gray and the wall assumes a pink tint.[39] Presently it acquires the appearance of parchment, and sometimes it appears painted at rare intervals with ramifying little arteries which may be crowded and overlapped by the larger companion veins; the latter are less arborescent and more suddenly dive and disappear in the bowel-wall. In time, over all there comes a sheen and the vascular pictures may fade away. These phenomena appear exactly as described only in the healthy rectum. In the diseased organ the color varies much.

Should the operator deviate from the described directions for the manipulation of his fingers and so twist his hands as to divulse the anus in the anteroposterior direction instead of laterally, he invites defeat upon himself, for in the male the fixation of the perineum and the immobility of the coccyx interfere with the requisite dilatation; while, in the female, the extreme mobility of the perineum and particularly the backward displaceability of the coccyx will allow such traction to be made upon the levatores ani as to pull their inner fibers parallel and almost together, and, in consequence, the wider the female’s anus be opened anteroposteriorly the closer is it made to contract laterally to rob one of his view.

Instrumental Inspection.

Certain paraphernalia and much practice in their use are necessary for rapid, complete and painless inspection of the rectum.

The chair which is shown in the illustrations was designed by me to facilitate the placing of the patient in a new posture, which is equivalent to the knee-chest posture.[13]

Fig. 3.—The chair, illumination-apparatus, shoulder-suspender, and small pillow.
Fig. 4.—The chair in the horizontal posture for anoscopy.
Fig. 5.—The position of the chair for the new posture of the patient.

[43]

Fig. 3 exhibits the chair and the attached illumination-apparatus in the first position to receive the patient. Fig. 4 shows the chair and illumination attachment in the second position, and Fig. 5 shows the chair and illumination-apparatus in the position for the third step in the procedure. Fig. 3 shows, also, hanging from the head of the chair, a small pillow and the shoulder-suspender.

Fig. 6.—The anoscope.
Fig. 7.—The obturator.
Fig. 8.—The ointment applicator.

The anoscope (Fig. 6) consists of a short cylindric tube open at the ends. It is two inches (5.08 cm.) in length and seven-eighths of an inch (2.22 cm.) in diameter. The proximal end is provided with a trumpet-shaped expansion and a strong handle. The distinctive feature of the anoscope is the peculiar form of its obturator (Fig. 7), which has a capacity for a multiplicity of uses.

The obturator consists of a hard-rubber cylinder, in[44] the middle of which is fixed a brass tube for the purposes of irrigation. Its surface is fluted in such a manner that it may be made to lock in any of several positions upon a tubercle within the cylinder. These flutes also provide for escape from the rectum of fluids and gases under certain conditions. The contracted neck near the distal end of the obturator provides a cup to facilitate the application of ointments to certain rectal areas.

Fig. 9.—The two-way irrigator.

The contracted neck is a feature which contributes to the instrument’s usefulness as a means for irrigation, providing in the one case a self-retaining direct-flow irrigator, and in the other case when locked in the position shown in Fig. 9, an unobstructed two-way irrigator. Platinum pins connect the centrally-placed brass tube with the surface of the neck of the obturator, which makes the instrument an anal electrode.

Fig. 10.—The proctoscope.

The proctoscope (Fig. 10) is of the same diameter as the anoscope, and is four inches (10.16 cm.) in length, which, because of the displaceability of the pelvic floor is usually of sufficient length to reach as high as the promontory of the sacrum, except in some especial instances, the management of which exceptions will be treated of in another place.

[45]

Special preliminary preparation of the patient is ordinarily not required, as the usual condition of the rectum is that of emptiness. In some cases, however, it facilitates the inspection if the patient employs rectal lavage an hour before the examination. This injection should not consist of more than one pint of fluid. The excess of this might be accidentally dejected from the sigmoid and obscure the field during examination. The bladder should be emptied, since its distention would necessarily interfere with the accuracy of the examination.

Fig. 11.—The ointment applicator at the time of the placing of the ointment in contact with a diseased area.
Fig. 12.—The proctoscope ready for introduction.

The Technic.

Step 1.—The patient should be required to sit on the operating-chair with his body turned to the left, facing the knee-board. The right knee should be crossed over the left knee, the left arm should embrace the right border of the chair-back, or it may be folded at the side as for Sims’ posture. The small pillow should be held in the patient’s right hand and against and upon his left shoulder (Fig. 13).

Fig. 13.—Sitting posture of the patient, the first step toward proctoscopy.
Fig. 14.—Horizontal posture of the patient for anoscopy.

Step 2 consists in shifting the chair to the horizontal[46] position shown in Figs. 14 and 4, and in adjusting the light-fixture. This movement brings the patient into Sims’ semiprone-semiflexed posture, without requiring any movement whatever on the part of the patient after he is properly seated. In this posture, the external anus and fixed rectum are to be examined.

(a) Digital examination and ocular inspection should now be made of the anal verge, the external anus, and superficial ischiorectal space, at a moment when the patient is relaxed, and, again, when he is bearing down.

(b) Digital examination of the fixed or anal rectum, also, should be made preliminary to the introduction of the anoscope.

(c) The anoscope should be gently pressed into the anus in the direction of its axis till the sphincters relax to receive it. The introduction of an instrument into the rectum may be much facilitated by placing its lubricated end against the ectal sphincter and requiring the patient to bear down; bearing down expands the ectal sphincters, relaxes the levator ani, thins the pelvic floor, or shortens the fixed rectum, and presses[47] the ental sphincter over the instrument—in other words, the patient’s anus is made to climb down upon the speculum. After the introduction of the anoscope, its obturator should be removed, and the inspection made. These observations should be made coincident with the withdrawal of the anoscope. In cases of extremely sensitive ani, a skillfully put hypodermic injection into the sphincters of 10 or 20 minims of ⅒ of 1% solution of cocain may render anoscopy painless.

A desire for precision requires that lesions of the fixed or anal rectum should be noted as occupying a given quadrant, and as situated at a given zone, e.g., a circumscribed disease may be described as situated at the ental sphincter zone, and in the left lateral quadrant.

Fig. 15.—Putting the patient into the new posture.
Fig. 16.—The new posture.

Step 3 (a) requires that the shoulder-suspender should be placed and fixed to the chair, as shown in Figs. 5 and 16, that the knees be drawn up, so that the[48] thighs are at a right angle to the length of the chair-top, and that the chair should be tilted to put the patient in the new posture shown in Fig. 16. The leg foot-board should now be lowered, and the operator’s stool placed in convenient position.

The illumination-apparatus should now be adjusted, as shown in the illustrations. In this new posture, which is equivalent to the knee-chest posture, the abdominal rectum is to be examined.

(b) Introduction of the proctoscope requires supported eversion of the buttocks and steady gentle pressure of the well-lubricated instrument upon the anus and in the direction of the umbilicus, until the sphincters are felt to yield, or the patient may be required to bear down to take the speculum; as the instrument enters the inflatable movable rectum, it should be pointed toward the promontory of the sacrum, and subsequently into the sacral hollow. The withdrawal of the obturator is followed by atmospheric inflation of the rectum.

(c) The operator should observe the degree of rectal distention, the situation and number of the rectal[49] valves, their propinquity to one another when passive, and the relation of one valve to another at the time of the patient’s bearing down. Under pressure of the proctoscope if possible, or the hook if necessary, each valve should be effaced or displaced, and in regular order each of the rectal chambers should be carefully inspected. A proctoscopic mirror may be necessary for viewing the supravalvular surfaces (Fig. 18). The examination being finished:

Fig. 17.—The hook for testing the valves.
Fig. 18.—The proctoscopic mirror.

Step 4.—The proctoscope should be withdrawn, the illumination-apparatus fixed in the first position, the leg foot-board lifted to its place, the lever extended, the crank turned and the chair carried back to the horizontal and upright positions, and thus the passive patient may be returned to his feet by the execution in the reverse order of the several steps described.

This method of inspection does not subject the patient to struggle, strain or embarrassment.

Observation by this method has taught me that in nearly all cases of disease at the anus there is congestion or inflammation of the rectal mucous membrane.

Those cases in which there is no apparent lesion at the anus, and which are in a perfunctory way sometimes[50] declared catarrh of the rectum, will at once have the real condition, such as a high up rectal polypus, congenital or organic stricture or ulceration, positively diagnosed, and will be made accessible for intelligent treatment.

New growths and ulcerations may be seen and by means of a long-handled curet scrapings made in order that the microscopist may determine their exact character.

Stricture of the rectum need no longer be regarded as of only doubtful presence, and this method proves positively, even to the casual observer, how fallacious is the method of rectal sounding usually employed for the diagnosis of stricture. I have repeatedly proved to visitors how easy it is for an entering or returning bulb-sound to be caught and held by the rectal valves,[14] and thereby yielding signs generally considered diagnostic of organic stricture of the rectum.

Vesicorectal, vaginorectal and other deep fistulas are often apparent at a glance, but in any case may be discovered by the use of the proctoscopic mirror.

If this method of ocular examination be practised, I am convinced there need be no longer any excuse for calling an undiagnosed disease of the rectum obscure disease, and whatever the disease present this method makes it susceptible of demonstration by the proctologist to the attending physician. There is no necessity that a diagnosis be taken on faith.


Topographic Anatomy.

A close study of the lesions of the rectum and their manifestations and some experience in discussion of these subjects have convinced me of the necessity of methods of greater accuracy than those[52] generally employed in designating the precise situation of a pathologic feature in this organ. Mensural methods of designating the situation of strictures in the rectum are of no surgical value.

The manner of the application of the details in a given method of treatment for a disease situated in the fixed or anal portion of the rectum should differ essentially from that employed in the application of the same principles of treatment to a similar disease situated in the movable abdominal rectum; and the application of the details of a given kind of treatment should differ, too, according to the situation of the disease at one point or another in the circumference of the rectum. The prognosis as well as the treatment of rectal disease is determined not only by the pathologic character of the lesion, but also by its anatomic situation. “Two inches up,” or “one and a half inches from the anus,”[15] if one were positively sure of the precise location referred to as the anus, would point to very different anatomic parts, whether the subject were male or female, and whether young or old, and whether thin or stout.

The rectum, the terminal 8 or 10 inches (20.32 or 25.40 cm.) approximately of the intestine, presents an upper abdominal and essentially movable portion, which is about three-fourths the length of the entire rectum, and a lower coccygeoischioperineal and essentially fixed anal portion, which is about one-fourth the length of the rectum. The upper half of the movable rectum is, in the majority of adult persons, completely invested with peritoneum, which sometimes provides this portion with a mesentery. The lower half of the movable rectum begins at a point about the upper border of the second sacral bone, and is not completely invested with peritoneum; the peritoneum[54] is reflected from the sides of the rectum toward the lateral masses of the sacrum, so that the posterior wall of this part is not covered by peritoneum. The movable rectum begins opposite the sacroiliac synchondrosis. If a subject lies in the dorsal posture, and if the abdomen be normal, the upper end of the rectum will lie opposite the left sacroiliac synchondrosis. If the patient is inverted to the knee-chest posture or its equivalent, and if the abdomen is normal, the upper end of the rectum, if distended, is usually found nearer the right sacroiliac synchondrosis. The movable abdominal rectum terminates at the levator ani muscle.

Fig. 19.—Drawing of specimen No. 281 in the Anatomical Museum of the Royal College of Surgeons, London. The dissection was made by Mr. William Pearson. The drawing shows in the lower part of the field the coccyx, in the upper part of the field the pubes.
Fig. 20.—Drawing of specimen No. 284 in the Anatomical Museum of the Royal College of Surgeons, London. The dissection was made by Mr. William Pearson. The drawing shows in the lower part of the field behind the rectum the coccyx, in the upper part of the field the pubes.

The fixed anal rectum begins at the levator ani and coccygeus muscles. The levator ani has its origin at the sides of the bodies of the pubic bones, the coccygeus at the spines of the ischii, and the levator ani has additional origin from the fascia and bony parts on a line between these two points. The fibers of these muscles are directed downward and inward to the fixed anal rectum; many fibers are blended into the contiguous structures of the pelvic floor. The coccygeolevator muscles may be compared to an opened slat-fan, the apex having its place at the anus, and its long border representing the line of origin of the muscles, Fig. 19. The ental sphincter ani muscle, situated a few lines below the levator ani, is made up of an aggregation of the fibers of the circular non-striated muscular intestinal coat, Fig. 20. The ectal sphincter ani striated muscle is situated immediately beneath the external skin. It serves the present occasion to describe the ectal sphincter of the male as a loop of muscle thrown about the terminal end of the rectum and hitched to the terminal bone of the coccyx, and in the female as a longer loop of muscle twisted upon itself so as to make a tandem-loop,[56] which, in the form of the figure eight (8), is thrown about the vagina and terminal end of the rectum.

In the passive subject the finger discovers the ectal sphincter as a broad, relaxed band of muscle situated beneath the external skin and surrounding the infra-anal depression. In action the ectal sphincter is contracted and is retracted from beneath the external skin to a point beneath the mixed mucocutaneous integument. In such a state of ectal sphincter contraction the fixed portion of the rectum is lengthened, or in other words, the pelvic floor is deepened one-half inch (1.27 cm.), approximately. The finger progressing, it engages the tonicly contracted ental sphincter muscle which the delicate touch discovers as vibratory in its grasp of the finger, presenting to the touch the sense of a sharp rigid ring, and again as a flat band snugly applied about the finger. A few lines above the ental sphincter the finger discovers the upper limits of the fixed or anal portion of the rectum surrounded by the somewhat V- or U-shaped borders of the levator ani muscle; the anterior quadrant is not encircled by the levator ani. The fixed portion of the rectum presents, then, to the touch, three landmarks: the usually relaxed ectal sphincter, the usually contracted ental sphincter, and the levator ani muscles. The normal levator ani muscle can not by the contraction of its fibers close the upper end of the fixed rectum. It is possible, however, for the patient to contract his levator upon the finger of the examiner to quite an appreciable degree, a fact which led Mr. Harrison Cripps to state that the levator ani can close the upper end of the fixed rectum. If a tubular speculum of seven-eighths of an inch (2.22 cm.) diameter be introduced through the fixed rectum and then withdrawn through the levator ani to a point above the ental sphincter and[58] the patient be directed to contract the muscles of the pelvic floor, it may be observed that the axis of the fixed rectum is directed more forward at its upper end, and that the depression between the levatores ani is partially encroached upon by the levator fibers but is in no sense effaced; hence, we must recognize that the lower fixed portion of the rectum presents a canal of an hour-glass form, expanded above as a concavity between the borders of the levatores ani, narrowed at its middle part by the contracted ental sphincter, and expanded below where it is surrounded by the relaxed ectal sphincter muscle.

In the same subject the length of the fixed anal rectum is variable with a state of activity or passivity, and in a state of activity there are variations in its length of at least one inch (2.54 cm.) between a contracted, uplifted pelvic floor and that of a depressed floor with anal eversion; both of which conditions may rapidly follow one upon the other while the examiner’s finger is engaged in diagnosis. Again, variations in depth of the fixed anal rectum are quite noticeably regulated by the size of the finger introduced. The thumb may find a fixed anal rectum of two inches (5.08 cm.) in depth, while the little finger discovers it but a little more than an inch (2.54 cm.). Because of the bony confines to the tissues of the ischiorectal space, displacement of its structures to open the anus must occur in the vertical direction, the larger the finger the greater the displacement upward.

Passing the finger beyond the borders of the levator ani, the distal phalanx enters the movable or abdominal rectum, where it may be hooked over the pelvic floor. In some instances, if the finger be directed backward and crowded with a boring maneuver through the loose folds of the movable rectum, and[59] provided the folded knuckles displace upward the pelvic floor, the finger may be made to engage the lowermost of the rectal valves, which will contract about the finger with a rhythmic action and mislead the uninformed, inexperienced and undiscriminating explorer to think that he is but now encountering the ental sphincter muscle, or, perhaps, that he has discovered a stricture—the phantom stricture? In the passive rectum, this valve is usually about three inches (7.62 cm.) above the lower border of the ental sphincter muscle. The great range of mobility of the pelvic diaphragm permits a finger of two inches (5.08 cm.) length to be hooked over a valve which under some circumstances may be an inch and a half (3.81 cm.) beyond its reach.

The pelvic floor in the infant is often less than one-half inch (1.27 cm.) in depth. The depth of the pelvic floor in the adult, from the lower border of the relaxed ectal sphincter ani muscle to the levator ani muscle, is extremely variable. In the aged male, because of senile enlargement of the prostate, the fixed rectum may seem to be three inches (7.62 cm.) in depth. In the aged female, because of senile atrophy of the generative organs and contiguous structures, the pelvic floor may be much less than an inch (2.54 cm.) in depth. In the adipose and in emaciated subjects[60] because of the character of the tissues occupying the ischiorectal space, there are the greatest variations in the depth of the pelvic floor. Hence, it is obvious that the palpable muscular landmarks of the fixed rectum are situated at variable positions in the different sexes, and that the length of the fixed rectum is changed in the same person at different periods of life and in differing conditions of flesh.

The visible topographic features of the fixed rectum are several, and under the influence of disease may become somewhat changed in appearance and situation. In the male they are readily discoverable by putting the subject in the dorsal posture, separating the nates with the hands and placing the thumbs on bits of dry cotton to prevent their slipping just exterior to the anus. Simultaneously to the patient’s bearing-down impulse the thumbs may be used to evert the anal mucous membrane. The anterior and posterior borders of the anus may in a measure be everted by a somewhat similar manipulation. In the female the visible landmarks of this region may be inspected by entering the finger into the vagina and placing the thumb over the perineum; the former is to push the rectum down while the thumb draws the external skin forward over the perineum. The posterior segment may be exposed by pushing the post anal skin toward the coccyx; the lateral segments may be exposed with the finger and thumb of the left hand while the right hand keeps up the initial pressure. Marked pigmentation of the anal skin is observable in a circumscribed area about the anus; beneath this area of darkened skin, intimately attached to the skin, lies the surgically unappreciated corrugator cutis ani. Within the borders of the everted anus the complexion fades to a light gray, within which zone is sometimes noticeable the distinctly lighter zone known as Hilton’s[61] white line. Above, is noticeable an undulating zone of deeply red mucous membrane the lower border of which has been given the name of linea dentata (Stroud). Between the linea dentata and the white line is a zone occupied by several pyramidal elevations about half an inch (1.27 cm.) in length, to which has been given the names: columns of Morganni and pecten of Stroud. Their bases are of a somewhat purple reddish color. Toward their apices they may pale and terminate in projecting white eminences. The bases of these pyramids, which, I believe, may without impropriety be called anal pilasters, are extremely vascular and their structure partakes somewhat of the character of erectile tissue. The apex contains a nerve end-bulb. Under the influence of disease the color of these bodies is changed. Their antemortem and postmortem appearance is quite different. There are usually present in each anus from four to eight of these bodies. Between these projections and at their lower borders, sometimes, there is discoverable a thin fold of membrane. The saccule which it, together with the anal wall and pilasters on either side, forms, has been known as the saccule Horneri, pocket of Physic, and anal pocket, sometimes inaptly called rectal pocket. Its cavity is about the size of a split pea. The three typic visible topographic features of the fixed rectum, then, are the[62] white line of Hilton, the pecten of Stroud, or anal pilasters, and the linea dentata.

The mucocutaneous membrane of which these visible landmarks are a part, rests upon a quantity of loose connective tissue, which permits of a great range of mobility of these features independent of movement of the structures constituting the palpable landmarks of the fixed or anal rectum.

Fig. 21.
Fig. 22.
Fig. 23.

Fig. 21.—From a photograph of an external view of the paraffin cast-filled rectum. The rough surface shows the place of attachment of the peritoneum.

Fig. 22.—Interior view of the left half of the rectum of an adult. Filled with melted paraffin, the subject being in the proctocolonoscopic posture. The rectum is distended only to the degree of normal atmospheric inflation. When the wax was hardened the rectum was removed, varnished, dried and cut open longitudinally. The picture is a reproduction of a photograph of the interior of the left half of the rectum. The anus is at the picture’s left. The valves are respectively two and one-half and seven inches (6.35 and 17.78 cm.) from the anus.

Fig. 23.—Knee-chest posture. Left lateral half-interior view. Upper rectum and sigmoid out of focus.

Fig. 24.—Posterior view of a specimen carefully dissected to show the muscular supply to the valve-bases.
Fig. 25.—Posterior half occupied by its cast.
Fig. 26.—Anterior half of specimen shown in Fig. 25.
Fig. 27.—Posterior view of a cast-filled rectum.
Fig. 28.—Paraffin cast from a rectum.

The Rectal Valve.

That the rectal valve constitutes the most hypsometric of the topographic features of the movable abdominal rectum, is conclusively proven by the photographic pictures. The specimens from which the photographs were taken were prepared by a method consisting in fixing the cadaver in the knee-chest posture and pouring melted paraffin into the atmospherically inflated rectum; when the wax had sufficiently hardened the gut was carefully removed, for a few weeks immersed in alcohol and subsequently dried, varnished, and finally dried and cut into longitudinal, shell-like halves. A comparative study of the photographs of the rectal interiors discovers the fact that the prominence of the rectal valve is increased with the degree of distention of the rectum.

The accompanying drawing was made from a microscopic section taken from the middle of the lower valve of an adult specimen. In the illustration, Fig. 33, it is shown magnified 5 diameters. Beneath the mucosa is noticeable the heavy layer of fibrous tissue which gradually diminishes till it is lost at the valve base. Bundles of circular muscular fibers are seen in the middle of the valve. At its base are seen arteries and veins for its special nutrition. This structural arrangement makes this organ the typic anatomic valve. The evidence of the fibrous tissue in the valve[63] is an original contribution to our knowledge of this subject.

The attached border of each valve spans a little more than half the circumference of the rectum, and its free border projects half across the diameter of the inflated rectum. Each valvular partition projects at nearly a right angle to the wall of the compartment below it and terminates in a sharply defined free border. The free margin of the structure is slightly concave in form and is directed a little obliquely. In life it is noticeable that the free border of the valve is less elastic than the main wall of the valve. The latter will yield to a modicum of traction without disturbing its free border, while traction applied at the margin may at once disturb the entire circumference of the gut at that point. The rectal wall opposite the valve is usually concave. The aperture thus formed between two rectal compartments is irregularly elliptic; it may be called the valve-strait. Usually the greatest diameter of a rectal compartment is directed laterally or else obliquely; it is almost never parallel to the direction of the sacrum. Thus, what has been heretofore considered a cavernous ampulla is seen to be divided into several chambers. There are as many chambers in the rectum as there are rectal valves. The number of rectal valves is variable. Some subjects have but two, others have four, but 90% of persons possess three. The uppermost valve is invariably situated at the juncture of the rectum and the sigmoid flexure, which valve is invariably situated on the left, the next lower is on the right wall, and the lowermost is on the left. The positions of the lower two valves are sometimes anterior and posterior.

The specimen shown in Fig. 30 exhibits the rectum naturally distended with feces. It was found in a[64] deceased member of the demimonde who had been habituated to opium indulgence. She was forty years of age and of robust stature. On opening the abdomen the colon was discovered loaded with a collection of scybalous feces, and the upper chamber of the rectum was partially occupied with a similar deposit. The abdomen was then opened through the[65] pubes and perineum down to the coccyx. The genitourinary organs and contiguous structures were removed, the symphisis forcibly separated and the exposed sigmoid flexure and rectum were photographed as shown in Fig. 29. The sigmoid and rectum were carefully removed and immersed in alcohol. After a fortnight the gut was divided into anterior and posterior halves, as shown in Fig. 30.

Fig. 29.—Photograph of a female cadaver showing, after laparo-symphysiotomy and removal of bladder, uterus and adnexa, the upper rectum and sigmoid packed with scybalums.
Fig. 30.—The rectum, the same as is shown in Fig. 29, divided into anterior and posterior halves.

It must be readily seen that the new methods of rectal inflation for rectal inspection and the cast method of dissection, which have determined our newer ideas of the topography of this part, justify that the lowermost chamber be considered the first rectal chamber; the cavernous area beyond the first valve and below the second should be called the second chamber; and the upper chamber the third or perhaps fourth, according to the number of valves. The ancient arbitrary division of the rectum by the anatomists into upper first, middle second and lower third parts should be abandoned because such a method is inaccurate and has no surgical significance. As the arrangement of the fibers of the muscular coats of the abdominal rectum and the attachments of the abdominal rectum provide for extension and contraction of the gut on its axis, as well as expansion of the diameter of the organ, it is obvious that there must be in the same individual a great variation in the distance of any given valve from the levator ani with the variable normal states of the organ. The normal range of movement upward and downward of a given valve is from two to three inches (5.08 to 7.62 cm.).

A discriminating study of the diseases of the rectum requires an arbitrary division of the organ into several quadrants.

Regard for the conveniences of scientific description[66] and considerations of technic and of anatomy justify that the fixed anal rectum be called the anus, and that the movable abdominal rectum be called the rectum. The former is bounded above by the levator ani and below by the ectal sphincter muscle.

From this survey of the topography of the anus and rectum and consideration of the arrangement of the contiguous structures the following salient aphorisms may be deduced:

[67]

1. In treating lesions on a level with the sphincter muscles the operator should beware of dividing these structures through the anterior quadrant. In the male the ectal sphincter terminates in the tendinous raphe in common with the transversus perinei. Contraction of the transversus perinei will separate the cut fibers of the ectal sphincter and defeat the desired subsequent union of this muscle. If an incision be carried forward or forward and laterally into the transversus perinei the perineal fascia which doubles over this muscle will be opened and the perineum and peri-urethral structures will be made accessible to infection from the anus and ischiorectal regions. In the female, to carry an incision forward through the anterior quadrant would be unsurgical because the peculiar arrangement of the fibers of the ectal sphincter ani and sphincter vaginae and their relation with the transversus perinei would perhaps conspire to produce vulvoanal or rectovaginal fistulas.

2. A stricture located at the upper end of the fixed rectum and situated in the anal fascia, in the pelvic fascia, or in the fibers of the levator ani muscle, should not be cut in the anterior quadrant nor in the posterior quadrant, but in one or the other, or both, lateral quadrants. An incision through the anterior quadrant on the plane of the levator ani muscle would divide none of its fibers because there are none there and would endanger the urinary organs and vagina in the male and female respectively. An incision made into the posterior quadrant on this plane would fail to increase the diameter of the rectum for the reason that contraction of the fibers of the levator ani would hold in coaptation the lips of the wound in such a manner as to early reestablish the stricture. A skilfully made incision in the lateral quadrants in this region will not endanger the peritoneum. A[68] possible hemorrhage may be readily avoided by digitally ascertaining the situation of the middle hemorrhoidal arteries. And because of the direction of the fibers of the levator muscle a short lateral incision will effectually increase the diameter of the part.

3. The rectal valve must be reckoned with in studying the strictures of the movable abdominal rectum. Linear posterior proctotomy, because of the relation of the peritoneum to the posterior wall of the lower part of the movable rectum, is eminently safe, but will be efficacious only in some special instances—those instances in which the rectal valve involved is posteriorly situated. Semilunar (annular) strictures may be situated at any point in the circumference of the movable rectum, for they are built on the foundations supplied by the rectal valves, and may be safely cut through to the depth of a quarter of an inch (.63 cm.), provided the surgeon[69] be equipped with the proper instruments and provided the rectum be maintained in a state of atmospheric inflation at the time of the operation.

The studies of the topography of the human rectum made in this research employed more than 50 autopsies, on subjects of all ages, and physical examinations of many hundred living persons, and the facts which are set forth above justify the inference, I believe, that none but the topographic designation of the precise situation of the rectal lesion is of reliable surgical significance.

Dissection of many rectums of rabbits, cats, dogs and monkeys proved that these animals are not provided with rectal valves.


[70]

Defecation.

“Defecation is partly a voluntary and partly a reflex act. But in the infant the voluntary control has not yet been developed; in the adult it may be lost by disease; in an animal it may be abolished by operation; in each case the action becomes wholly reflex. In the normal course of events, the rectum which is empty and quiescent in the intervals of defecation, is excited to contraction as soon as feces begin to enter it through the sigmoid flexure, and the sensations caused by their presence give rise to the desire to empty the bowels. This desire may for a time be resisted by the will, or it may be yielded to. In the latter case the abdominal muscles are forcibly contracted, and the glottis being closed, the whole effect of their contraction is expended in raising the pressure within the abdomen and pelvis.... The sphincter ani is now relaxed by the inhibition of a center in the lumbar portion of the spinal cord, through the activity of which the tonic contraction of the sphincter is normally maintained. This relaxation is partially voluntary, the impulses that come from the brain acting probably through the medium of the lumbar center; but in the dog, after section of the cord in the dorsal region, the whole act of defecation, including contraction of the abdominal muscles and relaxation of the sphincter, still takes place, and here the process must be purely reflex. The contraction of the levatores ani helps to resist overdistention of the pelvic floor and to pull the anus up over the feces as they escape.”[16]

The above paragraph concisely represents the accepted interpretation of the act of defecation. The[71] rectal valve, an individual anatomic organ in itself, must, however, be reckoned with in studying the operations of the integral mechanism of defecation.

Digital Observation of the Nonanesthetized Subject.

In the normal rectum, when the first rectal valve can be reached by the finger, provided it be immediately discovered on the introduction of the finger, a definite but not rigid band of tissue may be felt buried behind the masses of lax mucosa. This band presents at one side that which seems to be a circular aperture of variable diameter; a few seconds’ application of the passive finger detects a gradual relaxation of what[72] first had seemed a ring-like constriction till the finger can make out but an indefinite thickening on a side of the gut-wall. If the finger be held passive, this constriction may again surround the finger; but if so, it does so with a somewhat weaker grasp. Often the presence of the finger within the rectum excites a peristalsis-like contraction, during which the valve usually cannot be detected. When the rectum is filled with water, the valve is sometimes more readily discoverable by the finger, and when discovered, the diameter of the valve-strait is greater than that before noticed, and the grasping tendency of the valve is not so noticeable.

Ocular Observation of the Anesthetized Subject.

If a somewhat emaciated male be selected, one whose rectum is susceptible to atmospheric inflation while in the lithotomy posture, and if the large intestine be freed of its contents, if such a subject be anesthetized and his colon or sigmoid filled with water, and the anus divulsed and held open with the speculum, the water confined to the rectum may be bailed out, and the rectum will then be seen to present the multichambered condition already described. If the inquirer will now place a hand on the abdomen over the sigmoid flexure, and give the part a quick, firm pressure, his watchful eye may observe a downward rush of waters into the rectum, first striking the concave wall formed by the juncture of the upper surface of the uppermost visible valve and the adjoining rectal wall, bounding from this surface to the opposite next lower valve, from which the stream is deflected to a lower point on the opposite wall, by which time all may be obscured by a wave of contracting peristalsis,[74] rhythmically repeated, which may project small quantities of water through the anus. In the intervals of the contractions, the rectal chambers are observed to be either submerged or else atmospherically inflated.

[75]

Ocular Observation of the Nonanesthetized Subject.

[76]

If a subject under proctoscopy be directed to bear down, it is observable that the empty and atmospherically inflated rectum closes under the compression of the voluntary forces by the concave anterior wall becoming convex, and being carried backward toward the fixed posterior wall, the transverse diameters remaining apparently but little shortened. The compression may be noticed as being applied from before and in a backward direction, and simultaneously from above downwardly. In case firm fecal masses, or lubricated balls of cotton experimentally placed, are dejected by these efforts, there will be noticeable depression of the valve-floor under the pressure of the descending mass. Presently the mass will appear at the valve-edge, where it may seem suspended for a few seconds before it is plunged on into the next lower chamber. Occasional rhythmic contractions of the rectal muscular coats occur, which fill and transitorily obscure the field under observation with masses of the reduplicated mucosa, and it is always possible to note that such contractions have changed the positions of the gut’s contents.

These anatomic findings and physiologic observations warrant the conclusion that the rectal valve has a function. Its histologic elements endow it with essentially passive and active properties. When the muscular elements are relaxed and the gut is either greatly dilated or else in a lesser measure distended, the valve is passively projected across the channel to resist the hurried or uncontrolled descent of the feces. The presence of the bands of fibrous tissue under the free margin of the valve provides a guard or control to receive and retain the bolus, or, I may say, the valves receive a series of boluses, till a sufficient pressure is made to stimulate the complex involuntary mechanism of defecation to an expulsion of the feces or to a reversed peristalsis. The presence of the feces or the involuntary movements incident to their presence, signals the consciousness to[77] cooperative voluntary expulsory effort, or gives warning of the necessity of voluntary resistance. In the event of the exercise of these forces in the direction of resistance there seems to be some reason to believe that an antiperistalsis returns the feces to the sigmoid flexure. The same arrangement which sets in operation the involuntary factors of defecation[78] also provides for the minimum expenditure of energy on the part of the voluntary forces for the reason that the gut’s contents are collected on the surface of the unyielding sacrum and steadied there to receive the[79] pressure of the really expulsory voluntary effort. Such an arrangement of the feces as is mentioned above further facilitates defecation for the reason that the entire contents of the rectum are not rushed upon the anus at once. The surgeon remembers that it is usually impossible to reduce a hernia en masse.

The bundles of circular muscular fibers which constitute the muscular element of the valve evidently belong to the same mechanism and have the same function as those which form the ental sphincter. Their usual state may be that of tonic contraction; they are relaxed by inhibition; when the muscle is in a state of inaction the fibrous bands are projected and support the valves across the channel of the rectum. In health the valve is susceptible, under pressure, of a temporary effacement.

[80]

If it be the function of the normal rectal valve to beneficently retard the descent of the feces it is obviously true that it may be the especial property of the valve, in certain other than normal conditions, to maliciously obstruct the descent of the feces.

My experience convinces me that a perfect knowledge of the rectal valve constitutes the key to an understanding of obstipation, rectal stricture, and their sequels.

Fig. 31.—From a photograph of an anal end-view of a cast-filled rectum; the average transverse diameter was 3½ inches (8.89 cm.), the vertical diameter was 3 inches (7.62 cm.).
Fig. 32.—From a photograph of an external view of a cast-filled rectum and its mesenteric attachment to the sacrum; taken from an 18-months-old infant.

Obstipation in Infants.

The infant strains at stool because of the imperfect development of the anatomic features concerned in the mechanism of defecation. These are as follows:

[81]

1. The infant’s lower gut is muscularly deficient.

2. Its great length and its mobility within the abdomen are obstructive to defecation.

3. The rectal valves are obstructive.

4. The infant’s anus not being sufficiently expansible is also obstructive to the descent of feces.

The specimens of infant rectums and sigmoids here[82] pictured are all fairly illustrative of the facts upon which the foregoing declarations are based.

The dried specimens shown in the illustrations were prepared by flushing the intestine and then fixing the subject in the genuacromial posture; the anus was then fixed open and melted paraffin was injected under about twelve ounces’ pressure. When the cast had hardened, that portion of the gut which it occupied, was removed. Specimens shown in Figs. 43 and 44 were prepared by placing the subject upon its back and by opening the descending colon; the intestine below was then washed out and the colon perforation fixed at the abdominal wound, which,[83] save for this point, was sewed up, the anus was tied up and as much melted paraffin as would enter under two-pounds’ pressure was forced into the gut; subsequently the sigmoid and rectum were removed as in the other instances. After immersion in alcohol the specimens were varnished.

Fig. 33.—A semilunar valve drawn as seen under a glass magnifying five diameters. A, mucous membrane; B, fibrous tissue; C, bundles of circular muscular fibres; D, vein; E, artery; F, vein; G, artery; H, areolar and adipose tissue.
Fig. 34.—The instrument case; the drawers opening on three sides afford access to any drawer without disturbing the position of the others.

Following are the memoranda of a few of the autopsies made in this study:

Case 1.—Female, stillborn, height 16 inches (40.64 cm.); circumference at anterior superior spinous process 7½ inches (19.05 cm.); anterior superior spinous process diameter 3 inches (7.62 cm.); ensiform to pubes 4 inches (10.16 cm.); transverse[84] diameter pelvic outlet ¾ inch (1.90 cm.); peritoneum at last vertebra of coccyx. (Fig. 35).

Fig. 35.—The rectum of an infant, stillborn; muscular coat undeveloped. Filled from below.
Fig. 36.—Side view of the specimen shown in Fig. 35. Antero-posterior angulation at third sacral vertebra.

Case 2.—Female, aged 1 hour, height 17 inches (43.18 cm.); circumference at anterior superior spinous process 7½ inches (19.05 cm.); anterior superior spinous process diameter 2½ inches (6.35 cm.); ensiform to pubes 4 inches (10.16 cm.); transverse diameter pelvic outlet ½ inch (1.27 cm.); peritoneum at last vertebra of coccyx. (Fig. 37).

Fig. 37.—Front view of the rectum of an infant aged one hour; autopsy while in a state of rigor mortis. The rectum being nearly perpendicular and the sigmoid almost tied in a knot. Filled from below.
Fig. 38.—Side view of the specimen shown in Fig. 37.

Case 3.—Male, aged 1 month, height 23 inches (58.42 cm.); circumference at anterior superior spinous process 9 inches (22.86 cm.); anterior superior spinous process diameter 3½ inches (8.89 cm.); ensiform to pubes 4 inches (10.16 cm.); transverse diameter pelvic outlet ⅝ inch (1.59 cm.); peritoneum at last vertebra of coccyx.

Fig. 39.—Front view of the rectum of an infant aged one month; autopsy while in the state of rigor mortis. Filled from below. Two-third life-size.
Fig. 40.—Side view of the specimen shown in Fig. 39.

Case 4.—Female, aged 6 weeks, height 24 inches (60.96 cm.); circumference at anterior superior spinous process 10½ inches (26.67 cm.); anterior superior spinous process diameter 3 inches (7.62 cm.); ensiform to pubes 5½ inches (13.97 cm.); transverse diameter pelvic outlet ⅝ inch (1.59 cm.); peritoneum at last vertebra of coccyx. (Fig. 41).

Fig. 41.—Front view of the rectum of an infant aged six weeks. Filled from below.
Fig. 42.—Side view of the specimen shown in Fig. 41.

Case 5.—Female, aged 2 months, height 20 inches (50.80 cm.); circumference at anterior superior spinous process 8 inches (20.32 cm.); anterior superior spinous process diameter 3 inches (7.62 cm.); ensiform to pubes 3½ inches (8.89 cm.); transverse diameter pelvic outlet ¾ inch (1.90 cm.); peritoneum at last vertebra of coccyx. (Fig. 49).

Case 6.—Male, aged 6 months, height 24 inches (60.96 cm.); circumference at anterior superior spinous process 10 inches (25.40 cm.); anterior superior spinous process diameter 4 inches (10.16 cm.); ensiform to pubes 5 inches (12.70 cm.); transverse diameter pelvic outlet ¾ inch (1.90 cm.); peritoneum at last sacral vertebra. (Fig. 43).

Fig. 43.—Front view of the rectum of an infant aged six months. Filled from below after disappearance of rigor mortis. Two-thirds life-size.

Case 7.—Male, aged 6 months, height 24 inches (60.96 cm.); circumference at anterior superior spinous process 12 inches (30.48 cm.); anterior superior spinous process diameter 4 inches (10.16 cm.); ensiform to pubes 5 inches (12.70 cm.); transverse diameter pelvic outlet ¾ inch (1.90 cm); peritoneum at first bone of coccyx. (Fig. 44).

Fig. 44.—Front view of the rectum of an infant aged six months. Filled from above after disappearance of rigor mortis.
Fig. 45.—Side view of the specimen shown in Fig. 44. The mesentery from sacrum and coccyx to the rectum is fairly well shown, but is shown shorter than in the fresh state, alcohol immersion, varnishing and drying having shrunken it. Observe also how nearly the peritoneum approaches to the anus.

Case 8.—Male, aged 17 months, height 25 inches (63.50 cm.); circumference at anterior superior spinous process 12 inches (30.48 cm.); anterior superior spinous process diameter 4 inches (10.16 cm.); ensiform to pubes 6 inches (15.24 cm.); transverse diameter pelvic outlet 1 inch (2.54 cm.); peritoneum at last sacral vertebra.

[86]

Examination of the pictures of the dried specimens reveals that the wall of the infant rectum and sigmoid flexure is thin compared to that of the adult.

It is impossible to distinguish the longitudinal muscular bands which are so apparent in the gut of the adult. The infant gut being very deficient in muscular elements, therefore the intrinsic power of peristalsis cannot be present in that degree necessary to it as a component factor of defecation.

The relations of the peritoneum to the rectum of the infant also contribute to the difficulties of defecation,[87] as also does the relatively great length of the descending colon and sigmoid flexure. In young children the length of sigmoidal mesentery from its attachment to the parietes to its invagination of the lower loop of the sigmoid is often greater than the distance from the promontory of the sacrum to the distal bone of the coccyx. (See Figs. 44 and 45.) From the sigmoidorectal juncture to the beginning of the middle third of the rectum the mesentery rapidly shortens but apparently completely invests the upper third of the rectum. The middle and lower thirds are not so completely invested, and present upon their posterior parts a vertical lane bare of peritoneum, from the[88] borders of which the peritoneum is reflected in lateral directions. This uncovered part of the gut is not applied directly to the sacrum and coccyx. There is a space between which is occupied by loose connective tissue. The distance from the dorsal parietes to the gut is variable here, being from one-half to one-fourth of an inch (1.27 to .63 cm.). At the beginning of the middle third there is usually a gradual decrease in the length of the peritoneal band as it descends, till it is one-eighth or possibly but one-sixteenth of an inch (.32 or .16 cm.) in length at the last bone of the[89] coccyx; it rapidly shortens from this point to its termination. The parietal peritoneum descends over the ischial tuberosities and approaches nearly to the ental sphincter muscle. In the newly-born the peritoneum is situated within one-fourth inch (.63 cm.) of the anal skin.

The disproportionately great length of the descending colon and mesentery of the infant obviously contributes to the possibility of angulation of the gut.

[90]

We may see in the presence in the child of lax and long, or relatively long, peritoneal ligaments, and in the great length of the descending colon and the consequent probability of numerous acute angulations in the infant sigmoid and rectum, and in the mobility of these parts within the abdomen, the possibility of development of a perfect adult mechanism for defecation. The essential features of this development are two: (1) the growth of prostate or uterus and their supports which relatively fix the lower rectum; and (2) the downgrowth and outgrowth of the pelvic bones and the consequent conversion of mesenteric peritoneum to parietal peritoneum, which shortens the adult mesentery and in some measure fixes the upper rectum; thus the entire rectum is steadied to facilitate discharge when the mechanism of defecation is set in operation.

Fig. 46.—Diagrammatic of this gut in the empty state, therefore its flexions are not the same as those shown in the photographs. In the partly filled state, which is the condition about the time of defecation, the flexions and positions of these parts would be intermediate to those of the filled and empty conditions. (The dotted lines indicate positions of valves.)

The diagrammatic figures do not exaggerate these obstructive elements. The collateral muscles which assist in the performance of the act of defecation force the feces in the direction of the lower angle in each flexion, and in that flexion whose onward, or, to be paradoxic, whose downward direction for the time points upward (Fig. 46), the auxiliary pressure is in the direction opposite to that of peristalsis.

Fig. 47.—Diagrammatic, showing direction of forces and resistance in infant, in defecation.
Fig. 48.—Diagrammatic, showing direction of forces and resistance in adult, in defecation.

Inspection of the pictures of the dried specimens reveals the angulations referred to, which may be expected to be more numerous the more segmentary the gut’s contents.

The third feature obstructive to defecation in infants is the rectal valve. It is a feature and factor which not only is not recognized, but is one whose very anatomic existence has been persistently disputed by Matthews, Kelsey, and others. It was imperfectly described as an anatomic feature of the rectum by Mr. Houston in the Dublin Hospital Reports in 1830, and in 1887[91] Dr. Walter A. Otis more practically demonstrated its presence; neither of these gentlemen, however, attributed to it the characteristic element of an anatomic valve, although happily and by chance bestowing upon it its proper name. A number of investigators have discovered this organ and have miscalled it by various names and given it widely varying descriptions; but a greater number still[92] deny its existence and critically strive to dissolve away the imperfect evidence recorded in medical literature.[17]

The pictures here shown of the dried specimens prove that in the infant the valve is such a matter of fact that its existence is no longer a question for debate.

Fig. 49.—The rectum and sigmoid of an infant aged two months. The photograph shows the interior of the anterior half. Portions of two valves are noticed at the middle part.
Fig. 50.—The interior view of the opposite posterior half of the rectum shown in Fig. 49, the two valves shown in Fig. 49 being continued toward each extremity of the ampulla. The sigmoid is out of focus.

Fig. 51.—The paraffin cast removed from the gut shown in Figs. 49 and 50.

The fetal specimens pictured indicate that the valves are particularly well developed early in embryonic life. The infant specimen shown in Fig. 49[93] is marked by two valves, situated so close together that the middle portion of the rectum presents its longest diameter at right angles to the main direction of the gut. Another valve may be seen at the juncture of the upper portion and the sigmoid flexure.

It must be readily seen that the presence in the rectum of such a structure as an anatomic valve would be essentially obstructive to the passage of feces.

In studying the physics of the rectum it is important that we recognize that the posterior wall from[94] which the mesentery is reflected is less movable than other parts in the circumference, hence distention of the rectum not only tends to carry a given point of its wall away from the point opposite to it, but also carries it away from a given point cephalad or caudad. So it may be assumed that if the two valves situated at the middle of the cast-distended dried specimen (Fig. 49) are three-eighths of an inch (.95 cm.) separated, and that the two opposite walls of the rectum in the portion bounded by these valves are one inch (2.54 cm.) apart, that in a state of the gut’s collapse[95] or systole the valves would be in contact, and thus afford a very definite obstruction to the descent of semisolid feces.

The bony pelvic outlet in the infant is so contracted that the limits of anal expansion are such as to almost defeat the passage through it of other than fluid feces. It should be remembered that the normal average measurement from ischial tuberosity to ischial tuberosity in the adult is about four inches (10.16 cm.), and it is a fact proven by our observation that the average transverse diameter of the newly-born infant’s pelvic outlet is but a little more than one-half inch (1.27 cm.), the pubococcygeal measurement is even less. Those who are familiar with instrumental divulsion of the adult anus may have observed that two[96] and a quarter inches (5.71 cm.) is the average limit of lateral separation of the anus, the remaining portion of the pelvic outlet being filled with the compressed soft tissues of the ischiorectal space. Therefore it may be estimated that nine-sixteenths at most, of the diameter of the pelvic outlet is the reasonable limit of expansibility of the anus for the passage of feces. Applying this calculation to the infant we find that if the ischial tuberosities are one-half inch (1.27 cm.) separated, that the anal expansibility is but five-sixteenth of an inch (.79 cm.), which is, as we know, the diameter of a No. 22 sound (French scale). Reference to the paraffin cast of the infant gut (Fig.[97] 51) indicates that the average distensibility of the sigmoid flexure and rectal chambers, in which the feces when firm are formed, is four or five times that of the anal expansibility; thus it is readily perceived that compared to the adult the juxtaposition of the ischial tuberosities in the infant supplies a most obstinate obstructive factor in defecation.

To collate in brief:

1. The muscular development of the adult rectum and lower sigmoid is plainly apparent in the plates here exhibited of the fresh specimens. A deficient muscularity is observed in the infant specimens.

[98]

2. The peritoneal band of these parts in the adult is observed to be, relatively, very considerably shorter than that in the infant, and the sigmoid flexure is relatively shorter.

3. The rectal valves appear to bear the same proportion to the gut in both adult and infant, but when we remember the difference in muscular development in the two the disproportionately greater resistance of the valve in the infant rectum is obvious.

4. The anal expansibility is remembered as adequate in the adult, and is seen to be deficient in the infant.

Correlative to the facts just stated we must recognize that the adult rectum has resident within its own wall a powerful expulsive muscular mechanism; that the shortening of the mesentery holds the upper rectum steady under the applied auxiliary forces; that the angulations of the normal sigmoid are not necessarily obstructive, though in a desirable measure retardative; that the forward incline of the lower sacrum and coccyx behind, and the development of the uterus and prostate and their inherent supports in front, provide the lower adult rectum with a firm funnel-like arrangement which guides the feces directly upon the os internum of the anus; that the valves divide the feces into portions to facilitate their separate successive discharge, and finally in sequence, that the physiologic descent of the structures of the ischiorectal space reduces this last resistance to the minimum in adult defecation.

Straining, the ruptures and prolapses, obstipation, retention of feces, and the multitudinous consequent ills demand our consideration, though this study forces the conclusion, I believe, that the individual’s escape is ultimately assured by process of development, and[99] that for the normally formed infant, the physician will find the solution of the problem of difficult defecation in the solution of the stool.

Treatment.

Diet, hygroscopic suppositories, and fluid injections which may render more fluid the intestinal contents will favor their descent through the convoluted gut, the valvulated rectum, and the contracted anus.

[100]

Massage of the abdomen over the region of the colon aids in (1) the development of the auxiliary abdominal muscles of defecation and of the intrinsic expulsory muscles in the intestinal wall; and further, such manipulations (2) directly propel the gut’s contents along the tortuous course of the bowel and[101] hence (3) reduce, inasmuch as they may overcome the obstructive features of the valve.

If there be an overgrowth of the rectal valve and if it form an almost impassable barrier to the descent of the feces it may be in some measure overcome in infants by the dilatation which may be effected[102] through the means of the gently introduced trained finger. In case the defective valves are present in the form of diaphragmatic strictures or membranous septa with circular aperture, the valve may be safely cut by a method described in another place.

As at birth the pelvic bones are not yet united and as the rami of the ischium and pubes are still quite cartilaginous it is obviously possible that a little energy intelligently directed upon the anus from without will spread the pelvic outlet, whereas the infant labors ineffectually with his own forces applied as they are from within. The nurse, therefore, may be directed to pare away her nail-ends, lubricate her fingers and gently introduce the smallest finger through the anus. Daily gradual dilatation of the infant’s pelvic outlet should be practised, graduating from finger to finger until the required degree of dilatation be reached. The introduction of the finger independent of its dilating uses incites the mechanism of defecation to action.

Rachitic subjects with abnormal contraction of the pelvic outlet demand forcible divulsion of the ischial tuberosities.

Fig. 52.—A three-and-a-half-months fetus. A photograph showing the posterior half of the rectum prepared by the paraffin-cast process. The rectal valves are noticeably prominent at this stage of fetal development.
Fig. 53.—A five-months fetus. A photograph showing a paraffin cast-filled rectum in situ; the other organs having been dissected away.

Obstipation in the Adult.

If it be the function of the normal rectal valve to beneficently retard the descent of the feces it is obviously true that it may be the especial property of the valve in certain other than normal conditions to maliciously obstruct the descent of the feces.

There are three forms of valvular obstruction:

1. Anatomic coarctation of the valves may afford an exaggerated physiologic resistance to the descent of the feces (Fig. 54).

2. Congenital hyperplasia of the rectal valve is a[103] condition classically described as diaphragmatic stricture or membranous septum in the abdominal rectum.

3. Hypertrophy of the rectal valve constitutes the classic annular stricture of the abdominal rectum.

Fig. 54.—Anatomic coarctation of valves.

The Symptoms.

The patient is the subject of more or less chronic obstipation, he sometimes makes frequent partially successful attempts daily at defecation, but may experience an unrequited desire for stool. The patient acquires the reprehensible physic-habit. In time the periods of obstipation are interrupted by diarrhea. There is an ineffectual straining at stool except for[104] fluid feces. Later the diarrhea occurs with greater frequency, and ultimately long periods of diarrhea may ensue which are interrupted by a transitory constipation and obstipation. All these symptoms may be accompanied by increasing degrees of flatulence and borborygmus, and from time to time the patient is subjected to attacks of intestinal autointoxication, and finally he becomes neurasthenic. On account of the especial nonsensitiveness of the rectal valve the patient’s sufferings are not uniformly referred to this region by himself, but in many instances, however, the intelligent patient is prepared to present his physician with a ready-made diagnosis of rectal[105] obstruction. Finally, the symptoms of intestinal obstruction become pronounced, and if the patient be unrelieved the disease proceeds to a fatal termination. Symptoms of pain, aching in the sacral and iliac regions, hemorrhage, proctorrhea, prolapse, hemorrhoids, fistulas, etc., are usually the signs of concomitant sequels of the hypertrophied valve, and these may embrace the entire proctica. For a classic graphic description of the symptoms of rectal stricture, which has never been excelled, the reader is referred to the paper by Dr. Sherwin published in the Transactions of the London County Medical Society in 1787.

[106]

Pathogenesis.

1. Obstructive anatomic coarctation of the normal rectal valves is a fortuitous embryonic affair, and admits of no amplification in this section.

2. Prenatal hyperplasia: The fibrous and muscular laminas of the rectal valve are developed from the mesoblastic layer of the blastoderm and the mucous membrane is derived from the hypoblast; this latter layer consists of columnar epithelium, and epithelium of this character may be found covering both superior and inferior surfaces of congenital diaphragmatic strictures or membranous septums. When there exists an aperture in this character of stricture it is seldom or never situated centrally. Another distinguishing feature of this obstruction is that it constitutes a cephalad boundary to a rectal chamber. If the lowermost valve be deformed, and if it be situated unusually[107] low down, the lower rectal chamber may be noninflatable. In such an instance the anal or fixed rectum may seem to be of an extraordinary length, but that such is not really the fact may be determined by digitally ascertaining the situation of the anal borders of the levatores ani muscles. Such a stricture has its origin, probably, in the embryonic hyperplasia of the rectal valve. Another form of diaphragmatic stricture is sometimes observed at the anus. It has its origin in an imperfect anorectal coalescence. The salient structures of this septum are hypoblastic enteron and epiblastic proctodeum, and a microscopic inspection of a portion of membrane taken from its inferior surface reveals its epiblastic origin. This anorectal septum is of variable thickness, if there be a perforation it is located centrally. This character[108] of stricture is always situated caudal to the rectal chamber. It is due to an arrest of fetal development.

3. Postnatal hypertrophy: Inflammation of the normally formed rectal valve, infiltration of lymph through its structures and organization of the plastic exudate contract and fix in a state of contraction this normal projection across the lumen of the rectum and constitute the nonmalignant annular stricture of this organ. Abnormal increase of fibrous tissue from any cause may, without contracting the valve-strait, render the valve sufficiently inelastic as to constitute it an obstruction. Extension of the inflammatory processes[110] to an adjacent valve or a general hypertrophic rectitis involving an area occupied by several valves, consequent contraction of the longitudinal muscular bands in the area involved, together with contraction of the circular muscular bands, the infolding of masses of the lax mucous membrane, and the infiltration of plastic lymph into all these tissues between the valves as well as into the valve structure itself, organization of the exudate, degeneration of the muscular elements and increase of fibrous tissue, is the probable sequence of morbid processes which establish the nonmalignant[111] tubular stricture of the rectum. The great thickness of the gut-wall at the situation of the tubular stricture is ordinarily not a new product of the disease. It is the consequence of the infolding of the mucous membrane, fixed in longitudinal corrugations by the organization of the plastic exudate.

The causation of hypertrophy of the rectal valve may be direct infection; a rectitis, dysentery, chancre, chancroid, gonorrhea; or traumatism, irritation or injury by a foreign body; the irritation of scybalums; or, it may be the local expression of some constitutional dyscrasia; syphilis or tuberculosis. The influence[112] of age or of emaciation, through atrophy of the cellular tissues and the hypertrophy of the fibrous, may contribute a relative increase to the tendinous feature of the rectal valve.

Because of the absence of the rectal valve in the rabbit, cat, dog and monkey it was found impossible to do vivisection work for the production of an experimental stricture.

There are many specimens of hypertrophied rectal valves to be seen in the metropolitan museums in Europe, none of which, of course, are classified as such. The cases quoted below were copied by me from the catalog of the Pathological Museum of the Royal College of Surgeons, London, and the specimens which are pictured here may be found on their shelves. These cases are chosen for illustration because their accessibility affords the reader an opportunity for their verification. The pictures were drawn under my direction by Mr. Godart with the aim of illustrating this essay. The specimens immersed in preservative are sealed in cylindric glass jars of the usual laboratory type. Each of these we set into rectangular vessels of water to overcome refraction-errors and afford accurate appearances.

The first case quoted is one of traumatic injury to the rectal valve, and, I believe, affords a close imitation of what might have been expected from an effort at the production of an experimental stricture by simple inflammation of the rectal valve.

The method used for the preparation and preservation of these specimens accounts for the nonappearance of the normal valves. From the time of the preparation of Hunter’s first specimen to the present time more than a century and a quarter has about elapsed.

Fig. 55.—Drawing of specimen No. 2569 in the Pathological Museum of the Royal College of Surgeons, London.

Fig. 55. “Specimen 2569. Presented by William Coulson, Esq. A rectum and part of a colon, the[114] blood-vessels of which have been minutely injected. Six inches above the margin of the anus there is a very close and narrow annular stricture of the rectum, produced by thickening and contraction of its coats and of the tissues immediately surrounding them. The inner surface of the stricture is ulcerated, and a small thin piece of fish bone is sticking in it. Above the stricture the intestine is dilated to a diameter of nearly four inches, but its coats are not much thickened.” The following is the history of the case:

“‘I was requested to see a woman, aged 34, between four and five months advanced in pregnancy, who, three days before, had been seized with sickness, constipation, pain, and distention of the abdomen. These symptoms increased in severity, fecal matter was rejected from the stomach, the abdomen became more distended, no evacuation could be obtained from the bowels, and the injections which were attempted to be thrown up the rectum were immediately expelled. Her powers gradually sank, and on the third day from the commencement of the attack she died.

“‘On examination after death, the colon was seen to be exceedingly distended, especially its descending portion, and about six inches from the anus a foreign body, believed to be a small portion of fish bone, was found adherent to the lining membrane of the rectum.... Immediately below this body the bowel was completely closed, to the extent of half an inch, by the effusion of lymph caused by the presence of the foreign substance. There was no other morbid appearance.

“‘Prior to the attack which destroyed this patient, she was in her usual state of health and had no ailment whatever.’”

Fig. 56.—Drawing of specimen No. 2568 in the Pathological Museum of the Royal College of Surgeons, London.

Fig. 56.—“Specimen 2568. Presented by Sir William[116] Blizard: Portion of a rectum, of which the canal is at one part suddenly reduced to less than a quarter of an inch in diameter by the thickening, induration, and uniform contraction of its walls. The stricture is half an inch in length, and terminates as suddenly as it commences. The intestine above the stricture is very much distended, and its muscular coat is hypertrophied; the part below it is small and atrophied.”

Fig. 57.—Drawing of specimen No. 2571a in the Pathological Museum of the Royal College of Surgeons, London.

Fig. 57.—“Specimen 2571a. Presented by Dr. David Lawson (see Lancet, Vol. I, p. 512, 1879): A portion of a rectum, the seat of a stricture, which was excised. The bowel is much narrowed, and its walls are thickened.

“From a woman, aged 34, who had suffered from symptoms of stricture of the rectum for 8 years. Dilatation by bougies proved of no permanent benefit. The stricture was hard, annular, admitted the tip of the finger, and was situated 2 inches above the anus. It was excised through an incision between the anus and coccyx, and the divided edges of the bowel above and below were united by sutures. The patient recovered from and was much relieved by the operation.”

The cases just quoted illustrate the typic advanced hypertrophy limited to the rectal valve. The 2 cases following next are cases of tubular stricture of the rectum. The definite boundary between the diseased and normal tissues suggests the idea that the rectal valves are both starting and limiting boundaries, and the tortuous course of the stricture’s canal in Case 2571 seems also to support this idea, as will be pointed out in the section on diagnosis.

Fig. 58.—Drawing of specimen No. 2571 in the Pathological Museum of the Royal College of Surgeons, London.

Fig. 58.—“Specimen 2571. Presented by John Hunter, Hunterian MS., Cases and Dissections, No. 59. A rectum, with the urinary bladder and other adjacent parts. About 2 inches above the anus the[117] canal of the rectum is gradually reduced to less than half its usual size by extensive thickening, induration, and contraction of the walls and of the tissues around them. They are all converted into a uniform pale, brawny, hard substance, like that of a cicatrix. This change, and the stricture due to it, extend for about 3 inches up the intestine. The mucous membrane lining the diseased part is superficially ulcerated; above it the intestine is greatly dilated, and its coats are thickened; below it is deeply wrinkled, but apparently not of unhealthy texture. The following is most probably the history of the case:

“‘About the spring, 1785, General G. consulted me. He complained of a sensation in the rectum, attended with a kind of difficulty in going to stool when costive,[118] and often a desire to go when there was nothing to pass. I examined the rectum, and found, so far as I could reach with my finger, a hard contracted ring surrounding the gut. I then pronounced what the case was, and what would be the event.

“‘This hardness and thickening of the gut gradually increased, so as to make it difficult at times to pass the feces, especially when costive. At last, it occasionally[119] became so difficult as to require the passing of bougies and hollow catheters, which one could always pass the lower stricture, but with difficulty passed the upper, which appeared to be 3 or 4 inches further up the gut.

“‘Clysters, purgatives, sedative and diluting, were occasionally thrown up, which sometimes had their intended uses. In this way he went on—sometimes better, other times worse—but upon the whole becoming worse. At last, it became difficult to pass a bougie, catheter, or even to throw up an injection, and which was attended with very disagreeable symptoms[120] for the time, as acidity in the stomach, fulness, oppression, kind of hiccough, a vast rumbling in his bowels, and want of rest; but he got occasionally a passage which gave him relief for a time.

“‘He was, of course, put on a very low diet, and such as was thought best to answer the purposes of diet, while producing the least quantity of excrements, as also such as tended as little to acidity as possible. This was animal food in all the forms he liked best.

“‘All this art probably kept him alive for a twelve-month longer than he otherwise could have lived, for without this attention one or two costive days would have almost killed him, which I think I have often seen.

“‘What appeared to be very singular, the constitution did not, till the very last, seem to feel the disease or its consequences, for his pulse kept slow and regular, never in the least hard; and when signs of dissolution had taken place, the pulse was only weaker, but not irritable. At last nothing passed through the strictures, either downwards by stool, or upwards by way of clyster. The belly became gradually fuller and fuller, which was principally air, as towards the last he took but little food, and which was easily known by the sound in patting on the belly. He became in some degree insensible to his own situation, and in some degree less sensible of pain, which increasing, he died in that kind of easy and insensible manner.

“‘On opening the body the colon was found very much distended with air through its whole length; its transverse arch made a quick turn down to near the pelvis, then up upon itself to the left side, and then down the left, forming the sigmoid flexion; from all which turns, viz., making four, and being[121] considerably distended, it appeared to fill almost the whole belly.

“‘There was a good deal of feces in the colon, but not in the least distending it.

[122]

“‘On putting the hand into the bottom of the pelvis was found a considerable tumor, which, with the bladder and rectum, was removed; but in this operation it was found that the tumor adhered closely to the hollow of the lower part of the sacrum, so as to be obliged to lay that bone bare in the removal of it.

“‘On slitting down the rectum, which was very large, it was found to be very much thickened in its coats, and of a hardish, gristly texture, a good deal like the turtle’s intestines. This increase of thickness was to give it power to expel its contents.

“‘At the tumor the intestine contracted almost at once; and at its entrance into the tumor its inner coats were thrown into loose folds, so as to obliterate almost any appearance of a passage there; however, I could readily pass the end of my finger into it, those folds easily giving way. The tumor was next slit through, which showed a firm increase of the gut, near an inch thick all round, and for three inches in length. At the lower part it terminated all at once into the sound gut, which we had often felt when alive. The inner surface had lost entirely its natural appearance; was slightly rugged so as to appear like villi.

“‘On introducing the pipe by the anus it was found to come butt against the side of the upper part of the cavity of the tumor, where there was a bend in the passage; but why a crooked pipe did not pass when attempted to be passed by turning it to all sides, I cannot conceive. Or why a bougie which was slightly bent, did not hit the hole, is not easily accounted for; but what is more extraordinary than either, why a clyster did not pass freely up; or why did not the wind or soft excrements, that did yet lay, pass pretty readily down, while I could pretty readily pass the end of my finger down from the gut above[123] into the tumor. The folds of the contracted part did not appear after death to have been sufficient for an entire stoppage of this kind.”

The preceding case seems to illustrate that form of stricture which is built upon two or more rectal valves and in which the walls of the rectal chambers are involved and thickened. The mucous membrane is longitudinally folded upon itself and incorporated in the organized plastic exudate. The following case exhibits a tubercular tubular stricture and is characterized by a destruction of the mucous membrane:

Fig. 59.—Drawing of specimen No. 2571c in the Pathological Museum of the Royal College of Surgeons, London.

Fig. 59.—“Specimen 2571c. Presented by Dr. H. Handford (see Trans. Path. Soc., London, 1888, page 117). From a lad, aged 17, who, four months before death, began to suffer from wasting, irregular attacks of diarrhea, and passed blood by the anus. Death resulted from purulent peritonitis, the result of perforation of a rectal stricture by a bougie. There were tubercle deposits in the upper lobes of both lungs and in the head of the pancreas.

“Microscopic sections of the lungs, the nodules in the pancreas, and all the lumbar and mesenteric glands showed masses of caseous material with a few giant cells.

“The rectum exhibits a tubercular stricture which commences 3½ inches above the anus. The stricture is 2 inches in length, moderately narrow, and the mucous membrane covering it is superficially ulcerated. The intestinal wall is somewhat thickened. Near the upper part of the stricture is a small perforation, produced in an attempt to pass a bougie through it.”

The following case is that of a stricture not builded on the rectal valve. It is situated at the levator ani level, it is probably a cicatricial product of disease which is not uncommon at this situation, but it may[125] have had its origin in an imperfect anorectal coalescence.

Fig. 60.—Drawing of specimen No. 2570 in the Pathological Museum of the Royal College of Surgeons, London.

Fig. 60.—“Specimen 2570. Presented by John Hunter: The lower part of a rectum, with the anus. On the margin of the anus are several large hemorrhoids,[126] and the skin for a considerable distance around it is excoriated. At the right side of the anus is an appearance of a narrow granulating wound, as if a fistula had been there operated on. Immediately above the anus the canal of the rectum is suddenly and irregularly contracted to half an inch in diameter, but without any apparent change in the structure of its mucous membrane. Above the contraction it is unnaturally dilated, its coats are thickened, and the tissues around it appear rather indurated and confused.”

Case 2567 belongs to the same class as the preceding.

Fig. 61.—Drawing of specimen No. 2567 in the Pathological Museum of the Royal College of Surgeons, London.

Fig. 61.—“Specimen 2567. From the Museum of Sir Astley Cooper: The lower part of a rectum, the canal of which, about an inch from the margin of the anus, is suddenly reduced to half an inch in diameter by the deep annular fold of its mucous membrane. Above the fold the mucous membrane appears healthy; below it is excoriated; and in one place there is a narrow bridge of it, as if there had been an abscess external to it, or as if a bougie had pierced it. The tissues around the contracted part of the rectum are not manifestly diseased. There are several external hemorrhoids at the margin of the anus.”

Fig. 62.—Congenital diaphragmatic stricture of the rectum dependent on faulty development of third rectal valve. Composite view.

Diagnosis.

Fallacious Sounding.—Sounding the rectum with the patient in the horizontal posture, supinated or semipronated, has been a feature of the conventional method employed for the diagnosis of stricture of the rectum for more than a century, and as a great array of fatalities has not yet persuaded the profession to abandon the practice I feel that at this moment an analytic study of the procedure would not be unprofitable.

[128]

Sounding as a method of diagnosis requires three conditions: (1) that the tube to be sounded have a recognized limit of distensibility; (2) that its mobility in the direction of its axis be inappreciable, and (3) that there be not at irregular intervals normal anatomic obstructions in its channel sufficient to arrest the progress of a sound.

These conditions obtain in the urethra which is fixed from extremity to extremity within a mass of tissue which firmly supports it when the organ is in a situation for the practice of this diagnostic maneuver. The rectum on the contrary answers negatively to each of these three propositions.

Seven or eight inches (17.78 or 20.32 cm.) of the rectum’s length are not fixed; the lowermost inch (2.54 cm.) is the only portion muscle bound (Fig. 21) and as this part is easily accessible to digital exploration, to it, therefore, the method of diagnosis by sounding is not applied. A little way above the upper border of the prostate, or the pelvic floor in the female, the rectum is invested by a loop of peritoneum which does not yoke the gut fixedly but anchors it loosely in the abdominal cavity.

1. The distensibility of the abdominal rectum is governed by the elasticity of the gut’s inherent coats and is not limited by a comparatively unyielding musculofibrous wall supplied by the contiguity of other parts twentyfold its own strength and several times its own density and bulk, as is the case with the male urethra. The normal range of distensibility of the rectum then may be said to be from zero to three and a half inches (0 to 8.89 cm.) and consequently a definite calibration for sounding is impossible. (Fig. 21). The sound of a size which may enter the anus is not to be considered appropriate for sounding the rectum in accordance with the principle governing[129] urethral catheterization which may be formulated in the aphorism; the sound which fits the mouth should discover contractions in the tube.

The average diameter of rectal sounds is about one inch (2.54 cm.). Two-thirds or three-fourths of the rectum’s expansibility, which may be greater than three inches (7.62 cm.), must then of necessity be sacrificed before rectal sounding will uniformly produce any definite evidence of stricture, provided all other things are equal and comparable to conditions obtaining in urethral catheterization.

2. Let us suppose, now, that there exist a considerable constriction of this gut. In such a case the element of mobility of a part of the rectum in the direction of its axis enters into the problem. The range of such movement of that part of the gut constricted is determined by the length of its peritoneal attachment at that point, and of neighboring portions of the gut, possibly by adhesions of the rectum to other organs, and, also, depends upon whether the contraction be on the side next the mesentery or opposite it. To discuss these special points in detail would be to dwell upon the degrees of a fallacy. The perplexing fact is this, and it is one that in itself should dethrone the practice of sounding the rectum by the customary method for the diagnosis of stricture. A bulb-tipped sound entering the rectum and coming in contact with a contraction presenting an aperture of lesser diameter than the sound’s end, will carry that part of the gut above its normal situation to a point where the limits of length and elasticity of its attachments arrest the movement, at which time the sound will be stopped or else will enter, dilate and pass the stricture, or, perhaps, puncture the gut.

When the sound encounters an obstruction it is the conventional practice to observe how far the proximal[130] border of the supposed stricture is from the anus, which, let us say for purposes of illustration, is in a given case exactly five inches (12.70 cm.). This measurement having been determined it is now desired that knowledge of the exact location of the stricture’s distal border be obtained, that the length of the gut affected by the contraction may be estimated. Having passed beyond the stricture the sound is tentatively withdrawn, the shoulder of the bulb presently engaging the upper border of the constriction will carry it downwards until arrested by the gut’s limit of displaceability downwards; the exposed length of the shaft of the sound is now measured and it is discovered that the most distant border of the contraction instead of being more than five inches (12.70 cm.) is but three inches (7.62 cm.) from the anus, or, paradoxically, it is discovered that the farther border of the stricture is two inches (5.08 cm.) nearer the anus than the nearer border was!

3. There is, however, one other factor, which when fully recognized will effectually discountenance the practice of sounding according to customary rules. The rectal valves, which I have demonstrated to be typic anatomic valves and possessed, therefore, of a structure which qualifies them to offer both active and passive resistance, and which span one-half, two-thirds, and sometimes three-fourths the circumference of the rectum, and which have a depth from free border to that attached to the wall of the gut, varying from a quarter of an inch (.63) to an inch or more (2.54 cm.) according to the degree of distention of the rectum. These valves afford in many instances an effectual obstacle to the passage of the bougie; they supply evidence which simulates that of stricture when the sound is used, and a valve may constitute a very ready pocket to trip up and deflect the sound’s[131] point out of the channel of the gut through its wall and into the peritoneal cavity.

Analytic survey of the anatomy of this part and study of the mechanics of surgical sounding compel the conclusion that (1) the enormous normal distensibility of the rectum (Fig. 31); (2) its great susceptibility to upward and downward displacement (Fig. 21), and (3) its normal valvular partitions (Fig. 22) are significant that the customary method of sounding the rectum for the diagnosis of stricture is unscientific, is unprofitable as a diagnostic measure, and is extremely hazardous to the life of the patient.

[132]

Diagnostic Observations.

The rectal obstructions under discussion may be readily diagnosed by ocular inspection. In the more exaggerated forms of the disease the method of visual examination, already mentioned in the first part of this monograph, is to be reinforced by certain instrumental means presently to be described. For a description of proctoscopy the reader is referred to the section on Instrumental Inspection.

Anatomic coarctation of the rectal valves is visibly apparent, and the degree of obstruction which the coarcted valves afford may be estimated by requiring the patient to bear down, when it may be observed how the valves may crowd and overlap one another and erect at one point an almost insurmountable barrier to the descent of solid feces. The symptoms of such a condition will be found in a history of labored defecation and chronic obstipation, with frequent and unsuccessful attempts at evacuation of the rectum.

The condition may be accompanied by a chronic catarrhal rectitis.

Congenital hyperplasia of the rectal valve in the form of a diaphragmatic stricture does not restrain the atmospheric inflation of the rectum and the stricture may be observed as a membranous septum with a laterally placed aperture surrounded by the thin margin of the valve. The structure is not very elastic and tears readily on divulsion. The symptoms are those of chronic obstipation with straining at stool; defecation may occur only at rare intervals and is accompanied by violent straining, much pain and consequent transitory prostration. There may be daily repeated unsuccessful attempts at evacuation of the rectum.

[134]

There may result rectitis, ulceration of the rectum, hemorrhoids, pruritus, prolapse, fissure, abscess, and fistulas, and this form of stricture may be the foundation and initial feature of any of the more formidable diseases of the rectum. Hypertrophy may ensue upon chronic inflammation provoked by the irritation or traumatism incident to the efforts at defecation. The appearance of the stricture may consequently become much changed and the adjacent rectum may become involved in a tubular stricture.

Hypertrophy of the rectal valve when present as an individual lesion and if of minor degree, presents on proctoscopy the appearance of a much thickened state of the valve, which may be more marked near its free border and in the area occupied by the fibrous or tendinous structure. There may or may not be a noticeable narrowing of the valve-strait. The valve is not readily effaced under the pressure of the proctoscope. It offers great resistance to the hook shown in Fig. 17, and if the disease be long continued, and there be much hypertrophy of the fibrous tissue and infiltration of the muscular elements of the valve, the typic appearances of the classic annular stricture are presented. The valve-strait becomes circular in form and is contracted to greater or lesser degree according to the extent of the lesion. If the walls of the rectal chamber are involved to a degree which somewhat limits their expansion under atmospheric pressure, the annular stricture instead of presenting a smooth margin may be covered by corrugations of the mucous membrane. The mucous membrane will appear not smooth and close fitting as is the normal relation, but will appear loose fitting and in elevated folds, somewhat like the palmar skin when the hand is slightly flexed.

In those cases in which the pathologic processes[136] are far advanced, the rectal inflation may be much compromised or entirely sacrificed.

The symptoms of this lesion are usually those of an initial rectitis or dysentery followed by chronic obstipation, gradually increasing in degree as time elapses until the patient presents a picture of many of the symptoms described in the historic clinical reports quoted. Acute inflammation may attack the strictured part and produce an obstruction which may quickly terminate the life of the patient; ordinarily the case may proceed slowly to a fatal issue.

The complications of this disease increase and multiply and may involve the entire proctica.

The variable grades of hypertrophy of the rectal valves permit the lesion to be classified in three degrees: (1) The first may be said to be that in which there is evident thickening of the valve without corrugation of the mucous membrane; (2) the second degree may be described as that in which there is more or less intravalvular corrugation of the mucous membrane and in which rectal inflation is possible, and (3) the third degree may be described as that which constitutes a noninflatable rectal chamber. The extraneous causes of noninflatability of the rectum are described in the section on Inspection of the Rectum.

The second degree of this lesion may require, and the third degree essentially requires, the application of further instrumental means to determine the precise extent of the lesion. The instruments additional to those required for the proctoscopy described, are a set of curved cylindric sounds and of fenestrated speculums ten inches (25.40 cm.) in length and of a diameter which allows their ready passage through the proctoscope. These instruments are shown in Figs. 63, 64, 65.

[137]

Fig. 63.—Curved sounds.
Fig. 64.—The fenestrated speculum No. 1.
Fig. 65.—The fenestrated speculum No. 2.

The Positive Diagnosis.

Proctoscopy is required to determine the presence of the obstructive lesions under discussion. It is also sometimes necessary to reenforce the proctoscopy by the use of additional instruments and by the exercise of a more elaborate technic. The proper use of these instruments requires that absolute familiarity with the anatomy of the part which is only to[138] be acquired by numerous dissections of the human subject performed in some such manner as that described in the section on Topographic Anatomy, and it may be superfluous to add that the manipulations prove useful and safe in that degree which the skilled operator considers them difficult of execution and possibly dangerous to the continuity of the gut.

Anatomic coarctation of the rectal valve is made apparent by a discriminating handling of the proctoscope, and the degree of their physiologic juxtaposition may be determined by requiring the patient to bear down while a view of the valvular area is kept under the command of the eye.

The congenital errors in development of the valve are in most instances readily perceived. However, in some special cases, particularly those in which the lowermost rectal valve projects from the anterior wall, it may require some considerable degree of skill in the operator to find the valve-strait. Such skill may be acquired by much practice in the management of the patient, the proctoscope and the illuminating rays. In the instances under contemplation this valve-strait is usually found well back toward the hollow of the sacrum. The proctoscope being made to pass this valve it must be made to search for the next valve-strait in a direction somewhat behind the first valve, and so on, first on one side and then on the other till the whole of the rectum has been ocularly inspected.

In cases of hypertrophied valve of (1) the first degree the amount of valve resistance may be determined by the use of the hook shown in Fig. 17. The normal and elastic valve may be effaced under its pressure. (2) Hypertrophied valve of the second degree, being that form which is usually called annular[139] stricture of the rectum, presents on proctoscopy a valve-strait of an irregularly elliptic or circular form and a smooth-lying or corrugated folding of the mucous membrane according to the degree of contraction. It is sometimes impassable by the proctoscope and obstructs the inspection of the rectal chamber beyond and of the more distant valves and renders it impossible to determine without further means of inspection whether it is the only lesion of this character present or whether there is a multiple valvular hypertrophy. In such a case it is necessary that the fenestrated proctoscopes, which are shown in Figs.[140] 64 and 65, be used in the following manner: The distal end of the cylindric proctoscope should be placed about the contracted valve-strait in such a way that the smaller fenestrated instrument may under the guidance of the eye be directed through the stricture. This having been accomplished, the instrument should be carried firmly but cautiously against the valve side of the contraction, that a tentative search may be made for the next valve-strait above. The instrument should never be pushed forward; it should be directed from side to side in search of the next valve-strait, through which, if it be safe for the instrument to pass, it may glide under the influence of gravity, for it is remembered that the patient is in a posture equivalent to the knee-chest posture. Never, under any circumstances, should greater pressure be given a proctoscopic instrument than that which may be given by the unaided flexor profundus digitorum. If there be encountered any difficulty in entering the third rectal chamber the first hypertrophied valve should be divulsed or cut after a method presently to be described, and a visual search made for the upper passage. Expansion of the lower valve-strait should render the one next above readily visible. (3) In rectal obstruction of the third degree, which consists in the tubular stricture already described and which essentially compromises or prevents atmospheric inflation of the rectal chamber involved, a search may be made for the channel of the stricture by means of the conjoint use of the proctoscopes and sounds. The largest sound which may enter should be tentatively introduced under the guidance of the eye, and its distal end directed in one direction or another for the strictured channel in accordance with our present knowledge of the natural deviations of the rectal course from side to side. If it be wise and safe that[141] the sound should enter it will usually require little or no forward impulse from the proctologist’s fingers. Steadily and patiently the instrument should be held in the various positions given it till the muscular resistance yields to the sound’s gentle pressure. Systematically the field should thus be felt over. If the channel be found the traction of gravity will probably carry the instrument forward. Because of the nature of the anatomic features of the rectum, which have been already pointed out, tubular strictures, being those which involve the walls of the rectal chamber and the longitudinal area occupied by two or more rectal valves, are from 1 to several inches (2.54 + cm.) in length. The introduction through the cylindric proctoscope of the special instruments for channel searching is a procedure which places all resistance, if there be any, upon the pathologic obstruction itself and does not divide the responsibility for resistance with the sphincters or other muscles, which in the prevailing method of sounding is a decidedly confusing circumstance.

Preliminary Treatment.

Preparatory for radical operative treatment it is often necessary to care for the one or more complications[142] which are involved. If there be ulceration, hemorrhoids, abscess, fistulas, general rectitis or other disease, it is a matter for the consideration of the proctologist whether their treatment shall precede or follow the operation designed to remove the obstruction.

The following operation does not require general anesthesia. It may be painlessly performed without resort to local artificial anesthesia.

Operative Treatment.

Divulsion.—Frequently-repeated massage of the hypertrophied valve by means of the coactor (Fig. 66) is often sufficient for the cure of minor valvular hypertrophy.

Figs. 66, 67, 68.—The coactor.
Fig. 69.—Illustrating a method of seizing the free margin of the valve by means of the volsellum.

Valvotomy.—The patient should be placed in the proper posture and the proctoscope introduced and given into the hand of an assistant. The valve to be divided should first be seized by the volsellum (Fig. 70) or by the long tenaculum, and steadied. The exercise of delicate judgment is required to determine how deep to grasp the valve without going into[143] the circular muscular fibers at its middle part. The reader’s attention is directed to Fig. 33, which shows the arrangement of the structures of the valve. The hook should be made to transfix the mucous membrane and fibrous portions of the valve only.

Fig. 70.—A volsellum.
Fig. 71.—A knife for valvotomy.

Before transfixing the valve with the hook or volsellum, the depth to which the valve may safely be divided may be determined by the following procedure: A flexible uterine sound should be bent near its handle in a manner similar to that shown in the hook for valve-testing. At its distal extremity it should be bent in the form of a curved hook, which should complete three-quarters of a circle. This hook should now be introduced to a point above the valve and drawn toward the operator till the pressure of its end depresses the valve-floor which presents toward the operator in the form of a blanched eminence. Thus it may be estimated that the rectal wall behind and above the valve is at a safe distance from this point. The distance from the eminence to the free margin of the valve should be carefully noted, for in the subsequent operation of division the valve should be transfixed by means of the bistoury at a point considerably nearer the free margin than the estimated position of the eminence.

Fig. 72.—Illustrating a stage preliminary to the division of the valve. The most convex portion of the valve, which is projected toward the operator’s eye by means of the three-quarter circle-bent hook, indicates a point midway between the free and attached borders of the valve, to which point it is perfectly safe to cut the valve. By this means the invisible wall of the rectal chamber immediately above the valve is fortified against accidental injury.
Fig. 73.—The method of making the initial incision for valvotomy.

The valve should now be seized by tenaculums on either side of the point selected for section. The knife, shown in Fig. 71, should be made to transfix the fibrous border of the valve and to divide a few fibers of this tissue and the mucous membrane covering it, by cutting its way through the valve’s free border (Fig. 72). This should be transfixed with the bistoury at a moment when the valve is situated at a right angle to the gut-wall. Caution: If the valve be pulled downwards by means of the tenaculums so that it presents an inclined plane toward the operator at the moment when[146] the bistoury is made to transfix the conjoined tendon, the superior dense fibrous lamina will have a tendency to force the knife outward and through the gut-wall; hence the necessity of a proctoscope of different length for each valve, that the proctoscope’s end may be carried to the valve instead of the valve being pulled down to the proctoscope and probably to disaster. But a few fibers of the conjoined tendon are to be divided by the bistoury. After the incision is thus started, a scalpel-like knife, provided with a similarly bent handle, should be used to deepen the incision. In two places the valve should be cut. The instant the conjoined tendon is divided, a gaping wound will be presented to the eye. This wound is irregularly pyramidal and open at its apex; the two walls running away from the apex consist of the fibrous laminas of the valve; the base is made of the circular muscular fibers; external to the circular muscular fibers are the longitudinal muscular and the peritoneal coats of the rectum. Should hemorrhage occur it may be readily stopped by the temporary application of clamps (Fig. 74).

Fig. 74.—Clamps.
Fig. 75.—Telescoped proctoscope.
Fig. 76.—Coactor within a proctoscope.

Hypertrophy of the rectal valve in the second degree, and which constitutes annular stricture of the rectum, usually requires the introduction of the smaller fenestrated proctoscope, according to the manner already described; or if this instrument does not fill the stricture and draw its border taut about the spokes, the larger fenestrated proctoscope should be placed on the smaller, that the smaller may serve as guide, and the two introduced through the cylindric proctoscope and carried into the stricture according to the directions given in the section on diagnosis. The smaller fenestrated proctoscope may now be withdrawn. On looking down through the vista the stricture or strictures may be discovered binding close[147] about the instrument. The walls of the rectal chambers between the valves will be lifted away from the instrument by the atmospheric pressure, and may be seen only through the medium of the proctoscopic mirror. The valves may now be cut by transfixing and cutting through the free border as it is held taut about the fenestrated proctoscope. On the removal of the valvotome the coactor should be introduced and the stricture divulsed in several directions by opening the coactor, as shown in Fig. 76. The cervix divulsor shown in the illustrations 77 and 78 may be likewise used.

Fig. 77.—A divulsor.
Fig. 78.—A divulsor within the proctoscope.

[148]

Hemorrhage is seldom of any consequence after operations on this variety of stricture. However, should it require treatment, the fenestrated proctoscope should be removed and the clamps temporarily applied. Should the operator fear secondary hemorrhage he should fix a serrefine on the bleeding point and leave it in place for twenty-four hours.

Subsequent Treatment.

Should there be any sign, constitutional or local, of hemorrhage, the patient should at once be subjected to a proctoscopic inspection and the bleeding point surgically cared for. Each day the wound may be inspected and dressed according to the nature of its requirements, and after the first two or three days the valve should be occasionally subjected to divulsion or massage by means of the coactor. Should there ensue a rectitis or a granulating wound, it may be treated by means of the atomizer, by the use of topic applications otherwise administered, or by lavage.

Treatment of Simple Tubular Stricture of the Rectum.

The radical treatment of this stricture may possibly require a resection of that portion of the gut which it contracts, or in case of acute obstruction the establishment of an artificial[149] anus may be imperative. The individual use of, or the alternate use of, the methods of gradual dilatation and immediate divulsion described in previous paragraphs may be efficacious. A continued course of treatment by instrumental massage has in my[150] hands relieved such patients of their symptoms and restored contracted rectal chambers to normal inflatability and healthful mucous surfaces.

Acute Rectitis.

Salient Symptoms.—There is usually steady aching, or sensation of heat and weight in the sacral region and lumbar spine; the disease is initiated with a short period of obstipation or constipation which is sometimes followed by a somewhat longer period of diarrhea; finally there are discharges of mucus.

Diagnosis.—Proctoscopy reveals the fact that the mucous membrane lining the rectal chambers is deeply infected. The arborescent arterioles may appear in clusters of bright red twigs. The club-shaped venous radicals, which are of a purple color, may be observed somewhat elevated above the surface of the mucous membrane at various points throughout the chambers, and there is a generally diffused redness throughout the entire area involved. Extensive rectitis sometimes prevents inflation of the rectum. This may be overcome by the use of the coactor.

Treatment.—Acute inflammation of the rectal mucous membrane may be rapidly reduced by spraying the part with any of the familiar antiphlogistic solutions;[151] silver nitrate solutions, 3 or 4 grains to the ounce, are also effective.

Fig. 79.—A method of spraying the rectum.

Technic.—With the patient under proctoscopy, the operator should take in his left hand the proctoscope, and in his right hand the atomizer (Fig. 79), which should be attached to a compressed-air reservoir. By coordinate movement of the hands, each of the chambers involved in the disease may be rapidly and systematically sprayed with the solution. If the hand-bulb spray be used, an assistant will be required to hold and to direct the proctoscope from chamber to chamber. The method proposed is neat and susceptible to a rapid execution; the other is awkward and fatigues the patient, while it but imperfectly achieves its purpose. Autolavage of glycerin solutions are also helpful.

Fig. 80.—A hooked probe.
Fig. 81.—An atomizer.
Fig. 82.—An insufflator.

Chronic Hypertrophic Rectitis.

Salient Symptoms.—There are usually lumbar and sacral backache, and obstipation if there be valvular hypertrophy. There may be diarrhea, in[152] some instances, if there be increased secretion of mucus. The patient becomes much debilitated and suffers from recurring attacks of flatulence and dyspepsia. The symptoms are not of reliable diagnostic significance.

Fig. 83.—A curet.
Fig. 84.—A composite proctoscopic view of a rectal polypus, papillomas, and of a hypertrophied rectal valve of the second degree.

Diagnosis.—Proctoscopy may reveal a somewhat magenta-colored mucous membrane, the opacity of which often obscures the arterioles and renders the engorged veins less clearly defined than in the acuter forms of this disease. At various points small areas of the mucous membrane will be observed superficially eroded; and here and there will be seen inspissated masses of mucus burdened with exfoliated[153] epithelial cells, while elsewhere in many places about the chambers may be seen larger collections of viscid mucus.

Treatment.—This disease requires the application, by methods described in a preceding paragraph, of sprayed solutions which are essentially stimulating in their character. It is necessary that the treatment be repeated after an interval of several days.

Chronic Membranous Rectitis.

Salient Symptoms.—Constipation, obstipation or diarrhea may alternate. Discharge of shred-, cord-like[154] or tubular casts, which are usually of a light gray color, is a common symptom. The patients are the subjects of repeated attacks of intestinal autointoxication and are usually neurasthenic.

Diagnosis.—Proctoscopy reveals the mucous membrane of the rectal chambers of much the same appearance as in the most aggravated forms of chronic hypertrophic rectitis. The discharge will be characterized by shred, rope, cord-like or tubular formations of mucus and epithelium, and occasionally fibrin also may be detected incorporated in the casts. If these casts are not observed at the time of the proctoscopic inspection they will be reported in the patient’s anamnesis.

The Treatment is essentially the same as described in the preceding paragraph on treatment.


[155]

Cases of Obstipation Radically Treated.

Case 1.—June 3, 1898, Miss R. T., 32 years of age, consulted me for the relief of long-continued obstipation. She reported that for many years defecation was possible and easy only when the feces were rendered fluid by means of cathartics or enemas, that when the feces were formed their evacuation was accomplished only with the greatest of straining and by manual assistance. The young woman was profoundly neurasthenic and suffered from repeated attacks of intestinal autointoxication. Proctoscopy discovered a general hypertrophic rectitis and such a degree of hypertrophy of the rectal valves and contraction of the valve-straits as is equivalent to multiple annular stricture. Without the employment of general anesthesia the fibrous bands beneath the valve-margins were divided by means of the knives especially designed for the purpose. The operation was painless and unaccompanied by hemorrhage. Within three days the patient was able to take a journey of several miles to visit me at my office. During the first two or three days, without the aid of enemas or cathartics, there was on each day a normal evacuation. On the third day, fearing that there would be contraction of the valve at the seat of the wound I practised instrumental massage. There ensued a mild degree of rectitis, and for two weeks the defecation was attended with some difficulty, but in lesser degree than formerly. The rectitis presently subsided. Normal defecation was restored.

Case 2.—Mr. J. C., aged 24 years, was referred to me by Dr. H. L. S. in August, 1898. The patient presented a history of persistent obstipation, which began after an attack of fever from which he suffered some six years ago. The patient reported that except when the feces were rendered fluid by means of cathartics or enemas it was impossible for him to procure evacuation of the bowels. He reported that there was progressive increasing difficulty in getting injected fluids into the colon. He complained of tenderness and pain throughout the region of the sigmoid, and reported that for several years rectal irrigations had brought cord-like and membranous deposits on their return. The patient was neurasthenic. Proctoscopy discovered a general hypertrophic rectitis with no apparent contraction of the valve-straits and hypertrophy of the rectal valves, their borders being twice their normal thickness, which on the employment of the hook were discovered to be rigid and inelastic. The sigmoid was observed to be enormously dilated and here and there[156] were observable deposits of gelatinous mucus. Without the employment of artificial anesthesia the fibrous band beneath each valve-border was painlessly divided. Subsequently the valves were subjected to instrumental massage by means of the coactor, the rectal and sigmoidal mucous membrane was sprayed daily with a weak solution of silver nitrate. At the end of ten days defecation was being daily normally performed and the pain and tenderness had entirely subsided in the sigmoid.

Case 3.—In October, 1898, Mrs. C., 34 years of age, the mother of two children, consulted me for the relief of persistent obstipation and annoying borborygmus. She was emaciated, neurotic, and irascible to the last degree. She reported that since childhood she had been the subject of difficult defecation. The rectum was evacuated only occasionally, and, within the last few years she had suffered recurrent attacks of diarrhea. Proctoscopy discovered the two lowermost rectal valves slightly hypertrophied and the presence of two much hypertrophied rectal valves at the juncture of the rectum and[157] sigmoid flexure. The sigmoid was observed to be much dilated. Because of her nervous symptoms and of her inability to properly control herself she was placed in a condition of general anesthesia and all the valves divided. During the next four weeks, without the employment of cathartics or enemas, defecation was normally performed at irregular intervals. At the end of four weeks, because the patient would not submit to instrumental massage of the valves, which I deemed necessary to prevent their contraction and to make a perfect cure, the woman discontinued her relation to me as a patient. Some two months subsequently she called at my office and reported that during the preceding six weeks defecation had been performed daily, without difficulty and without the employment of artificial aid; also, she had entirely recovered from neurasthenia.

Case 4.—In June, 1898, Mrs. R. B., aged 36 years, the mother of three children, was referred to me by Dr. G. W. C. for the relief of obstipation and continued pain in the iliac fossas. She reported that from childhood she had never had an evacuation of the bowels except when the feces were fluid and had been rendered so by cathartics. She was addicted to the physic-habit, was neurasthenic, suffered repeated attacks of intestinal autointoxication and recurrent attacks of proctosigmoiditis. Proctoscopy discovered hypertrophic rectitis of such a degree as to interfere with spontaneous ballooning of the rectum, several applications of instrumental massage and divulsion of the rectum by means of the coactor and spraying the rectum with silver nitrate solutions soon rendered rectal inflation possible and permitted the discovery of four hypertrophied rectal valves. An operation for the division of the valves was attempted without the employment of general anesthesia, but because of the nervous movements of the patient it was found necessary to completely anesthetize her for the sake of continuing the focus of light upon the field of operation. Without the aid of enemas or cathartics normal defecation was almost immediately instituted and firmly formed feces were evacuated with little or no straining once in two or three days and finally daily with only an occasional intermission. However, the patient was many months recovering from the intestinal autointoxication incident to the dilated sigmoid.

Case 5.—Mr. F. D. N., of Red Lake Falls, Minn., aged 46 years, was for many years a subject of chronic obstipation. His anamnesis detailed symptoms of backache, pain extending down the thighs, tenderness throughout the sigmoid flexure and[158] colon, and straining at stool except when the feces were rendered fluid by cathartics. He was neurasthenic. Examination revealed internal varicose hemorrhoids, hypertrophy of the rectal valves and a dilated sigmoid flexure. The hemorrhoids were removed under cocain-infiltration anesthesia on March 6, 1898. A valvotomy was done on January 15, 1899. The patient recovered normal defecation, was relieved of the symptoms referred to and has gained 12 or 15 pounds in weight.

Case 6.—Miss G. H., of Marion, Ohio, aged 19 years, was referred by Dr. C. F. H. From infancy she had suffered more or less chronic irregularity in defecation. This difficulty increased to such a degree during the last two years that cathartics and enemas were indispensable. She reported the classic symptoms of intestinal autointoxication. An examination by means of the proctoscope revealed the presence of four rectal valves and the fact that the first two were anatomically coarcted. On April 29 valvotomy of the two valves was done. She was immediately relieved of the obstipation, the function[159] of defecation has since been perfectly normal, and her neurasthenic symptoms have entirely subsided.

Case 7.—Mrs. E. B. W., of Los Angeles, Cal., aged 48 years. Her symptoms were chronic obstipation with straining at stool except for the evacuation of fluid feces. Proctoscopy revealed hypertrophic rectitis and much thickening of the rectal valves. On May 6 valvotomy was performed and normal function restored.

Case 8.—Mrs. A. B. P., of Conneaut, aged 44, was referred by Dr. B. M. T. with a history of chronic obstipation, and of an abscess in the right ovaroappendicular region at a time prior to Dr. T.’s acquaintance with her. Her symptoms were those of chronic obstipation, tenderness in the region of the sigmoid and in the right iliac fossa. The pain was aggravated by the presence of water or feces in the rectum. Even small enemas caused such pain that cathartics had been relied upon. Examination discovered a dilated sigmoid which was extremely tender, the tenderness being greater in the right iliac fossa. It also discovered the presence of hypertrophic rectitis with hypertrophy[160] and coarctation of the two lowermost rectal valves and such a considerable degree of hypertrophic rectitis and edema at the rectosigmoidal juncture as to prevent the entrance into the sigmoid of even the smallest sound. On June 28 the lower two valves were divided, a 4% solution of cocain was sprayed upon the swollen rectosigmoidal mucosa, which becoming ischemic permitted of an easy introduction of the coactor for the divulsion of the highest stricture. During the ensuing three weeks the lower intestine was daily irrigated with two or three quarts of hydrastis solution, and the irrigation was unaccompanied by pain or distress and normal defecation was instituted and has continued. All of the symptoms have subsided except a small degree of tenderness in the region of the appendix.

Case 9.—Mr. R. T. G., of Rochester, aged 24 years, was referred by Dr. W. E. L. The patient was neurasthenic and subject to chronic obstipation, backache, and extreme tenderness in the sigmoid flexure, which was enormously dilated. He suffered much from accumulation of gas, which seemed to lodge, according to his own report, at a point just below the navel. The dorsal posture was unendurable to him because it seemed to increase the obstruction to the escape of the gas. For this reason he had to cease frequenting the barber’s chair and had to shave himself. This patient was also the subject of excruciatingly painful sphincter spasm. Proctoscopy discovered a small fissure in ano and hypertrophy of the third rectal valve with reducible invagination of the sigmoid. Valvotomy, and silver nitrate application to the fissure, soon relieved him of all his symptoms.

Case 10.—Mr. F. C. S., of Cleveland, aged 52 years, consulted me in July, 1898, for persistent obstipation and intestinal autointoxication. Proctoscopy revealed a hypertrophic rectitis with hypertrophy of the rectal valves. Instrumental massage of the valves by means of the coactor was practised. The treatment was administered half a dozen times with intervals of five or ten days between the treatments. The patient made a perfect recovery.

Case 11.—A gentleman of Cleveland, aged 36, had suffered for years from pyloric stenosis in an extreme degree, and from chronic impairment of defecation. He had been operated for gastroenterostomy some months previous to my seeing him and had been completely restored to health in every way excepting in that of defecation and tenderness in the lower abdominal region. Proctoscopy revealed a general hypertrophic rectitis[161] with hypertrophy of the rectal valves. I twice performed valve section upon this gentleman without improving his defecation. He now finds it necessary to use a laxative to secure evacuation of the bowels. This is undoubtedly a case of obstipation and constipation, illustrating the fact that constipation and obstipation may coexist in one individual, and that the division of the rectal valves, though removing the strictured condition of the rectum and relieving him from the dire consequences of such disease, will not cure the constipation.

The subjects of hypertrophied rectal valves may present the symptom of diarrhea; in such a case valvotomy may be performed at once or, on the other hand, may be delayed until the catarrhal proctocolitis has been brought under control by means of sprayed astringent solutions. The few cases reported are typic. Up to the present time I have operated upon forty-six patients whose cure has been established for sufficient time to justify report. A few have been relieved by means of instrumental massage of the valve and without resort to its section. The eleven cases presented represent the average in severity of disease and in the beneficence of the results achieved. Of all the operations performed but three have been done under artificial anesthesia. The operation is painless and if swiftly performed, as it may be by the skilled, need not fatigue the patient. It is wise, however, to narcotize the extremely neurotic. The operation should be performed in the hospital or at the patient’s home.

The commoner complications of the hypertrophied valve, which may be dilated sigmoid and colitis in varying degree, may contribute to the establishment of constipation. In such a case, in addition to local treatment by application of sprayed solutions, lavage and massage, such measures as will improve the general condition of the patient must be employed.

In conclusion, the reader is referred to the prefatory note.

Fig. 85.—Portable operating table made of bamboo and light weight steel tubing, strapped in a package 42 inches in length and 7 inches in diameter, and weighing about 29 pounds. The table and its covering are susceptible of being rendered aseptic. This table is capable of being made 6 feet in length. When set in shorter length it affords a surface 42 inches in length for the lithotomy or other dorsal, or Sims’ posture. It may be readily converted into the Trendelenburg position without elevating the patient above the reach of the standing operator; the table holds the patient securely in this position without the aid of straps; the table may be turned to support the patient in the new posture for operations high in the rectum; its top may be made to serve as a stretcher by withdrawing the telescoped end-pieces; and, finally, it may be used as a top piece for the hospital wagon. The light-apparatus is susceptible of the adjustment to an infinite number of positions and when not required for illumination may be turned under the tabletop. This table has sustained a test of over 500 pounds.
Fig. 86.—The table and light-apparatus in position for examination and operations upon the anus.
Fig. 87.—The table and light-apparatus in position for examination and operations within the rectum.
Fig. 88.—The patient in the Sims’ posture with the table and illumination-apparatus adjusted for examination and operations upon the anus.
Fig. 89.—The patient in the new posture with table and illumination-apparatus adjusted for examination and operations within the rectum. The passive patient is supported by the shoulder-suspender and knee-piece.

List of Illustrations.

1. Positions of the hands for the practice of the simplest method of proctoscopy
2. Positions of the fingers for the practice of the simplest method of proctoscopy
3. The chair, illumination-apparatus, shoulder-suspender, and small pillow
4. The chair in the horizontal posture for anoscopy
5. The position of the chair for the new posture of the patient
6. The anoscope
7. The obturator
8. The ointment applicator
9. The two-way irrigator
10. The proctoscope
11. The ointment applicator at the time of the placing of the ointment in contact with a diseased area
12. The proctoscope ready for introduction
13. Sitting posture of the patient, the first step toward proctoscopy
14. Horizontal posture of the patient for anoscopy
15. Putting the patient into the new posture
16. The new posture
17. The hook for testing the valves
18. The proctoscopic mirror
19. Drawing of specimen No. 281 in the Anatomical Museum of the Royal College of Surgeons, London
20. Drawing of specimen No. 284 in the Anatomical Museum of the Royal College of Surgeons, London
21. From a photograph of an external view of the paraffin cast-filled rectum
22. Interior view of the left half of the rectum of an adult
23. Knee-chest posture. Left lateral half-interior view
24. Posterior view of a specimen carefully dissected to show the muscular supply to the valve-bases
25. Posterior half occupied by its cast
26. Anterior half of specimen shown in Fig. 25
27. Posterior view of a cast-filled rectum
28. Paraffin cast from a rectum
29. Photograph of a female cadaver showing, after laparo-symphysiotomy and removal of bladder, uterus and adnexa, the upper rectum and sigmoid packed with scybalums
30. The rectum, the same as is shown in Fig. 29, divided into anterior and posterior halves
31. From a photograph of an anal end-view of a cast-filled rectum
32. From a photograph of an external view of a cast-filled rectum and its mesenteric attachment to the sacrum; taken from an 18-months-old infant
33. A semilunar valve drawn as seen under a glass magnifying five diameters
34. The instrument case
35. The rectum of an infant, stillborn
36. Side view of the specimen shown in Fig. 35
37. Front view of the rectum of an infant aged one hour
38. Side view of the specimen shown in Fig. 37
39. Front view of the rectum of an infant aged one month
40. Side view of the specimen shown in Fig. 39
41. Front view of the rectum of an infant aged six weeks
42. Side view of the specimen shown in Fig. 41
43. Front view of the rectum of an infant aged six months
44. Front view of the rectum of an infant aged six months
45. Side view of the specimen shown in Fig. 44
46. Diagrammatic of this gut in the empty state
47. Diagrammatic, showing direction of forces and resistance in infant, in defecation
48. Diagrammatic, showing direction of forces and resistance in adult, in defecation
49. The rectum and sigmoid of an infant aged two months
50. The interior view of the opposite posterior half of the rectum shown in Fig. 49
51. The paraffin cast removed from the gut shown in Figs. 49 and 50
52. A three-and-a-half-months fetus. A photograph showing the posterior half of the rectum prepared by the paraffin-cast process
53. A five-months fetus. A photograph showing a paraffin cast-filled rectum in situ; the other organs having been dissected away
54. Anatomic coarctation of valves
55. Drawing of specimen No. 2569 in the Pathological Museum of the Royal College of Surgeons, London
56. Drawing of specimen No. 2568 in the Pathological Museum of the Royal College of Surgeons, London
57. Drawing of specimen No. 2571a in the Pathological Museum of the Royal College of Surgeons, London
58. Drawing of specimen No. 2571 in the Pathological Museum of the Royal College of Surgeons, London
59. Drawing of specimen No. 2571c in the Pathological Museum of the Royal College of Surgeons, London
60. Drawing of specimen No. 2570 in the Pathological Museum of the Royal College of Surgeons, London
61. Drawing of specimen No. 2567 in the Pathological Museum of the Royal College of Surgeons, London
62. Congenital diaphragmatic stricture of the rectum dependent on faulty development of third rectal valve. Composite view
63. Curved sounds
64. The fenestrated speculum No. 1
65. The fenestrated speculum No. 2
66. The coactor
67. The coactor
68. The coactor
69. Illustrating a method of seizing the free margin of the valve by means of the volsellum
70. A volsellum
71. A knife for valvotomy
72. Illustrating a stage preliminary to the division of the valve
73. The method of making the initial incision for valvotomy
74. Clamps
75. Telescoped proctoscope
76. Coactor within a proctoscope
77. A divulsor
78. A divulsor within the proctoscope
79. A method of spraying the rectum
80. A hooked probe
81. An atomizer
82. An insufflator
83. A curet
84. A composite proctoscopic view of a rectal polypus, papillomas, and of a hypertrophied rectal valve of the second degree
85. Portable operating table
86. The table and light-apparatus in position for examination and operations upon the anus
87. The table and light-apparatus in position for examination and operations within the rectum
88. The patient in the Sims’ posture
89. The patient in the new posture

FOOTNOTES:

[1] “Noninstrumental Inspection of the Rectum.”

[2] Italics in the quotations to follow are mine and are used to point out statements to which I will make particular exceptions.

[3] “Treatise on the Malformations, Injuries and Diseases of the Rectum,” French and Allard, New York.

[4] “The Chronology of the Methods of Atmospheric Inflation for Inspection of the Rectum and Sigmoid Flexure;” Thos. Chas. Martin, The Louisville Journal of Surgery and Medicine, December, 1898.

[5] “Clinical Notes on Uterine Surgery;” William Wood & Company, New York, 1866.

[6] “Diseases of the Rectum;” D. Appleton & Co., New York, page 394.

[7] “Diseases of the Rectum;” P. Blakiston, Son & Company, Philadelphia, page 12.

[8] “Diseases of the Rectum;” H. K. Lewis, London, 1887, page 16.

[9] “Anatomische Untersuchungen am menschlichen Rectum;” Veit and Company, Leipsic, 1887.

[10] “Die Krankheiten des Mastdarmes und des Afters;” Ferdinand Enke, Stuttgart, 1887.

[11] “A New Method of Examination and Treatment of Diseases of the Rectum and Sigmoid Flexure;” Annals of Surgery, April, 1895.

[12] “Surgery of the Alimentary Canal;” P. Blakiston, Son & Company, Philadelphia, 1896, page 566.

[13] My attachment consists of a superstructure and an additional mechanism upon the Yale chair which adds the new movements without interfering in any way with the other postures which the chair makes possible.

[14] Section on Fallacious Sounding.

[15] Allingham, Diseases of the Rectum, page 261, Churchills, London.

[16] “Manual of Physiology,” 1895, G. M. Stewart, M.A., D.Sc., M.D., Edin., D.P.H. Camb., Professor of Physiology in the Western Reserve University, Cleveland.

[17] See introduction.


Transcriber’s notes.

Evident typographical and punctuation errors have been corrected silently. Inconsistent spelling/hyphenation has been normalised.

On page 15, “Mason” has been corrected to “Masson” (G. Masson, Éditeur).

On page 26 “Henly” has been corrected to “Henle” (Henle says that).

A reiteration of the book title has been discarded.

End of page footnotes have been sequentially numbered and relocated to the end of the book.

To aid text flow, Illustrations have been placed between paragraphs/chapters, and, where convenient to do so, close to their mention in the text.

A Table of Contents and List of Illustrations have been compiled by the transcriber.

New original cover art included with this eBook is granted to the public domain.

*** END OF THE PROJECT GUTENBERG EBOOK 77683 ***