The Project Gutenberg eBook of An atlas of gas poisoning

This eBook is for the use of anyone anywhere in the United States and most other parts of the world at no cost and with almost no restrictions whatsoever. You may copy it, give it away or re-use it under the terms of the Project Gutenberg License included with this eBook or online at www.gutenberg.org. If you are not located in the United States, you will have to check the laws of the country where you are located before using this eBook.

Title: An atlas of gas poisoning

Creator: Great Britain. Medical Research Committee


Release date: September 2, 2025 [eBook #76801]

Language: English

Original publication: London: Medical Research Committee, 1918

Other information and formats: www.gutenberg.org/ebooks/76801

Credits: Richard Tonsing and the Online Distributed Proofreading Team at https://www.pgdp.net (This file was produced from images generously made available by The Internet Archive)

*** START OF THE PROJECT GUTENBERG EBOOK AN ATLAS OF GAS POISONING ***

Transcriber’s Note:

New original cover art included with this eBook is granted to the public domain.

For official use only
MEDICAL RESEARCH COMMITTEE

AN ATLAS
OF
GAS POISONING

[Logo]
1918

The Medical Research Committee have made the necessary arrangements for the preparation and reproduction of the drawings shown in this Atlas. The Atlas is printed for distribution in size uniform with the series of Reports issued by the Chemical Warfare Medical Committee with the sanction of the Director-General A.M.S. and of the Controller of the Chemical Warfare Department, Ministry of Munitions. The arrangements have been facilitated by the co-operation of the American Red Cross Society, who have undertaken to provide part of the present issue of this Atlas for official distribution in the American Army Medical Service.

The following Reports of the Chemical Warfare Medical Committee have already been issued:

No. 1. Notes on the Pathology and Treatment of the Effects of Pulmonary Irritant Gases. (March, 1918.)

No. 2. The Histological Effects produced by Gas Poisoning and their Significance. (April, 1918.)

No. 3. The Symptoms and Treatment of the Late Effects of Gas Poisoning. (April, 1918.)

No. 4. Polycythæmia after Gas Poisoning and the Effect of Oxygen Administration in the Treatment of Chronic Cases. (April, 1918.)

No. 5. The Reflex Restriction of Respiration after Gas Poisoning. (April, 1918.)

No. 6. Investigations into the Reaction of the Blood after Gas Poisoning, and the Results of the Administration of Saline and other Substances. The Effects of Bleeding and of the Injection of Calcium Chloride. (April, 1918.)

No. 7. Changes observed in the Heart and Circulation and the general After-Effects of Irritant Gas Poisoning. (April, 1918.)

No. 8. Reports on Fatal Cases of Poisoning. (i.) Ethyl iodoacetate. (June, 1918).

AN ATLAS
OF
GAS POISONING

These drawings have been reproduced by the permission of the Director-General of Medical Services, B. E. F., and they are presented as a supplement to the official memoranda on the Nature and Treatment of Gas Poisoning that have already been issued by General Headquarters to Medical Officers.

The drawings illustrate only the chief features in the pathology of the lesions produced by Enemy Gas, and the primary aim of their distribution is that of general instruction for Officers who are not already familiar with the subject by experience in the field.

The copyright of all these drawings is reserved and the contents of the Atlas must be regarded as confidential and not to be communicated to the press.

B. E. F. France.
August 1, 1918.

Out of all the various substances used by the Enemy in Gas Warfare only two have been chosen for illustration of their effects in this Atlas. They are Phosgene (COCl2), and Di-chlorethyl-sulphide, (C2H4Cl)2S, or ‘Mustard Gas’.

Phosgene is the chief of all the many gasses and liquids that are used for their effects as pulmonary irritants. Chlorine belongs to this group and was the first Poison Gas used by the Germans in April 1915, but it has long since been superseded by more effective chemical substances. The pulmonary irritants are inhaled as gasses or vapours. They may cause some watering of the eyes, but the chief effect noticed at once is a catching of the breath or a choking sensation so that the chest feels gripped and incapable of free respiration. Coughing and vomiting may follow, and then after a delay of time varying from a few minutes to several hours an inflammatory reaction appears in the lungs themselves, with the development of an acute oedema that may commence insidiously and yet progress so rapidly as soon to be an immediate menace to life itself.

The alveoli fill with oedema fluid, which then rises into the bronchial tubes and may appear in a most abundant expectoration of thin frothy fluid. Aeration of the blood is seriously interfered with, because the air sacs are either drowned with oedema fluid or burst by the efforts of coughing. Moreover the actual circulation through the lungs is embarrassed, both by the pressure of the oedema fluid on the capillary vessels and by the local thrombosis that occurs in many places in the smaller lung vessels. The blood itself is concentrated by the loss of serum so that the count may rise to even eight or nine million red corpuscles to the cu. mm. and this change probably adds to the difficulties of the circulation.

The gassed man can no longer get the oxygen that he wants, and he either dies in obvious asphyxia with progressive circulatory failure, or he collapses as the result of some muscular effort that suddenly makes a greater call for oxygen and so reveals the deficiency of the supply. Death is the result simply of this inflammatory oedema of the lung, and it occurs chiefly in the first and second day after exposure to Phosgene. A few cases may chance to develop secondary bacterial infections of the lungs and to succumb to a later broncho-pneumonia, but they are relatively rare.

The main clinical features of acute Phosgene poisoning may therefore be summarized as follows:

(i) Catching of the breath, choking, and coughing immediately on exposure to the gas.

(ii) Inability to expand the chest in a full breath after removal from the poisoned air.

(iii) Vomiting, hurried shallow respiration, and sometimes coughing with an abundant expectoration, follow. Pain is felt behind the sternum and across the lower part of the chest. Fine râles are heard in the axillae and over the back.

(iv) Cyanosis next appears, in association either with a full venous congestion or with the pallid face of circulatory failure. The development of these dangerous symptoms may occur after many hours’ delay, and sometimes with unexpected rapidity in an apparently slight case as the result of muscular effort.

(v) Death, which may or may not be preceded by mild delirium or unconsciousness, rarely occurs after the first or second day.

Di-chlor-ethyl-sulphide is spoken of as being a vesicant. It may exert its irritant action either as a vapour in low concentration in the air or by direct contact from splashes of the liquid. The liquid or vapour clings to the clothing of men exposed to Yellow Cross shells, and thus slowly exerts its continuously irritant action on their bodies.

No irritant effect at all is felt on first exposure, whatever the concentration may be, but after a delay of about two to six hours the skin and mucous membranes begin to react with a progressive inflammation that may result in local necrosis and desquamation of these covering membranes. There is intense conjunctivitis; the skin turns an angry red, and this erythema is soon followed by skin blistering here and there over the face and body. The passage of the vapour down the respiratory tract may cause such severe injury to the lining mucous membranes of the trachea and bronchioles that they are eventually destroyed and sloughed away. Bacterial infection then seizes upon these raw surfaces, and the patient may die from secondary septic broncho-pneumonia.

Death is never the direct result of the action of the poisonous vapour. From the 2nd day onward through the first and second week severely affected men may die, but only as the result of secondary bacterial infection. This poison therefore differs entirely from the lung irritants such as Phosgene, which kill directly and speedily by flooding the lungs with oedema fluid.

The main features of poisoning from Mustard Gas may be resumed as follows:

(i) Delay of the irritant effect for at least two to three hours, and then a comparatively slow development of the various inflammatory reactions.

(ii) Vomiting, and a sense of burning in the eyes, with discomfort in the throat, hoarse cough, and some retro-sternal pain.

(iii) Intense conjunctivitis that temporarily ‘blinds’ the man.

(iv) Burning of the exposed skin surfaces and of the moist areas in the axillae and groin, followed by blistering, excoriation, and brown staining.

(v) Inflammatory necrosis of the mucous membrane of the trachea and bronchi, with the secondary development of infective bronchitis or septic broncho-pneumonia.

(vi) Death is relatively uncommon: it occurs later than the first day and only as the result of septic complications.

No.
 
I.
Microscopic section of human lung from phosgene shell poisoning. Death at the nineteenth hour after gassing.
II.
Blue type of asphyxia from phosgene poisoning, with intense venous congestion.
III.
Pallid type of asphyxia from phosgene poisoning, with circulatory failure.
IV.
Gangrene of foot caused by vascular thrombosis from chlorine poisoning.
V.
Erythema of skin from general exposure to the vapour of Yellow Cross substance.
VI.
Blistering of buttocks by mustard gas.
VII.
Burning of scrotum and penis by mustard gas.
VIII.
Brown staining from mustard gas.
IX.
Ulceration of trachea by mustard gas.
X.
Microscopic section of human lung from mustard gas poisoning, with death at end of second day (40 hours).
XIA.
Severely burned eye in the acute stage.
XIB.
Slightly later stage of acute burning.
XIIA.
Stage of resolution after severe burning.
XIIB.
Late stage of resolution.
XIIIA.
Drawing of the cornea in the acute stage of severe burning.
XIIIB.
Drawing of cornea in the stage of resolution after severe burning.

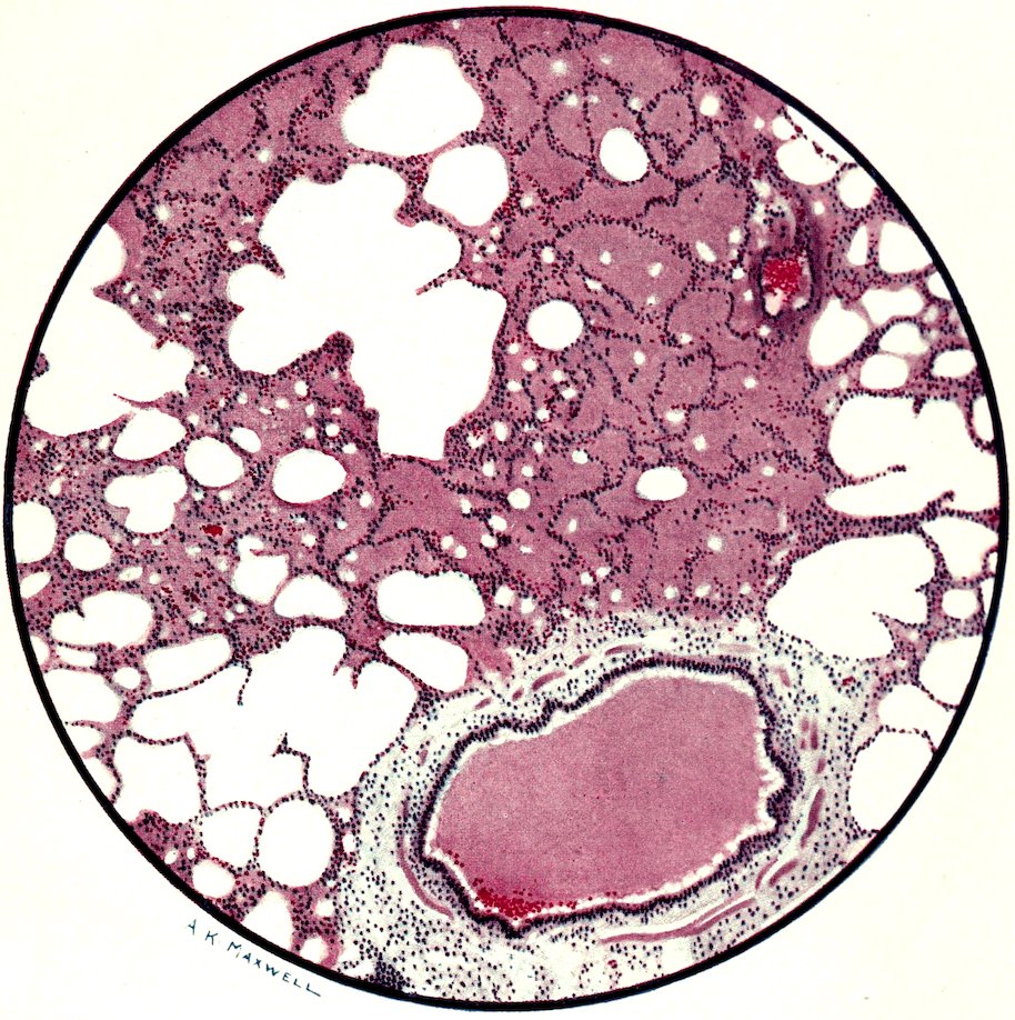
PLATE NO. I
Microscopic section of human lung from phosgene shell poisoning. Death at the nineteenth hour after gassing.

The piece of lung shown is almost entirely useless for aeration of the blood. Most of the pulmonary alveoli are filled with oedema fluid, and the walls of the air sacs are burst asunder in many places. The rounded edges of these torn walls can be recognized both in the areas of emphysema and in the parts that are flooded with oedema fluid. The bronchus also is filled with oedema fluid, but it should be noted that its lining epithelium is intact and pus cells have not accumulated in the secretion. The blood vessels of the alveolar network are congested; and intravascular thrombosis is frequently found in these smaller vessels, though it is not actually shown in the area of this section.

The main changes in the lung are:

Congestion, and occasional thrombosis, of the network of pulmonary blood vessels.

Abundant outpouring of inflammatory oedema fluid both into the tissues and into the air spaces of the alveoli and bronchi.

Disruptive emphysema of the weakened lung tissue.

The result of these changes is that the blood circulation through the lungs is impeded, and the respiratory exchange of gasses between the blood and the air in the lung is seriously diminished. The gassed man is in danger of death by asphyxia so long as his lung is drowned in oedema fluid.

From the third day onwards the oedema fluid is reabsorbed or expectorated, and the lung soon resumes its functions. Bronchopneumonic complications may develop from secondary infections, but they are not very common.

The recovery of the lung, even after severe gassing appears to be functionally good. In the earlier stages of convalescence there may still be signs of persisting oxygen want, so that tachycardia with excessively rapid respiration is the result of even slight physical effort. Later these disabilities vanish. The microscopic examination of lungs in these stages of recovery has not been made.

Plate I.

PLATE NO. II
Blue type of asphyxia from phosgene poisoning, with intense venous congestion.

History of case. Drawing made early on second day after gassing; when there was copious frothy sputum, frequent cough, and hurried shallow respiration of 40 to 48 with temperature of 101° and pulse 100. The patient was bled 15 ozs. and oxygen added to the air that he breathed. He soon made a complete recovery.

Such venous congestion was more frequent with chlorine poisoning than it now is with phosgene. It is associated with a full strong pulse at the outset, though later the pulse may fail and the asphyxia change to the pallid type shown in Plate III. The patient as a rule is fully conscious and complains chiefly of headache and pains in the chest; he turns restlessly to and fro in extreme general discomfort, and his hurried breathing is interrupted from time to time by short bursts of coughing and of expectoration. The lung is in the oedematous state shown in Plate I.

Oxygen, when given by an efficient apparatus, will at once change the blue tint of the face to a full pink colour, showing that it can still be absorbed by the blood through the lungs. Venesection relieves the discomfort felt by the patient, and probably lessens the embarrassment of the circulation.

Plate II.

PLATE NO. III
Pallid type of asphyxia from phosgene poisoning, with circulatory failure.

The cyanotic hue of the ears and lips, despite the general pallor caused by the failure of the circulation, indicates the intense want of oxygen from which the patient is suffering. Respiratory difficulty is shown in the strained effort of the muscles around the nostrils.

History of case. Drawing made on second day after gassing, when there was profuse frothy expectoration, hurried shallow breathing of 50 a minute and a rapid running pulse of 132. The patient died two hours later.

This pallid or leaden-hued type of asphyxia is characteristically frequent after phosgene, and it may either develop at once with a rapidly progressive failure of the circulation or follow a stage of venous congestion.

The patient is restless, often semi-delirious, and his skin may be dry and hot, or cold in the final collapse, though it is not often damp with perspiration. The hurrying small pulse and the panting rapid shallow breathing, often with sounds of fluid in the trachea, are both characteristic. Examination of the chest finds physical signs very similar to those of the blue congested type, a little dulness on percussion and numerous fine râles and rhonchi, especially in the axillae and over the back. In both cases the intensity of the pulmonary oedema is hidden from physical examination by the presence everywhere in the lungs of scattered islets of emphysema.

Plate III.

PLATE NO. IV
Gangrene of foot caused by vascular thrombosis from chlorine poisoning.

History of case. Gassed by chlorine in 1915 under conditions which could not have induced frost-bite. Severe dyspnoea from pulmonary oedema.

Drawing of foot made on fifth day. Both feet were then anaesthetic, stone cold, and no pulsation could be felt in the dorsalis pedis artery. The right hand also was mottled, cold, and painful. The circulation was restored in a few days with complete recovery, except that two toes became black and shrivelled.

Such arterial thrombosis, of slowly progressive onset, is quite uncommon in the extremities, though it is occasionally seen with phosgene. The obstruction is very rarely so complete as to cause gangrene and death of the tissues. But this drawing of a visible condition is introduced in order to emphasize the fact that an unseen vascular thrombosis of smaller vessels in deeper organs of the body is frequently found with phosgene poisoning. Such thrombosis is revealed by the microscope in fatal cases in the smaller lung vessels, in the kidney, in the mucous membrane of the stomach, and in the brain. Indeed in deaths with prolonged asphyxia from gassing by phosgene the white matter of the brain is often seen to be thickly sown with brownish-red petechial spots around each tiny arterial thrombus. The obstruction to the lung circulation has already been referred to; the kidney thrombosis does not appear to have any serious results; and, except where larger haemorrhages have burst in the brain, the scattered cerebral thrombi do not appear to be of grave clinical import. The petechial areas within the stomach may occasionally become the seat of a superficial ulceration. Large thrombi are sometimes found within the heart, but they also are associated with rather than the cause of the other changes that lead to death.

Plate IV.

PLATE NO. V
Erythema of skin from general exposure to the vapour of yellow cross substance. Dermatitis of this distribution and associated with conjunctivitis forms a characteristic picture of poisoning by this vesicant.

History of case. Exposed to ‘mustard gas’ at Ypres on July 12, 1917, when this substance was first employed by the enemy. Wore box respirator for only 30 minutes, so that he was exposed without any protection for nearly four hours. No symptoms were felt until some hours later, when severe vomiting commenced and conjunctivitis developed.

Drawing made on the fifth day. The laryngitis and bronchitis were slight, so that the poisonous vapour must have acted only in low concentration. But the reddening of the skin was fairly intense because the man had been sweating freely when exposed to the gas, and he was not washed afterwards nor was his clothing changed. The erythema was succeeded by staining in the same areas of the skin.

This reddening, as though the skin had been scorched or deeply sun-burned, is the first cutaneous reaction to mustard gas, though it sometimes may not appear until several days after exposure. It is accompanied by only a slight feeling of warmth and irritation. In addition to the face and arms which are directly exposed to the vapour in the air, the moist surfaces of the axillae, the flexures of the elbows, and the perineum and inner surfaces of the thighs are particularly affected, that is in the places where the skin is often sodden with fatty perspiration. This special distribution of the diffuse erythema characterizes the general dermatitis of mustard gas vapour; but the reaction may be limited to a smaller area in any part of the body, for example where the clothing may have chanced to be splashed by the liquid.

The inflammatory reaction is chiefly superficial, and it is not accompanied by much oedema of the subcutaneous tissues except in the eyelids and over the penis and scrotum. Later the dusky red colour deepens, and patches of cyanotic or whitish oedema may arise amid it. Blisters then appear, and the cuticle becomes excoriated; or the skin may be retained while the erythema fades and a brown staining slowly darkens the original area of irritation.

Plate V.

PLATE NO. VI
Blistering of buttocks by mustard gas.

History of case. The man sat down on ground that was contaminated by the poison and the vapour passed through his clothing, causing inflammation of the buttocks and of the scrotum. A diffuse reddening appeared twenty-four hours after exposure, and this was followed by an outcrop of superficial blisters. On the eighth day the erythema began to be replaced by a brown staining, and the drawing was made on the eleventh day during this change of tints. Infection of the raw surface was avoided, and the healing was complete in three weeks.

The blisters in this case were probably aggravated by pressure, for the inflamed skin becomes very fragile, so that the surface layer is readily loosened by pressure or careless rubbing. The blisters may be very tiny bullae, as on the eyelids, or they may coalesce into areas many inches across, covering a collection of serous fluid which perhaps itself contains enough of the irritant substance to injure other skin if it is allowed to flow over it.

The blisters are usually quite superficial and almost painless in their development. But the raw surface that is left after the blister has burst becomes most acutely sensitive to all forms of mechanical irritation. Deeper destruction of the dermis may be caused by spreading necrosis where the substance attacks the skin locally in high concentration, or when secondary infections are implanted on the raw surface. Chronic and painful sores then result, and in this event the skin does not regenerate completely, so that thinly covered scars for a long time will mark the site of the burn.

Plate VI.

PLATE NO. VII
Burning of scrotum and penis by mustard gas.

History of case. From the same incident as that described under Plate No. VI. Inflammation commenced at the close of the first day after exposure. Drawing made on the eleventh day when the red erythema had almost faded from the inner aspects of the thighs. The scrotum is oedematous and the raw surfaces have become the seat of a mild secondary eczematisation. The injuries were soon and completely healed.

The perineum is peculiarly liable to be inflamed after exposure to the vapour of mustard gas, and the penis and scrotum become oedematous as well as reddened. Balanitis and pain with micturition may be troublesome. When the skin is excoriated, secondary infections of the raw surface are very likely to develop unless adequate precautions are taken to prevent sepsis. But with careful cleansing of the skin and clothes of a casualty after exposure to the vapour, inflammation of the perineum can be reduced to a comparatively trifling incidence.

Plate VII.

PLATE NO. VIII
Brown staining from mustard gas.

This purplish-brown, or brown, or brownish-black tint usually appears in areas that were first inflamed and red, but it may arise without such preceding erythema. Its distribution is in the same areas as those in which erythema occurs, that is over the exposed skin surfaces of the neck and hands, or on the sheltered moist flexures of the body. It may appear at any time from the fifth or sixth day onwards, and it persists for several weeks, until the stained cuticle desquamates. There is no deep pigmentation.

The drawing was made from a case on the eighteenth day after exposure to gas, and the brown tint was present on the sixth day.

Plate VIII.

PLATE NO. IX
Ulceration of trachea by mustard gas.

The characteristic feature is the sloughing of the tracheal mucous membrane. The reddening of the base of the tongue and of the pharynx, with a sharp delimitation where the oesophagus has refused ingress to the toxic vapour, is seen also with chlorine and other irritant gasses. But the pharyngeal inflammation with mustard gas may proceed further to a local ulceration that will cause dysphagia for many days.

The mucous membrane of the trachea and bronchi is affected by di-chlor-ethyl-sulphide in much the same way as is the skin. It reacts with an intense inflammation, and death of the surface layers soon results. The mass of necrotic tissue, exuded fibrin, and pus cells may form a yellowish-grey slough in which all manner of organisms flourish. Subsequently this false membrane comes away in patches or in entire casts from the raw surface of the bronchial wall.

Meantime the infected débris and secretions tend to accumulate in the bronchial ramifications at the bases of the lungs, and infection may spread from them into the lung tissues and alveoli. Septic broncho-pneumonia, localised abscesses, superficial pleurisy, and even empyema or pyopneumothorax then develop and cause death.

The drawing is of a trachea at the twelfth day after gassing. The base of the tongue and the pharynx show characteristic inflammation. Yellow necrotic sloughs lie on the larynx and at the bifurcation of the trachea. Between these the trachea is red and glistening, because it is now completely denuded of both mucous membrane and of slough. The dotted line points to a little group of ulcers on the posterior wall from which bleeding has occurred. The trachea and bronchi contained an abundance of thin yellow pus.

Plate IX.

PLATE NO. X
Microscopic section of human lung from mustard gas poisoning, with death at end of second day (40 hours).

The bronchiole is filled with fibrin and pus cells, and its lining epithelium has been completely destroyed. The inflammation has caused a characteristic ring of haemorrhage in the tissues around the bronchial tube, and infection is beginning to appear in the alveoli nearest to these inflamed tissues. But there is no generalised pulmonary oedema and no disruptive emphysema.

Di-chlor-ethyl-sulphide may cause some catarrhal desquamation of the pulmonary endothelial cells, but it rarely excites an outpouring of oedema fluid from the pulmonary vessels. The pathological changes in the bronchioles and in the alveoli are therefore in the sharpest contrast with those caused by phosgene (see Plate No. I). As infection spreads into the lung tissues, patches of septic broncho-pneumonia and small abscesses develop, and these often excite an inflammatory oedema around them.

If the patient lives, his bronchial mucous membrane is slowly regenerated; and during this time he is naturally subject to reflex spasms of coughing or even to a protracted bronchitis.

Plate X.

PLATE NO. XIa
Severely burned eye in the acute stage.

Early in the second day after exposure to mustard gas vapour the eyelids and the external surface of the globe show an intense inflammatory reaction. Tears stream from between the closed oedematous eyelids, which may even be blistered, and there is often severe pain behind the eyes and in the forehead. The conjunctiva is swollen, oedematous, and bright red from injection of the blood vessels. The injury of the cornea, even when severe, is not so obvious, and careful examination is of great importance for its detection. Photophobia and blepharospasm render examination of the eye very difficult.

The majority of gassed eyes exhibit inflammation of a general character that is not illustrated in this Atlas. But examples are continually occurring in which the eye is more severely burned, and these may be recognized by certain characteristic features that are depicted in the drawing, Plate No. XIa. Whenever a dead white band crosses the exposed area of the conjunctiva, while the parts of this membrane covered by the upper and lower lids are red and oedematous, serious injury from the burning is likely to have occurred.

In the case illustrated, the caustic effect of the vapour is seen chiefly in the interpalpebral aperture. On each side of the cornea there is a dead white band due to coagulative oedema, which compresses the vessels, impairs the circulation, and thus acts as a menace to the nutrition of the cornea. The swelling in the region of this white band is slight, while the protected conjunctiva above and below it is greatly swollen and injected and may even bulge between the lids.

The exposed portion of the cornea is grey and hazy; it has lost its lustre, and when viewed with a bright light and a magnifying glass it shows a blurred ‘window reflex’ and a typical ‘orange-skinned’ surface. The haze gradually fades off above in the region of the protected part of the cornea where the surface is usually bright and smooth. The pupil is at first contracted as the result of irritation and congestion. In this drawing it is shown as artificially dilated by atropine ointment, which should always be used early in severe cases or where there is much pain and blepharospasm.

PLATE NO. XIb
Slightly later stage of acute burning.

The swelling in the conjunctiva above and below has subsided, but the vascular injection remains, and the solid white oedema in the palpebral aperture is still well marked. The cornea is grey in the exposed area.

[For History of the case see page facing Plate XII.

Plate XI.

History of the case. The casualty was caused by the bursting of a Yellow Cross shell close to the man when he was riding a restive mule, and his box respirator was momentarily displaced. A fine spray of the liquid must have splashed lightly over his right side, for cutaneous blisters developed on the neck, the cheek, and the forehead on this side only. The right eye showed serious burning with the central white band, while the left eye was only in the state of general red conjunctivitis.

With the lowering of the nutrition of the corneal epithelium, secondary infection is liable to take place. In this case an infiltrated corneal ulcer is seen associated with a hypopyon. It is therefore important when there is conjunctival discharge, which indicates secondary infection, that in addition to the use of atropine the conjunctival sac should be cleansed by frequent bland irrigations and by the instillation of antiseptic drops so as to check infection of any corneal ulceration which may develop. Otherwise the infective progress which has led to hypopyon may progress till panophthalmitis supervenes.

PLATE NO. XIIa
Stage of resolution after severe burning.

The vascular injection is passing off, the solid oedema is becoming absorbed, and the corneal epithelium has regained its normal lustre. In this stage the use of atropine should be discontinued.

PLATE NO. XIIb
Late stage of resolution.

The earlier vascular injection above and below the cornea has practically disappeared; the solid white oedema has been absorbed, and the conjunctiva in the palpebral aperture now shows definite injection, often of a bright violet tint. The entire picture has changed, so that the parts which were red in the acute stage are now white and the part which was formerly white is now red. This drawing would illustrate equally well the condition that may follow immediately on a very slight exposure to the irritant gas, when only a slight central band of red injection develops instead of the bloodless state of white oedema that is caused by the more severe burns.

At this stage atropine and shades should be abandoned. Astringent drops should be instilled and photophobia combated with cold douching, &c., while fresh air and occupation will help to restore the general health of the individual and mitigate any tendency to neurasthenia.

Plate XII.

PLATE NO. XIIIa
Drawing of the cornea in the acute stage of severe burning.

This corresponds with Plate No. XIa. The exposed central area shows grey haze and loss of lustre on its stippled surface, which gradually fades off to the bright lustrous normal surface in the part above that has been protected by the eyelid. Injection of the conjunctival vessels is seen only in relation to this upper and less burned area.

PLATE NO. XIIIb
Drawing of cornea in the stage of resolution after severe burning.

The cornea is now smooth and bright with a clear light reflex on its surface. But some grey superficial nebulae are seen in the centre, and these may persist for several weeks. The injection of the conjunctival vessels is now limited to the central band.

Plate XIII.


TRANSCRIBER’S NOTES