The Project Gutenberg eBook of The pathology of influenza

This eBook is for the use of anyone anywhere in the United States and most other parts of the world at no cost and with almost no restrictions whatsoever. You may copy it, give it away or re-use it under the terms of the Project Gutenberg License included with this eBook or online at www.gutenberg.org. If you are not located in the United States, you will have to check the laws of the country where you are located before using this eBook.

Title: The pathology of influenza

Author: M. C. Winternitz

Frank P. McNamara

Isabel M. Wason


Release date: February 24, 2019 [eBook #58960]

Language: English

Other information and formats: www.gutenberg.org/ebooks/58960

Credits: Produced by Richard Tonsing and the Online Distributed
Proofreading Team at http://www.pgdp.net (This file was
produced from images generously made available by The
Internet Archive)

*** START OF THE PROJECT GUTENBERG EBOOK THE PATHOLOGY OF INFLUENZA ***

Transcriber’s Note:

The cover image was created by the transcriber and is placed in the public domain.

PUBLISHED ON THE FOUNDATION
ESTABLISHED IN MEMORY OF
ANTHONY N. BRADY

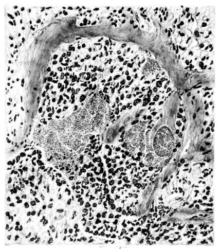
FIG. I. AUTOPSY NO. 99. ACUTE HEMORRHAGIC AND ULCERATIVE LARYNGOTRACHEITIS.

THE
PATHOLOGY OF INFLUENZA

BY
M. C. WINTERNITZ, ISABEL M. WASON AND FRANK P. MCNAMARA
FROM
THE BRADY LABORATORY OF PATHOLOGY AND BACTERIOLOGY, YALE UNIVERSITY SCHOOL OF MEDICINE AND THE NEW HAVEN HOSPITAL
NEW HAVEN
YALE UNIVERSITY PRESS
LONDON · HUMPHREY MILFORD · OXFORD UNIVERSITY PRESS
MDCCCCXX
COPYRIGHT, 1920, BY
YALE UNIVERSITY PRESS

The present volume is the fourth work published by the Yale University Press on the Anthony N. Brady Memorial Foundation, which was established June 15, 1914, by members of the family of the late Anthony N. Brady to enable the University to declare operative the agreement for an alliance between the New Haven Hospital and the Yale School of Medicine. In addition to the pledge of endowment for this purpose, the donors erected for the University on the grounds of the Hospital a clinical and pathological laboratory, and have since, through additional gifts to supplement the income of the Memorial Foundation, made possible the publication of this and other works by members of the faculty of the School of Medicine at Yale.

Our grateful acknowledgment is due the Staff of the New Haven Hospital, especially the members of the Department of Medicine, for their hearty co-operation and for the use of the clinical notes. We also wish to thank the members of the Medical Corps of the United States Army who were stationed at the Yale Army Laboratory School while the work was in progress and who aided in many ways:—Colonel Charles F. Craig, Captain R. A. Lambert, Lieutenants C. A. McKinlay, Frederick Parker, Jr., Ellis Kellert, Henry R. Muller, and J. H. Globus.


7

TABLE OF CONTENTS

        Page
 
Introduction 9
 
I. The Pathology of the Respiratory Tract in Influenza 13
 
    (A) Lesions of the Trachea and Bronchi 13
 
        (a) Gross Picture 13
        (b) Histological Picture 14
        (c) Summary 16
 
    (B) Lesions of the Lung 16
 
      (1) Acute Diffuse Fulminating Type 18
 
        (a) Gross Picture 18
        (b) Summary 19
        (c) Histological Picture 20
        (d) Summary 22
 
      (2) Localization and Necrotization of the Pneumonic Process 22
 
        (a) Gross Picture 22
        (b) Histological Picture 24
        (c) Summary 26
 
      (3) Organization of the Bronchiolar and Pneumonic Processes 26
 
        (a) Illustrative Protocols 27
        (b) Summary 30
 
II. Influence of the Respiratory Complications of Influenza upon Tuberculosis of the Lung 32
 
        (a) Illustrative Protocols 32
        (b) Summary 33
 
III. Extrarespiratory Lesions in Influenza 34
 
    (A) Lesions of the Hematopoietic System 34
 
        (a) Lymphadenoid Tissue 34
        (b) Spleen 35
        (c) Bone Marrow 35
 
    (B) Lesions of the Blood Vessels and Elsewhere in the Body 36
 
        (a) Vascular System 36
        (b) Skeletal System 36
        (c) Parenchymatous Organs 36
        (d) Alimentary Canal 37
        (e) Urinary Bladder 37
 
    (C) Miscellaneous Lesions 38
 
        (a) Parenchymatous Organs 38
        (b) Jaundice 39
        (c) Central Nervous System 39
        (d) The Pregnant Uterus 39
        (e) Summary 39
 
8IV. A Comparison between the Respiratory Lesions of Influenza and those Initiated by the Inhalation of Poisonous Gases with Special Reference to:— 40
 
    (A) The Inflammatory Response versus the Systemic Capacity to Compensate 40
 
    (B) The Primary Injury 41
 
    (C) The Tendency to Organization of Bronchiolar and Alveolar Exudates with Bronchiolitis and Bronchiolectasis as Sequelæ 42
 
    (D) The Importance of the Trachea and its Ramifications as a Protective Mechanism against Infection of the Pulmonary Parenchyma 42
 
V. Peculiarities of the Histology of Influenzal Pneumonia 44
 
    (A) The Extent of the Initial Pulmonary Lesion 44
 
    (B) The Hemorrhagic Exudate—The Relation of Red to Grey Hepatization 44
 
    (C) The Aplastic Exudate 45
 
    (D) The Hyaline Necrosis of the Pulmonary Tissue 46
 
    (E) The Organization Process 46
 
VI. Infection as a Possible Etiological Factor for Malignant New Growths 48
 
VII. The Bacteriology of Influenzal Pneumonia 49
 
    (A) Organisms Associated with Influenzal Pneumonia 49
 
    (B) The Relation of the Type of Organism to Pleural Involvement 50
 
    (C) The Relation of Different Organisms to the Type of Pneumonia 50
 
    (D) Summary and Discussion 54
 
VIII. Conclusions 55
 
IX. Bibliography 56
 
X. Illustrations 63

FIG. II. AUTOPSY NO. 98. DRAWING OF A SECTION THROUGH A TRACHEA SHOWING NECROTIZING HEMORRHAGIC INFLAMMATORY PROCESS OF THE MUCOSA.

9

INTRODUCTION

The epidemic of influenza, prevalent in Europe during the Great War, was watched with interest everywhere, not only because of its military importance, but also because of the danger of its spreading to other continents. The prediction that this would occur, made months before its realization, was verified on an even larger scale than had been anticipated, for in the autumn of 1918, this acute respiratory infection passed over the United States like a huge wave, taking a tremendous toll in human lives; later smaller waves followed leaving in their wake corresponding degrees of devastation. The first cases of the disease appeared on the New England coast, and New Haven was among the cities to be early invaded, though here the epidemic was somewhat less severe than in other cities along the Atlantic Seaboard.

Forewarned and alert to the danger, medical men spared no effort in studying the disease; as a result, no malady, perhaps, has ever been investigated so intensively and from so many different points of attack in an equal length of time. Proof of this appears in the abundant literature issuing from every quarter. Among the various contributions to this subject, many include the anatomical changes associated with the disease. In general, however, these are brief; and although they serve their special purpose well, they have not been elaborated sufficiently to close the chapter.

During a period of about three months beginning with September 18, 1918, while the epidemic raged and waned in New Haven, there were approximately eleven hundred cases of the disease admitted to the New Haven Hospital. As is so often true, only the more critically ill sought hospital care, and few, if any, patients affected by other respiratory infections are included in these statistics. The mortality here, as elsewhere, was very high; of two hundred eighty (280) cases that ended fatally, eighty-two (82) were investigated at the post-mortem table. An attempt was made to make the studies very complete, and this was favored since the headquarters of the Yale Army Laboratory School, under the command of Colonel Charles F. Craig, were located at the Brady Laboratory where a large number of men were being instructed in Pathology and Bacteriology. It was also fortunate that competent illustrators were available who made a splendid series of water-colors and drawings of the characteristic lesions, both gross and microscopic.

The number of autopsied cases at the New Haven Hospital was augmented by a series of acute fatalities from the same disease at the United States General Hospital No. 16, at Allingtown, West Haven, where the anatomical studies were carried on by the same group of men. The latter autopsies offered nothing new, but served to corroborate the conclusions reached at the New Haven Hospital.

The majority of the fatalities occurred in the acute stage of the disease, the anatomical aspects of which have been elaborated more or less completely.[1] Other cases survived for 10a longer period and in these, anatomical changes existed, which, as will appear later, were prognosticated from the acute lesions. Moreover, these findings suggested that certain progressive anatomical changes occur even when the disease runs a much less severe clinical course; for example, in cases where respiratory symptoms persist for a long period before they are brought to a fatal conclusion.

History, too, suggests such a chain of events; namely, in the record of the delayed crop of respiratory disorders that followed the harvest of the epidemic of ’90.

Previous studies of experimental pneumonia in normal and aplastic animals by one of the authors (160) give a background for the interpretation of the histology of some phases of this disease, but more important are the studies of the respiratory inflammatory processes initiated by the inhalation of toxic gases. This subject, introduced into human Pathology with the use of poisonous gases in modern warfare, necessitated elaborate investigations which have just been concluded (159).

The pathology produced by the inhalation of these poisonous vapors is analogous to that found in influenzal pneumonia. This is said with a full comprehension of the criticism that may follow such a statement, and with the knowledge that a similar analogy has been drawn between influenzal and plague pneumonia (Symmers, 141). It is, however, a criticism that is welcomed and which will be met in the body of the paper.

For the reasons just cited, it has seemed desirable to contribute to the Pathology of various phases of influenzal pneumonia and to attempt to correlate this with other types of acute respiratory inflammation, in the hope that the prognostications which suggest themselves may be of aid in the prophylaxis and possibly in the treatment of the more insidious and progressive pulmonary changes that may follow this disease.

A large part of the text is devoted to a description of the gross and more minute pathology of the respiratory tract associated with influenza and its complications, both in the acute and in the subacute or chronic stages. Incidental lesions of less importance in other portions of the body that have occurred in these cases are presented briefly, and emphasis is placed upon a number of special subjects. The order of discussion will be as follows:—

I. The Pathology of the Respiratory Tract in Influenza.

(A) Lesions of the Trachea and Bronchi.

(B) Lesions of the Lung.

(1) Acute Diffuse Fulminating Type.

(2) Localization and Necrotization of the Pneumonic Process.

(3) Organization of the Bronchiolar and Pneumonic Processes.

II. Influence of the Respiratory Complications of Influenza upon Tuberculosis of the Lung.

III. Extrarespiratory Lesions in Influenza.

(A) Lesions of the Hematopoietic System.

(B) Lesions of the Vascular System, Parenchymatous Organs, Alimentary Tract, and in the Walls of Other Hollow Viscera.

(C) Miscellaneous Lesions.

IV. Comparison between the Respiratory Lesions of Influenza and those Initiated by the Inhalation of Poisonous Gases with Special Reference to:—

(A) The Inflammatory Response versus the Systemic Capacity to Compensate.

(B) The Primary Injury.

(C) The Tendency to Organization of Bronchiolar and Alveolar Exudates with Bronchiolitis and Bronchiolectasis as Sequelæ.

(D) The Importance of the Trachea and its Ramifications as a Protective Mechanism against Infection of the Pulmonary Parenchyma.

V. Peculiarities of the Histology of Influenzal Pneumonia.

(A) The Extent of the Initial Pulmonary Lesion.

(B) The Hemorrhagic Exudate—The Relation of Red to Grey Hepatization.

(C) The Aplastic Exudate.

(D) The Hyaline Necrosis of the Pulmonary Tissue.

(E) The Organization Process.

VI. Infection as a Possible Etiological Factor for Malignant New Growths.

VII. The Bacteriology of Influenzal Pneumonia.

(A) Organisms Associated with Influenzal Pneumonia.

(B) The Relation of the Type of Organism to Pleural Involvement.

(C) The Relation of Different Organisms to the Type of Pneumonia.

(D) Summary and Discussion.

VIII. Conclusions.

IX. Bibliography.

X. Illustrations.

FIG. III. AUTOPSY NO. 90. DRAWING FROM A LESION OF THE TRACHEA (SOMEWHAT OLDER THAN THAT ILLUSTRATED IN FIGURE II). THE MUCOSA IS ENTIRELY LACKING. CONGESTION AND EDEMA ARE THE STRIKING FEATURES IN THE SUBMUCOSA. THE NECROTIZING PROCESS HAS EXTENDED INTO THE MUCUS GLANDS. THIS IS SHOWN IN THE LOWER PICTURE.

FIG. IV. AUTOPSY NO. 205. CONGESTION AND EDEMA OF THE SUBMUCOSA AND REGENERATION OF THE TRACHEAL EPITHELIUM.

FIG. VII. AUTOPSY NO. 94. A NECROTIZING PROCESS LIKE THAT OF THE TRACHEA ILLUSTRATED IN FIGURE II. HERE IT IS SHOWN TO INVOLVE THE WALL OF THE BRONCHIOLE.

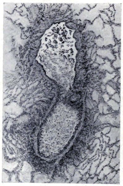
FIG. V. AUTOPSY NO. 95. AN EARLY LESION OF THE BRONCHIOLE CHARACTERIZED BY HYALINIZATION OF THE EPITHELIUM AND SEROUS EXUDATE IN THE LUMEN.

FIG. VI. AUTOPSY NO. 103. ILLUSTRATES ANOTHER EARLY BRONCHIOLAR LESION. THE EPITHELIUM IS LACKING, THE CONGESTED VESSELS OF THE SUBMUCOSA PROTRUDE INTO THE LUMEN WHICH CONTAINS DESQUAMATED EPITHELIUM, MUCUS, AND RED BLOOD CELLS.

PATHOLOGY OF INFLUENZA
13

THE PATHOLOGY OF THE RESPIRATORY TRACT IN INFLUENZA

If the atrium of an infection and its specific etiological agent are undetermined, the narrator of the pathology of a specific disease is confronted immediately with serious obstacles in the elaboration of a complete picture. Some writers assume that the respiratory tract is the portal of entry in influenza (162), though the specific agent is still unknown.[2] Whatever the agent, unquestionably it attacks the respiratory tract at a very early stage in the disease and produces a lesion which becomes responsible for the most serious aspect of influenza, whether this phase be primary or only a complication.

Among the lesions which will be considered, therefore, those of the respiratory tract chiefly will be emphasized. They include the changes in the large air passages, as well as the pulmonary, alveolar, and interstitial involvement. Unquestionably, a very close association exists between the lesions of the larger air passages and those of the alveoli, but probably it is equally true that the former may occur alone; in many instances also they are the forerunners of the latter lesions. Consequently, it seems logical to begin with an exposition of the lesions in the trachea and its ramifications, including the bronchioles.

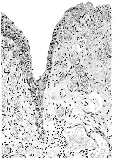
A. LESIONS OF THE TRACHEA AND BRONCHI

Gross Picture.

Early in the disease the congestion and the hemorrhages that have been described in the mucous membrane of the nasopharynx (14 and 94) are also conspicuous features in the lining of the trachea and bronchi (Fig. I). This membrane is swollen, turgid, red, and covered by a copious, mucous exudate which may be clear, but much more frequently is blood-stained or opaque and yellowish in color. The blood, variable in amount, may be fresh and red; and after the mucous exudate on the surface is removed, more intense red foci stand out on the congested base (47, 90, 157). Frequently, as the bronchi are approached, the red color of the mucosa becomes more intense and may have a garnet tinge. Membranes such as are encountered in the more usual necrotizing inflammatory processes, like diphtheria, have not occurred in the trachea and larger bronchi in this series (108, 128, 157).[3] The exudate peels off readily, and as indicated above, leaves a velvety red surface, 14dotted here and there with darker or more intensely red foci. Small ulcerations of the mucosa occur, but are inconspicuous (82, 156). As the finer ramifications of the bronchi are approached, the accumulation of the exudate in their lumina becomes more and more marked, and on cross section of the lung, they often stand out conspicuously on account of their increased size and projecting, seromucous, blood-stained content (101, 149, 162).

It is remarkable how long this picture in the trachea and bronchi may persist without showing any marked variation. It is encountered, not only in the most acute and fulminating types of the disease (that have been examined), but a similar picture may be present in cases which end fatally only after a period of weeks of severe illness. In the latter cases, however, the exudate, particularly in the bronchioles, assumes a more purulent character and after this accumulation is wiped away from the surface of the tube, the intensity of the dark red color of its lining membrane presents an even more striking contrast on account of the opaque, yellowish-green exudate in the lumen. At this stage, too, the bronchioles are more distended with pus, which oozes from each one when the lung is sectioned (1, 108, 110). In the cases still more chronic, the terminal bronchioles may be sharply outlined with a thick grey wall which surrounds the dilated opening from which the accumulated yellowish exudate oozes as soon as the pressure is relieved (Figs. XXXIX and XL).

Histological Picture.

The changes are less marked, perhaps, in the trachea than in its finer ramifications. The mucosa is constantly more or less destroyed and large areas, usually focal, are entirely devoid of their epithelial covering. This is replaced by a sparse exudate, composed largely of red blood cells, mucus, a small amount of fibrin, and nuclear fragments (Fig. II). It may dip into the submucosa for a short distance, but usually these indentures are associated with the ducts of the mucous glands into which the inflammatory reaction extends. A more striking feature than the exudate, however, is the edema and the congestion of the submucosa. The loose areolar tissue of the submucosa is spread widely apart, and throughout it distended blood vessels are very conspicuous. Occasionally such a vessel is broken and actual hemorrhage appears in the submucosa. Occasionally, too, the inflammation extends down the duct to the mucous gland itself, and here, also, aplastic inflammatory reaction is evident, inasmuch as the acini now stain intensely red with the cells undifferentiated from each other and specked here and there by broken remains of the dead nuclei (Fig. III). After the disease has continued for a short period, even at the end of five or six days, some regeneration of the epithelial lining may be seen (3) (Fig. IV). But despite this, the acute picture persists, and there goes on, side by side, an attempted repair characterized by epithelial regeneration and the same evidence of acute change. Since the lesion is essentially a superficial one, scars or contractures of any extent are not encountered in the trachea, even in examples of the disease that have ended fatally only after many weeks.[4]

FIG. VIII. AUTOPSY NO. 97. ALTHOUGH THE EPITHELIUM IS STILL VISIBLE AS A HYALINE BAND LIFTED FROM THE UNDERLYING MUCOSA, BOTH MUCOSA AND SUBMUCOSA ARE INVOLVED IN A NECROTIZING PROCESS. BACTERIA ARE ABUNDANT IN THE DEAD TISSUE.

FIG. IX. AUTOPSY NO. 105. THE NECROTIC EPITHELIUM IS INVADED BY POLYMORPHONUCLEAR LEUCOCYTES AND THESE, AS WELL AS ROUND CELLS, CAUSE A THICKENING OF THE BRONCHIOLAR WALL.

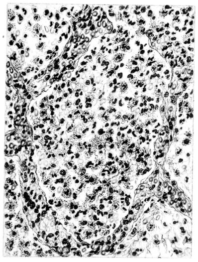
FIG. X. AUTOPSY NO. 106. THE SMALL BRONCHIOLE IS FILLED WITH PUS CELLS, WHICH, IN SOME PLACES, EXTEND THROUGH ITS WALL.

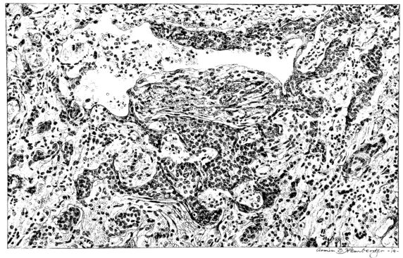
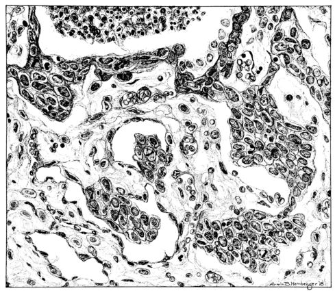
15There is considerable evidence to support the view that the disease spreads from bronchus to bronchus, and in keeping with this view, various stages in the inflammatory processes are more readily determined in these smaller structures than in the trachea. Furthermore, it must be emphasized that even the mildest and the most extreme of these stages are not infrequently encountered in the same lung. The earliest lesion is manifested by an increased homogeneity of the protoplasm of the epithelial lining of the bronchus. The cell protoplasm loses its normal granulation and the nucleus, somewhat darker than usual, becomes conspicuous on a red base (Fig. V). In the lumen of such a tube a serous exudate, perhaps mixed with mucus, is encountered, and there is some spreading apart of the surrounding muscular tissue with engorgement of the vessels. This picture merges gradually into one where the epithelium appears as a homogeneous, red-staining ribbon, devoid of nuclei, often exfoliated, in part at least, from the underlying submucosa (92). The change is traceable through the larger bronchi, even to the ducti alveolares, and not infrequently, bacteria, either as a diffuse, minute dotting or in the form of circumscribed, colony-like formations, are spread through the red, ribbon-like strand (Fig. XVI). With the exfoliation of the epithelial lining, the submucous vessels become more and more conspicuous and may bulge into the lumen of the tube (Fig. VI). That they actually weep into the lumen is proved by the presence of red blood cells in the exudate, now rich in mucus, broken-down nuclei, and desquamated cells. The necrotizing process may not extend deeper than the epithelial lining as is the status described above (140, 162), but it also frequently involves the underlying submucous and muscular layers, so that these lose their identity and stand out as homogeneous masses, in which fragmented nuclei and bacterial accumulations are prominent. Such deeper necrotizing areas may be focal (Fig. VII), or may involve the entire circumference of the tube (Fig. VIII). Occasionally, the epithelium, now dead and staining homogeneously, is lifted from the underlying submucosa in the form of a blister (66), and has very much the same appearance as the well known, early reaction which follows the application of croton oil to the rabbit’s ear. Where this occurs, the submucosa is less involved, as though the necrotizing agent had not penetrated to the same depth and the serous reaction beneath were actually a beneficent exudate. These blisters are in contrast with the deeper areas where the fibrinous mass, mixed with the dead tissue, forms an intensely staining ring or band, which extends through the bronchiolar wall even to the surrounding alveoli.

In the early stage of this process one of the most outstanding features is the absence of polynuclear leucocytes in the reactionary process, but gradually as the dead tissue sloughs away, these cells wander into the exudate and form a purulent ring, more intense in the lumen, but extending for a variable distance through the still viable wall of the structure (47) (Fig. IX). Later mononuclear cells accumulate in this wall and occur either as a diffuse mottling or as circumscribed foci in the muscle and submucous layer of the bronchiole, just as they do in the trachea. Occasionally, a striking change is found in a small bronchiole within a portion of the lung which is otherwise uninvolved by an inflammatory process. Perhaps the alveoli were the seat of a change which has subsided, but, whatever the history, the purulent mass in the bronchiole and involving its wall, stands out effectively (Fig. X).

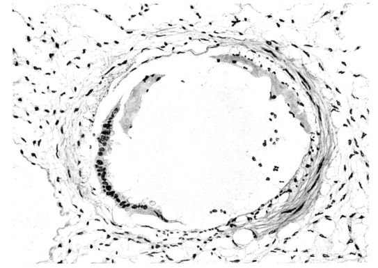
Sooner or later, with the subsidence of the irritating agent, repair begins in the bronchus or bronchiole. If its walls have been destroyed and the lesion has extended into the surrounding alveoli to form an abscess of greater or lesser extent, or if the necrotizing process has been superficial and confined to the epithelium in large part, the reparative process is very much the same. Mitotic figures in the fibroblasts and in the endothelial cells of the capillaries abound in the young granulations (Fig. XI). However, the granulation tissue does not have an unrestricted path of growth, for if a remnant of epithelium remains, this is stimulated to grow probably in this disease as in no other. Mitotic figures are common 16and the young epithelial cells stretch across the denuded submucosa or granulation (Fig. XLVIII) and extend downward into the surrounding alveoli, not only as strands, but also as solid nests of cells (47) (Fig. XLIX). The bronchioles, therefore, show changes dependent upon the extent of the damage suffered by their walls. The vast majority, in all probability, will be restored; but if the wall has actually been necrotized, the bronchioles may be converted into small, saccular, bronchiectatic cavities (48, 110, 162) (Figs. XII and L), or obliterating bronchiolitis may result from the organization of the exudate within their lumina (82) (Fig. XI). The importance of the epithelial proliferation cannot be ignored; in many cases, it invades the surrounding lung tissue and a typical, histological picture results—an infiltrating, malignant, epithelial neoplasm (Figs. XLVIII and XLIX).

Summary.

The lesions of the trachea and of the larger bronchi, even though they persist in their acute form for a period of weeks, are superficial and do not lead to extensive or deep scarring. In contrast to the larger respiratory passages, that portion of the bronchial tree which is not supported by cartilaginous rings becomes more and more intensely involved, not only on its surface, but in its deeper structures, and the changes in the bronchioles and the neighboring air sacs are among the more characteristic anatomical manifestations in this disease. Therefore, while it will be unnecessary to refer again to the larger air passages, further consideration of the smaller ones, which are constantly associated with the lesions of the pulmonary parenchyma, will be included in the subsequent discussion of the pulmonic involvement.

B. LESIONS OF THE LUNG

In the prosecution of the scientific study of any disease, the great temptation is to differentiate its various manifestations with the intention of elaborating a classification. While there may be more or less distinct types of pulmonary involvement in influenza, so many intermediary forms appear in an extensive series of cases, that any classification must necessarily be arbitrary. Here, such an attempt at classification is beset with unusual difficulty, because, in the vast majority of cases which come to anatomical observation, the disease is fulminating. The lesions are more uniform in character than in an experimental study where the material is arranged so as to include intermediary and chronic stages, which in man are only encountered when accident causes death. These gaps in the study cannot be supplemented with experimental observations, because attempts to reproduce this disease have failed, even in human subjects. From the literature it appears also that variations in the extent, and perhaps in the maturation, of the anatomical involvement may be represented in different proportions for different localities (1, 2, 17, 55, 92, 162). Therefore, no sharp differentiation may be drawn between the more or less definite stages which are seen at the post-mortem table; still, for convenience of description, certain of the lesions which occur more frequently and are more widely differentiated may be considered separately.

The disease, as has been indicated, may be confined to the bronchial tree. In these circumstances, it is almost necessary to suppose that the larger bronchi alone are involved. When the delicate bronchioles are affected, there is always a more or less extensive involvement of the pulmonary parenchyma (124), for the bronchioles have a more direct communication with the alveoli, and their walls present a less formidable barrier to the extension of the inflammation to the surrounding air sacs.

FIG. XI. AUTOPSY NO. 140. ILLUSTRATES A LATE CHANGE IN THE BRONCHIOLE; THE EXUDATE IS BEING ORGANIZED AND THE EPITHELIAL LINING IS PROLIFERATING AND HAS INVADED THE SURROUNDING LUNG TISSUE. COMPARE FIGURES XLVIII AND XLIX.

FIG. XII. AUTOPSY NO. 209. A SMALL BRONCHIECTATIC CAVITY FILLED WITH PUS. THE GROSS APPEARANCE IS ILLUSTRATED IN FIGURE L.

FIG. XIII. AUTOPSY NO. 96. RIGHT LUNG. A WATER COLOR DRAWING OF A GROSS LUNG IN THE ACUTE STAGE. NOTE THE SIZE OF THE LUNG, THE HEMORRHAGES ON THE PLEURAL SURFACE, AND THE BLUE AREAS OF CONSOLIDATION.

17Clinically, there is reason to believe that the disease may begin with a period of general malaise, during which the respiratory symptoms may be more or less severe. In the fulminating cases, the malaise may be associated from the beginning, not only with a tracheobronchitis, but also with pulmonary involvement. In less severe types the malaise may be accompanied only by tracheobronchitis, and may present no symptoms referable to the pulmonary parenchyma; there may follow or not, a definite period of clinical improvement, after which pneumonic involvement becomes evident. However, even where a fulminating type of the disease is not associated with clinical evidence of pulmonary involvement, the post-mortem examination may show extensive change in the lung parenchyma (110).

Whether this grouping of the disease is correct or is based upon a fallacious deduction from more or less satisfactory clinical histories, is open to question; and a decision may be reached from comparison of the opinions based upon carefully observed cases treated in different institutions. From the report of the epidemic at the Johns Hopkins Hospital (Bloomfield and Harrop (14)), where two hundred sixty-eight cases were studied in which the complication of pneumonia was uncommon as compared with cases in other hospitals—the New Haven Hospital, for instance—and where the percentage of the deaths was low, the conclusion was reached that the disease is primarily a general one and that the pulmonary involvement is secondary, just as in an exanthem, like measles. By way of comparison, at the New Haven Hospital, where more than eleven hundred patients with influenza were observed, the type of disease described by Bloomfield and Harrop was relatively rare. Of course, there were cases of that type where general malaise, with or without respiratory symptoms, was followed by a period—usually of from two to three days—of definite improvement in the symptoms; and later extensive and serious pulmonary complications ensued. However, in another group, largely composed of individuals who entered the hospital seriously ill, the histories indicate an acute onset resembling that of lobar pneumonia and with early manifestations of pulmonary involvement (2, 17, 52, 145). This discrepancy, probably, may be explained in part by variations in the sensitivity to minor indisposition on the part of the different individuals.

The preceding review should aid in the correlation of the clinical types of the disease with the respiratory lesions. All pulmonary lesions, from the least to the most localized, may be explained either by a subsidence of a less acute initial and diffuse involvement of the parenchyma, or by a less rapid and progressive spread of the necrotizing and inflammatory process from the upper respiratory tract through the bronchioles to the alveoli. This conception does not take into account the significance of the period of malaise, interpreted by the clinician as the period of invasion, but attempts to correlate the respiratory symptoms with the pulmonary lesions and their etiology.

Our own experience, like that of other observers (26, 104, 162), is that all fatal cases of this disease show pulmonary involvement in the form of pneumonia. The lesion varies greatly in intensity and in the amount of pulmonary tissue affected. In the descriptions which follow, the more diffuse and intense processes will be discussed first, and later those in which the inflammation localized and terminated in pseudolobar, lobar, lobular, or peribronchial pneumonia.

18

(1) ACUTE DIFFUSE FULMINATING TYPE OF PNEUMONIA

The majority of influenzal deaths have been examples of this acute type. Out of ninety-five cases, the total number studied, forty-four belong to this group in which the average duration of illness was nine days. They form the basis of the description which follows.

Gross Picture.

A striking feature of the external examination of the body is the intense rigor which involves all the muscles and is broken only with difficulty (78). This is associated with a rapid settling of the unclotted blood in the dependent parts which gives them an intense blue or bluish-purple color. The erythema of the skin which has been described clinically is not recognizable at the post-mortem table. There is, however, cyanosis of the face which reaches an intensity explained by the fact that this disease so often affects healthy, well nourished, muscular individuals. In a few instances the cyanosis is more extensive and gives a plum color to the entire body. All the mucous membranes share in the intense congestion and discoloration of the face. Slight jaundice is common, but marked variations in intensity occur. The external nares and the lips are almost invariably covered with blood-stained crusts. Even in the decubitus position, a thin, sanguinous fluid tends to escape in large quantities from the nose and mouth. The large veins of the neck are usually prominent, and the chest voluminous.

Distinct splanchnic engorgement is evident as soon as the peritoneal cavity is opened. The liver extends below the costal margin and is dark in color, but otherwise the abdominal cavity presents nothing characteristic of the disease. The diaphragm does not extend as high as usual, and the pleural cavity almost invariably contains an excess of fluid. Usually the quantity is small, but, on the other hand, it may be considerable, and in twenty-one of the forty-four cases the fluid exceeded one hundred cubic centimeters. The turgidity of the mediastinal tissues varies somewhat in degree (27). Generally the pericardial sac is smooth and glistening on both visceral and parietal surfaces; the pericardial fluid is not materially changed. Frequently (seventy per cent) there is dilatation of the right side of the heart (138, 141, 157), but aside from an occasional small endocardial or subepicardial hemorrhage (90, 108, 156), there are no lesions of consequence in the heart attributable to this disease[5] (162).

FIG. XIV. AUTOPSY NO. 96. LEFT LUNG. NOTE ITS SIZE AND THE PATCHY CONSOLIDATION.

FIG. XV. AUTOPSY NO. 149. ILLUSTRATES ONE OF THE MOST STRIKING EARLY PULMONARY LESIONS; THE DILATATION OF THE TERMINAL BRONCHIOLES AND THE HYALINIZATION OF THEIR EPITHELIUM. COMPARE FIGURE XVI.

FIG. XVII. AUTOPSY NO. 133. HYALINE THROMBI AND NECROSIS OF THE ALVEOLAR WALL. COMPARE FIGURES V, XV, XVIII, XIX, XXXI AND XXXII.

19The lungs are extremely voluminous (12, 17) due in part to an accumulation of liquid within them. This finds its way into the trachea and completely fills the latter structure with blood-stained, syrupy fluid, with purulent material, or with a mixture of these (2, 90, 107, 157, 162). At first the pleural surface is smooth and often quite even, but on closer inspection, a minute granulation is suggested. In many cases even close examination does not allow the conclusion that an exudation of anything but serum has occurred through this membrane, except in localized foci. These foci more frequently involve the interlobar pleura and that of the lower lobes (112, 143). The volume of the lungs, often great enough to obliterate the pericardial area, is one of the two most characteristic features of the external examination. The other feature is their color. Small, bright red hemorrhages may occur anywhere. The larger patches are the most striking. Violet, purple, or dark brown areas, irregular in shape and distribution, are more frequently found on that portion of the pleura over the lower two-thirds of the lung. Between the deeply colored zones, there are pale pink areas which involve the lowermost edge to the least degree, the anterior margin somewhat more, and the apex of the lung most of all. The darker portions just referred to may project above the surface and may be circumscribed, resembling huge, fresh hemorrhagic infarcts (41, 108). The alveolar walls are not seen through the pleural surfaces in these darker zones. The pale pink areas, usually at the level of the more intensely colored zones, may be elevated and the dilated air sacs are distinctly made out through the pleura (Fig. XIII). At the hilum, the lymph glands are large and soft. When cut, fluid escapes and is often blood-stained. The cross section may present a distinct, diffuse, hemorrhagic appearance (162). At the hilus, too, the lymphatics, distended here and there over the surface of the pleura, are most affected. The congested bronchial mucous membrane and the exudate in these structures has been described.

After removal, the lung retains its shape, but is more flaccid than the consolidated lung of lobar pneumonia. It cuts with very little resistance and immediately a large amount of a syrupy, pink fluid escapes and obscures the entire area. With the fluid scraped away, the variations in the consistency of the lung become visible. The pale areas around the borders and chiefly at the apex in which the air sacs are discernible with the naked eye, sink slightly below the remainder of the surface, and the pleural edge inverts. The individual lobules of the lung in these areas are more conspicuous than normal, because the interstitial tissue bearing the lymphatics and vessels, as well as that around the bronchi and larger blood vessels, does not lose its edematous appearance as quickly as the alveoli (40, 92, 110, 164), and, consequently, these grey lines and points stand up somewhat more prominently.[6] In contrast with the paler areas which are prone to slight collapse, the remainder of the cross section retains its more smooth and even surface. The alveolar walls are not distinctly made out, but the terminal bronchioles often make themselves evident by the nature of the material which is within and by their distinct dilatation (1, 67, 110, 149, 162). The more firm areas stand out, too, on account of their difference in color. The scheme is not unlike that seen on the pleural surface, and while dark, almost black, infarct-like areas occur on the cut surface, the solid areas are more likely to be translucent, dull, light red, brown or even grey. They have a surface similar to a very fresh, tuberculous, gelatinous pneumonia, but the color differs from the cloudy grey of the latter on account of the admixture of blood in the exudate and the great congestion of the vessels (Fig. XIV).

Summary.

The well developed post-mortem muscular rigidity, the lividity of the dependent parts, of the face with its mucous membranes, and often of the trunk, the jaundice variable in extent, the crusts of blood on the nares and mouth, and the splanchnic dilatation are features which prepare for the gross picture presented by the thoracic organs. The increased moisture within the pleural cavities associated with the even, translucent pleural surface, whose dilated lymphatics become more and more prominent towards the hilum, the large succulent lymph glands, and the exudate in the bronchial tree, are all striking, but more characteristic of the gross picture, is the great increase in volume of the lung itself, mottled 20with brilliant colors. The lung, too, is very wet and on section, after the syrupy, blood-stained fluid escapes from the less definitely consolidated zones, the latter appear, not as the usual granular, firm areas of hepatization, but have more the consistency of a gel, and also its translucence. Characteristic of this disease as these changes may be, the specificity of the fundamental lesion in the respiratory tract, becomes more emphatic after study of its histology (92, 162).

Histological Picture.

No matter what the portion of the lung from which the sections are derived, the fundamental changes found are the same. The subpleural sheets are spread wide apart, now by empty spaces, now by coagulated fluid. The process extends from the surface through the interlobular septa (Fig. XX), and is accentuated where the connective tissue is more prominent around vessels and bronchi. The nature of the infiltrate in the subpleural and interstitial tissues becomes more evident in the alveoli, which likewise are filled. The material varies somewhat in appearance, probably dependent upon its proteid content. Not infrequently the alveoli contain a homogeneous, pink-staining mass, which resembles the colloid of the thyroid gland. Again, it may be simply a coarse granular precipitate (Fig. XXIII), and in still other instances, small sticks and strands form the bulk of the alveolar content (47, 92, 140, 156). This subpleural, interstitial, perivascular, peribronchial, and alveolar edema, which is a term applicable to this collection of fluid, is very prominent, and although its intensity varies in different portions of the lung; and although it may be replaced in some areas by other types of exudate, unquestionably, this is the dominating expression of the inflammatory process in the early stage of the disease.

As might be expected from the gross appearance, the alveoli vary in size. At times slightly collapsed and at other times overdistended, their lumina are still the seat of the inflammatory exudate, although the mechanical change may allow of some variation in the appearance of their walls. As a rule, however, the alveolar wall is prominent and owes its conspicuousness to the tortuous, engorged vessels within. These vessels contain red blood cells almost exclusively, and on account of the partial, occasionally complete, loss of the lining epithelium, the alveolar wall appears as a huge, dilated arteriole (101) separating the lakes of coagulated material in the spaces (Fig. XXIII). There are areas, as indicated above, where the alveolar content may be more definitely arranged in the form of beaded or homogeneous strands of different caliber; the smallest resemble delicate threads. They tend to converge toward the alveolar wall like wheat in a sheaf, and often pass through this wall by way of the so-called pores of Cohn; as soon as the body of the neighboring alveolus is reached, they again present a fan-like expansion into innumerable, fine strands (Fig. XXII). Where the exudate is more fibrinous, the alveolar wall is less likely to be distended, its vessels are not so prominent, and their content of red blood cells is definitely decreased. Still this is not the most extreme type of alveolar exudate met with at this stage. Perhaps, the most striking, although not the most frequent, exudate has a superficial resemblance to a huge, red blood clot, and it may be difficult to make out the alveolar walls separating the masses of well preserved red blood cells that fill the alveolar spaces. These areas are indistinguishable from infarcts and may be associated with thrombotic arteritis in near-by pulmonary vessels (47) (Figs. XXIV and XXV). Among the red blood cells an occasional strand of fibrin, a desquamated alveolar epithelial cell, and rarely a polymorphonuclear leucocyte may be encountered. The alveolar wall itself varies in the definition of its outline. When its vessels are greatly distended, when its alveolar epithelium is gone, and when its content consists largely of red blood cells, it is difficult to distinguish from the exudate which it encloses. However, when it is more compressed or when its epithelial lining cells are still more or less intact, it may be seen as a blue-staining strand under the low power of the microscope, for the well preserved nuclei lend it prominence.

FIG. XVI. AUTOPSY NO. 112. BACTERIA DEVELOP IN THE HYALINE NECROTIC EPITHELIUM OF THE TERMINAL BRONCHIOLES. HERE THEY FORM CIRCUMSCRIBED MASSES THAT SIMULATE NUCLEI. COMPARE FIGURES V, VIII, XV, AND XVII.

HELIOTYPE CO. BOSTON

FIG. XVIII. AUTOPSY NO. 155. ILLUSTRATES A MILD FORM OF PULMONARY INTERSTITIAL EMPHYSEMA.

FIG. XXII. AUTOPSY NO. 175. AN ALMOST PURE FIBRINOUS EXUDATE. THE ALVEOLAR WALLS ARE SLIGHTLY HYALINIZED AND THEIR EPITHELIUM IS ALMOST ENTIRELY LACKING.

21There are, of course, variations in the extent of the serum, the fibrin, and the hemorrhage in the exudate of the alveoli, and while these different types may occur as pure forms, often they are associated. In still other areas and varying in prominence, one finds as characteristic an exudate, not only of serum, strands of fibrin, and red blood cells, but also a diffuse dotting of the exudate with bacteria, singly, in pairs, clumps, and chains (92, 164) (Fig. XXI). This type of reaction is uncommon in pulmonary disease. It resembles more closely a streptococcus cellulitis such as is encountered frequently in the subcutaneous tissues, for example, a woody phlegmon, or a sero-hemorrhagic exudate like the avirile response to a rapidly fatal hemolytic streptococcus serositis. A similar reaction has been reproduced experimentally in animals which have been rendered aplastic with benzol previous to pulmonary insufflation, and it is conceivable that the lack of polymorphonuclear response in the inflammatory exudate may be associated with some such general destruction or temporary suspension of leucocytic formation (160).

A more striking picture, however, even than this aplastic alveolar exudate appears in the terminal bronchioles. In many instances, these are conspicuous on account of their size, for they are dilated to form prominent, often irregular, sacs (Fig. XV). The distention of these terminal bronchioles may be so great that the surrounding alveoli are compressed. What makes them even more conspicuous is their lining, once epithelium, but now a swollen, thick, homogeneously staining material, with complete loss of architecture; the material forms (with hematoxylin and eosin) a red band limiting the lung tissue and sharply demarcating it from the exudate within the bronchioles (48, 92). However, this ribbon of red, often thickened by fibrin deposition, is not always pure, for bacteria thrive in the dead tissue. They occur singly, paired, in chains, and also as circumscribed, dense masses which in size and position, simulate nuclei (162) (Fig. XVI). This same hyalinization of the epithelium, it will be recalled, occurs in the larger bronchi (Fig. V), and there, too, bacteria frequently develop in the dead tissue (Fig. VIII). In the smallest bronchiolar ramifications, acute epithelial necrosis is not infrequently encountered, even when the surrounding lung tissue is relatively normal (Fig. XVI). That the process does not stop with the epithelium, but, as in the larger bronchi, may extend through the entire structure of the bronchioles, is manifest. Even the alveolar walls may be involved and frequently homogeneous pink or red bands, now the phantom of the former viable lung tissue, mark the presence of the old wall of the alveolus (Fig. XVII). Occasionally, some architecture remains in this pink ribbon and then the involvement seems to be primarily in the vessels of the wall. Not all the vessels are involved, and next to a hyaline thrombus in one, there may be fresh blood, usually red blood, in its neighbor. The alveolar epithelium is usually denuded and thus accentuates the intensity of the change.

The acute death which involves the tracheal, bronchial, and bronchiolar epithelium and which may extend beyond the epithelium into the walls of these structures and kill en masse the walls of the alveoli, is a lesion which does not occur in other types of acute pulmonary infection. However, in influenza, as after exposure to pulmonary irritating gases, it is the lesion of characterization (158,159). The effects of this change, of course, where it involves 22the alveolar wall, will vary with the extent of the process; but given an absolutely necrotic wall, as yet unstrengthened by inflammatory reaction, an expected result would be its rupture with respiratory movement. The point of rupture is important, but where so many alveoli are involved, disturbance of continuity will occur, occasionally in such position that the result will be the escape of air into the interstitial tissues.[7] There is ample evidence that this happens. Indeed, among the clinical manifestations of the disease, interstitial emphysema of the lung spreading through the fascial planes to the subcutaneous tissues of neck and thorax is well known; the phenomenon is more frequent and extensive in influenza than in any other disease (8, 17, 52, 143).

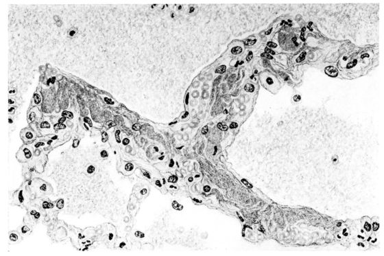
Interstitial emphysema is very striking at the post-mortem table. The escaped air appears as beads along the interlobular septa, but on account of their size they are always most conspicuous between the lobes and along the vessels toward the hilum (162) (Fig. XVIII). Histologically, a small bubble of escaped air confined to the interlobular septum compresses the surrounding tissue with almost complete atelectasis of many neighboring alveoli (Fig. XIX).

Summary.

The diffuse involvement of all the lung tissue, chiefly with a serous exudate in the subpleural, interstitial, perivascular, and peribronchial tissues, as well as in the alveoli, is associated with other elements which occur in aplastic reactions; red blood cells, fibrin, and bacteria. Added to the aplastic exudate is an acute necrosis of bronchial and alveolar epithelium involving at times the walls of these structures; consequently, the histology of this disease is almost as specific as that of any biological reaction.

(2) LOCALIZATION AND NECROTIZATION OF THE PNEUMONIC PROCESS

In the preceding description, the gross and microscopic anatomical changes in the lung have been discussed minutely. The picture presented persists, even though it becomes less intense, and forms a background upon which later variations may be superimposed. There is no justification for the opinion that the changes described are necessarily the most acute, but it is presumably correct to suppose that an aplastic, inflammatory reaction will terminate fatally more quickly than a cellular reaction (160), and upon this basis the sequential description in this narrative is arranged.

In the group of fatal cases of influenza, now to be discussed, the lesions of the pulmonary parenchyma are characterized by more definite lung consolidation. Thirty-nine examples presenting an average illness of ten days are included in the following description.

Gross Picture.

The external examination of the body includes nothing not described in the previous group.

FIG. XIX. AUTOPSY NO. 123. A SMALL AIR BUBBLE IN THE INTERSTITIAL TISSUE. COMPARE FIGURE XVIII.

HELIOTYPE CO. BOSTON

FIG. XX. AUTOPSY NO. 90. THE ACUTE SEROFIBRINOUS EXUDATE INVOLVES NOT ONLY ALVEOLI, BUT ALSO SUBPLEURAL AND INTERLOBULAR BANDS OF CONNECTIVE TISSUE. COMPARE FIGURES XXI, XXII, AND XXIII.

HELIOTYPE CO. BOSTON

23The fluid of the pleural cavities varies volumetrically as described in the preceding section. It is, however, usually not a clear fluid, but varies from a slightly turbid, blood-stained material to a typical purulent exudate. The cloudiness may be associated with minute flecks of suspended material, but in no instance has this fluid been of the thick inspissated type which formerly would have been designated as empyema.[8] (This is mentioned with the knowledge that the term empyema is being applied now to less viscid, purulent, pleural exudates). The turgidity of the mediastinal tissue also persists, but it is very rare indeed to find anything more than a small amount of clear fluid in the pericardial sac. Only once was there a typical, fibrinous pericarditis with effusion, and this occurred where a most extensive pleural exudate was also present.[9] Where such complications have been described in serous membranes, the bronchial lymph glands, particularly at the hilum of the lung, are more involved and show, not only an increase in size and a red color on cross section, but frequently also focal areas of necrosis at the periphery, which appear as yellow patches and subsequently undergo suppurative disintegration (2, 47).

The lung remains increased in volume and its surface is mottled with vivid colors. Often these are an indication of deeper parenchymatous change. The pale pink zones, through the pleural surface of which distended alveoli are discernible, are still prominent in the upper lobe, around the margins, and on the anterior surface of the lung. The darker purple, slightly elevated, often circumscribed, infarct-like areas (25, 34, 108) may occur anywhere, but are more frequent in the lower lobes. Small, maroon, slightly depressed areas of atelectasis may also involve the borders of the lung, usually the posterior borders; or they may occur between larger and more elevated areas on either lobe. Besides the purple, firm, projecting foci, paler pink or grey nodules of similar consistence may be present and show no structure when viewed through the pleura. The distribution of the different types of change is variable, and, aside from the fact that they involve the middle and lower lobes more frequently than the upper, no general statement is possible. In a few instances, one lobe, almost always the lower, may be more voluminous than the others, and although its pleura often suggests lobular involvement, the masses tend to be confluent and suggest a pseudolobar change. Sometimes, though rarely, this approaches a true lobar type of consolidation. (Compare Figs. XIII and XXVII.) Occasionally, the changes in the lung, except its increase in size, are obscured by pleural exudate which may form a thick, buttery, rather sticky mass on the surface (12, 19, 157) (Fig. XXXVII). Such pleural exudates are rare, and likewise it is uncommon to find so little pleural granulation as in the previous group. The roughening, as a rule, is not uniform, but is more prominent over the lower lobes and in the interlobar spaces than elsewhere. It may occur when there is no definite increase in the fluid content of the pleural sac.

The lung, now sectioned, presents a surface in accord with the changes suggested from the description of its external appearance. As compared with the first stage the amount of syrupy, blood-stained exudate may be definitely decreased, especially in the upper lobe or in those portions of the lung where the solidification is less marked. Its character, too, may be more cloudy, and more ropy, or viscid; it bathes the surface and is scraped off in abundance with the blade of a knife from the underlying consolidated foci (108, 156). The bronchi and bronchioles, however, may be prominent, irrespective of the change in the parenchyma itself. From their lumina, thick, yellow pus wells forth and their mucous membrane is intensely congested. Where such involvement occurs in unconsolidated portions of the 24lung, the bronchioles are even more striking than in the hepatized areas in which the more widespread changes obscure the process. The dilatation of the bronchioles, especially in their smaller ramifications, is still conspicuous.

The consolidated areas vary greatly in size and number;[10] often they are small and involve only single lobules, which now stand out as granular, generally elevated patches on the surrounding congested plane. Their color, as on the pleura, varies. They may be dark, almost hemorrhagic, fading through the reds, pinks, and greys. They may be firm, or, at the other extreme, honeycombed by small, often narrow, cavities, from which a material similar to that described on the surface wells forth. The latter change is more frequent if the consolidated area is large. It has occurred most often in the pseudolobar and in the lobar types of the process. The pseudolobar change is differentiated, not only by the confluence of more or less definite lobular patches and by its involvement of portions of contiguous lobes rather than a single lobe, but also by variations in the color and consistence of the different lobular foci. This is in contrast with lobar involvement where the entire lobe is affected by a uniform process usually at the same stage of development. Although the consistence may vary in different portions, usually the same color is present throughout. (Compare Figs. XIV and XXVIII.) In one instance where a solid, yellow lobe was found, its center contained an irregular, fresh blood clot (Fig. XVIII), which would be sufficient to differentiate this type of consolidation from that of respiratory disease in which the initial lesion is less destructive. Sometimes the softening in a hepatized lobule or group of lobules is much more evident, and the zone becomes divided by irregular channels filled with viscid, grey or brown material (108, 149, 162). When such a condition lies just beneath the pleural surface, it may be distinctly seen from without (Fig. XXXIII). The pleura bulges, the normal topography of the local zone is lost, and it appears as a dull, somewhat projecting, circumscribed patch, two or three or more centimeters in diameter, the surface of which has a more or less characteristic brown or brownish black opacity. As soon as this is sectioned there pours from the cavity the liquefied exudate in which the destroyed pulmonary parenchyma is mixed (Fig. XXXIV). Occasionally, strands of tissue still traverse the cavity, but, as a rule, it empties itself completely, and leaves a brownish black wall. The delicate, sweet but persistent and penetrating odor is not so marked as with typical gangrene.

Histological Picture.

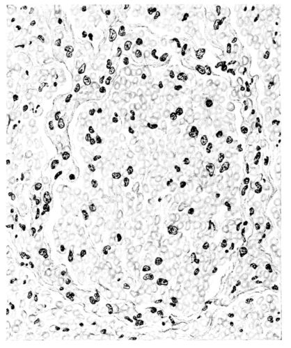
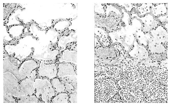
Sections from the least involved areas of the lung show a subsidence of the alveolar exudate and the walls are no longer intensely engorged. Perhaps the most prominent feature within the alveoli is the desquamated cells, presumably alveolar cells with broken or pyknotic nuclei. Despite the fact that so many cells of this type occupy the lumen of the alveolus, its wall has a prominent lining of cubical epithelium. Often mitotic figures abound in this new alveolar epithelial lining (Fig. XLVII), an evidence of rapid regeneration in that portion of the lung where the initial irritative process has subsided and where the destruction has not been as deep as elsewhere (79). This picture may be taken as positive evidence of an initial, diffuse, and general pulmonary involvement, which, with the subsidence of the primary reaction, is followed by localization resulting in the different types of consolidation now encountered.

FIG. XXI. AUTOPSY NO. 95. A TYPICAL APLASTIC ALVEOLAR EXUDATE COMPOSED Of RED BLOOD CELLS, FIBRIN, AND BACTERIA. COMPARE FIGURES XX, XXII, AND XXIII.

HELIOTYPE CO. BOSTON

FIG. XXIII. AUTOPSY NO. 175. NOTE THE ABSENCE OF ALVEOLAR EPITHELIUM, THE ENGORGEMENT OF THE VESSELS OF THE ALVEOLAR WALLS, AND THE SEROUS EXUDATE.

FIG. XXV. AUTOPSY NO. 92. THE EXUDATE CONSISTS ALMOST ENTIRELY OF A MASS OF RED BLOOD CELLS. THE DESQUAMATED ALVEOLAR EPITHELIUM IS SCATTERED THROUGH THE HEMORRHAGIC EXUDATE. COMPARE FIGURES XXIV AND XXVI.

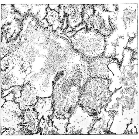
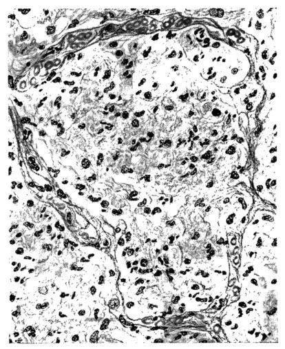
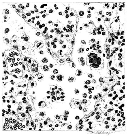
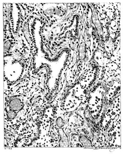
25However, in such areas of slight change, the bronchi and bronchioles may be distended and filled with polymorphonuclear leucocytes, exfoliated epithelium, and bacteria (Fig. X). It is, of course, possible that infection of the parenchyma may recur from these sources. Here the extent of involvement of the bronchiolar wall is variable and analogous to those described previously. Occasionally, too, where the alveolar change has subsided, the interstitial tissue, particularly that which divides groups of neighboring lobules, may retain its increased size with fibrous tissue framework spread apart by exudate and punctuated with an occasional circumscribed purulent mass (92, 95, 110, 156) (Fig. XXXVI). Such a miliary abscess within the lymphatics of the interstitial tissue may compress the neighboring air sacs, themselves entirely free of inflammatory involvement. That these strands of interstitial tissue, the conduits for the lymphatics, are important barriers against the spread of an inflammatory process from lobule to lobule by direct extension, is evidenced by the extreme variation in the amount and type of involvement in neighboring lobules (Fig. XXX). This variation is repeatedly encountered and the band of interstitial tissue, often prominent on account of its edema, separates these lobules the more clearly. In all probability, the sharp demarcation of the lobular consolidation as described in the gross picture depends upon the change in the interstitial tissue which tends to localize the infection (93). This fact suggests that the process within the pulmonary parenchyma spreads along the bronchial tree rather than from lobule to lobule.

Sections from those areas of the lung where the involvement is more marked may show a histological picture not unlike that described for the aplastic stage, but, in addition, there are groups of lobules where the exudate is typically purulent and pus cells not only form the greater part of the exudate in the lumen, but are prominent in the distended vessels of the alveolar wall (Fig. XXIX). Often these leucocytes are multilobed and frequently their protoplasm is granulated with phagocytized bacteria. The bacteria are also encountered free in the alveolus along with other elements; namely, red blood cells, strands of fibrin, or precipitated albumin (Fig. XXI). The bacteria, however, are not particularly conspicuous, for generally they are either single, in pairs, or in chains; and it is only when they become clumped to form large masses, often larger than any normal tissue cell, that they attract attention. When this appearance is encountered, the alveolar wall is no longer distinct and well preserved. Although the wall may still be made out, it often stains rather homogeneously and much of the finer architecture is lost in the thrombo-necrotizing process that has been instituted (Fig. XVII).

From this intermediary stage the picture of actual abscess with mortification of bronchiolar and alveolar tissue, as well as of the exudate itself, is readily approached (25, 48, 110, 140) (Fig. XXXI). In the necrotic mass that forms the center of such a focus, the most prominent feature is the bacteria. With hematoxylin they stain intensely as black, 26irregular masses, and their prominence is accentuated by the homogeneous staining qualities (with eosin) of the dead tissue, whether lung or exudate (Fig. XXXII). These abscesses may have central cavities which represent a discharge of their contents and may indicate the position of a bronchiole (Fig. XXXI). The necrosis of the alveolar walls, focal in its distribution as previously described, suggests itself as a forerunner of the more extensive necrosis encountered at this stage.

The most extreme form of mortification is seen in the wall of a gangrenous cavity, and several layers can be distinguished there. Beginning with that portion of the lung the least involved, the lesion may be limited to congestion of the alveolar wall with a serofibrinous exudate in the lumen, but this stage passes rather rapidly into another where cellular exudate, chiefly of polymorphonuclear leucocytes, predominates. Moreover, the leucocytes form not only the bulk of the alveolar content, but also distend the vessels and accumulate in the interstitial tissue around blood vessels and lymphatics. Passing toward the center of the gangrenous cavity, the lung rapidly changes in appearance. The blue zone of leucocytic infiltration makes more conspicuous the inner area of necrosis—where nuclei no longer stain and the alveolar wall is a homogeneous pink.

Gradually this phantom architecture, spotted only here and there with disintegrating polymorphonuclear leucocytes, ends in a ragged compressed border of a shaggy pink material which has no identifying qualities (Fig. XXXV). In the inner zone of pink an occasional vessel or, at times, a bronchiole more resistant to the process remains; frequently it is accentuated by the presence of partially destroyed polymorphonuclear leucocytes at its periphery. Probably these cells invade the necrotic areas along the sheath of the bronchus or vessel and not across the dead area. The thrombotic process described in the previous stage (Fig. LII) associated with an acute arteriolitis, may be associated with these gangrenous areas as well as with infarcts (82), but more likely gangrene is preceded by the acute diffuse necrosis of the alveolar wall which occurs in the fulminating cases. Furthermore, this is suggested where a typical grey hepatization is associated with marked thinning, but not actual disappearance, of the alveolar wall. Before concluding the description of this stage of the disease, mention should be made of the granular nodules of fibrin superimposed upon the swollen pleural cells and also of the older pleural exudate, either typically fibrinopurulent or more homogeneous with broken nuclear fragments (Fig. XXXVIII).

Summary.

In this stage of the disease the respiratory change is characterized by a localization of the inflammatory process with cellular invasion of the exudate. Pneumonia results, varying in extent from peribronchial to lobar, a pneumonia in which one of the most frequent complications is necrosis of the lung. Consequently, abscesses, even gangrene, are found.

(3) ORGANIZATION OF BRONCHIOLAR AND PNEUMONIC PROCESSES.

The processes described for the preceding group which involve not only the alveoli, but also the bronchi and the bronchioles, were predicted from the extensive hyalinization of these structures—a characteristic change in the more fulminating and acute phases of the disease. Likewise, it can be predicted that where death does not terminate the process such lesions will be followed by organization, which, by converting the exudate into scar, will produce deformities and offer serious mechanical interference with the ingress and egress of alveolar air and similar interference with the flow of blood through the pulmonary circulation (82).

FIG. XXIV. AUTOPSY NO. 92. AN ALMOST PURE HEMORRHAGIC ALVEOLAR EXUDATE. COMPARE FIGURES VI, XXV, AND XXVI.

FIG. XXVI. AUTOPSY NO. 103. THE LARGER ILLUSTRATION OF AN HEMORRHAGIC ALVEOLAR EXUDATE IS ELABORATED BY TWO HIGHER POWER DRAWINGS. THESE SHOW (1) AN ANEURSYMAL DILATATION OF A CAPILLARY IN THE ALVEOLAR WALL AND (2a) A RUPTURE OF THE CAPILLARY WALL WITH THE ESCAPE OF RED BLOOD CELLS INTO THE ALVEOLUS; (2b) NECROSIS WITH EARLY THROMBOSIS OF THE CAPILLARY IN THE ALVEOLAR WALL.

27It is probable that chronic processes, not sufficiently severe to terminate fatally in a few weeks or months, may occur, but few examples of that kind have been observed. A total of twelve cases of our series in which organization of the bronchiolar (47), or alveolar exudate (156) was found, include three of the lobar, three of the pseudolobar, two of the lobular, and four of the peribronchial types. Such a differentiation, it will be understood, is purely arbitrary. The majority of the cases show, not only a reparative process, but also a continuance of the acute change, and, indeed, both gross and microscopic pictures of the lung may be complicated. It will be impossible to give an inclusive description of these changes, and therefore a few of the most diverse and characteristic will be presented in the form of case abstracts.

Autopsy No. 140.

A white female, aged 19 years, entered the New Haven Hospital after five days of fever, prostration, and cough. She was moderately cyanotic and dyspnœic, but examination of the lungs was negative except for a few râles at the right base. She was delivered of a six-months’ fœtus two days later. On the eleventh day of her illness, definite signs of consolidation had developed in the midback on both sides and spread gradually to include the left base and all of the right back to the level of the 4th dorsal spine. The temperature varied irregularly between 100°F. and 105°F. The pulse followed the temperature, but averaged 102 per minute, while the respirations remained about 40 per minute.

The white blood count on admission was 5,800, but rose gradually to 28,320 cells per cubic millimeter, with 90% of polymorphonuclear leucocytes. The patient died on the twenty-second day of the disease.

Post-mortem examination showed little of interest aside from the thorax. The left pleural cavity contained 75 cubic centimeters of slightly cloudy fluid. The right was almost completely obliterated by an organizing fibrinopurulent exudate which bound together the visceral and parietal layers. The left lung was partially collapsed and covered by a thickened pleura, bluish purple in color, which at the base and in the interlobar area was finely granular. Crepitation was present at the apex, the anterior surface, and the borders of the lung; elsewhere the consistency was increased. On section there was a frothy exudate from the apex and extreme base. These were deep red in color, while the intervening surface of the lung was paler, but broken by many small, white, elevated nodules which at first glance resembled tubercles (Fig. XXXIX). On close examination each of these was seen to have a small, depressed center from which pus could be expressed, and on dissection this was seen to be the wall of a bronchiole. The right lung was more voluminous and covered by a thick, grey, fibrinopurulent exudate except on the upper anterior border where there were a few small areas of interstitial emphysema. On section the pleural exudate was seen to be sharply demarcated from the lung parenchyma by a fine red line. The pseudotubercles of the other lung were here even more marked and from each exuded a yellow pus which partially obscured the pinkish-grey translucence of the surface (Fig. XL). The lumina of the larger bronchi were distended. The hilic and bronchial glands were enlarged and grey.

Microscopic examination of sections from the lung showed an extensive bronchopneumonia. The alveoli of an occasional group of lobules were filled with serum or red blood cells, while still other areas showed foci of necrotizing pneumonia, actual miliary abscesses in which there were large clumps of bacteria (Fig. XLI). Throughout the sections, however, the striking change was an organization of the exudate, which varied from a few fibroblasts to a well defined connective tissue almost obliterating the normal architecture (Figs. XLI and XLIV). The alveolar walls in some 28areas showed edema only, in others they were almost replaced by a thin line of fibrous tissue, and in still others, by a hyperplasia of the epithelium which almost filled their lumina. The bronchi exhibited similar changes, their lumina were filled with an exudate of desquamated epithelium and leucocytes, which in some places was organizing (Fig. XI), and there was a regeneration of epithelium evidenced by a piling up of the cells and the presence of mitotic figures in them. The interstitial tissue showed some edema. The tracheal epithelium was intact, but a few leucocytes and lymphocytes were scattered through the submucosa.

Pneumococcus Type II was recovered from the blood, pleural fluid, and lung. B. influenzæ was also demonstrated in the lung by smears and cultures.

In contrast to this example of a very diffuse, organizing pneumonia, associated with a marked peribronchial organization where the illness lasted for three weeks with hardly a remission throughout its course, the following example of necrotizing and organizing lobar pneumonia may be considered.

Autopsy No. 183.

A white male, aged 46 years, was admitted to the New Haven Hospital on January 9, 1919, complaining of “pneumonia.” The family history was unimportant. He stated that he was in the hospital twelve years ago with typhoid fever and again five years ago with acute cholecystitis.

His present illness began two weeks previous to admission with chills, fever, anorexia, nausea, vomiting, and a slightly productive cough. He was prostrated and drowsy, but could not sleep. On admission his temperature was 101.5°F., the pulse 124, and the respirations 34 per minute. He was cyanotic and dyspnœic. The right chest showed signs of consolidation, and fluid below the 3rd interspace. The white blood count was 8,200 cells per cubic millimeter, 89% being polymorphonuclear leucocytes. The patient died eighteen hours after admission.

The autopsy was held four hours after death and the essential findings were as follows:—

Twelve hundred cubic centimeters of fibrinopurulent fluid were found in the right pleural cavity and the visceral and parietal pleura had a thick, yellow coat of fibrin. The right lung was voluminous, retained its shape on removal, and weighed 1,800 grams. The lower two lobes were consolidated and the upper lobe was atelectatic. On section the latter was slightly congested, but not consolidated. The lower two lobes were fairly smooth and grey, mixed with red areas, and exuded thick, sanguinous pus. They also showed several necrotic areas in the central portion and, in some instances, cavities 1 centimeter in diameter filled with sanguinous pus had formed. The bronchi contained the same material, and on its removal a deep red mucosa was exposed. The left lung showed some fibrous pleurisy over its lateral, posterior, and diaphragmatic surfaces. There was a firm, puckered scar at the apex. The lung crepitated throughout, and on section was essentially normal except for moderately intense injection of the bronchi. The hilic nodes were enlarged, soft, succulent, moderately injected, and pigmented. The trachea was pale, but was covered by a mucopurulent exudate. The right side of the heart was moderately dilated. The spleen was not enlarged, but was softened and congested. The liver was pale, slightly decreased in consistency, and congested. The kidneys and adrenals showed cloudy swelling. The gall-bladder contained several stones, had a thickened wall, and was bound to the pylorus by firm, fibrous adhesions.

Microscopic examination of the lung showed the alveoli filled with an acute inflammatory exudate in many stages of degeneration and hyalinization (Fig. XLII). Abscesses were frequent, but were for the most part small. A similar necrotic mass was contained in the bronchi. There were, however, features of the microscopic picture that outweighed those already described. The alveolar and bronchiolar exudates were everywhere being invaded by a young granulation tissue, rich in fibroblasts and capillaries. Mononuclear cells abounded in the new tissue. Even more striking than the mesodermal new growth was the epithelial proliferation which could be seen in many areas. It not only attempted to cover the denuded bronchial surfaces, but stretched over masses of exudate and granulation in the lumina and extended in tongue-like projections for a considerable distance into the surrounding lung tissue (Fig. XLVIII).

FIG. XXVII. AUTOPSY NO. 115. HERE THE HEMORRHAGIC CONSOLIDATION INVOLVES THE DEPENDENT PORTION OF THE LUNG; CONTRAST THIS WITH THE EDEMATOUS AND EMPHYSEMATOUS UPPER LOBE.

FIG. XXVIII. AUTOPSY NO. 118. THE CONSOLIDATION IS GREY IN COLOR AND LOBAR IN TYPE. IN THE CENTER OF THE HEPATIZED LOBE THERE IS A LARGE HEMORRHAGE. THE UPPER LOBE IS CONGESTED AND EDEMATOUS.

29Cultures of the blood, lung, and pleural fluid showed gram-positive, bile insoluble diplococci which formed chains, and morphologically and culturally were Streptococcus mucosus capsulatus.

These two examples differ widely in the distribution of the pulmonary involvement. They show the acute inflammatory process persisting and complicating the attempt at repair, which manifests itself, not only by the formation of granulation tissue, but also by extensive epithelial proliferation.

Still a third type of chronic lesion is manifested in Autopsy No. 209, where the necrotizing and organizing process in the pulmonary parenchyma is associated with typical saccular bronchiectatic cavities.

Autopsy No. 209.

A white woman, aged 55 years, was admitted to the New Haven Hospital complaining of weakness and ill health following pleurisy. For the past seventeen years she had suffered from a gradually progressing arthritis, which had resulted in marked deformity and disability. Five weeks before admission she became ill with chills, fever, cough, and pain on both sides of the chest. Thereafter, her general condition had gradually grown worse.

Physical examination showed a markedly emaciated white woman with a high degree of arthritis deformans. Dullness and fine râles were present at the left apex. The temperature was but slightly elevated until three days before death, when it rose to 101°F. and slight dullness developed at the right base with bronchial breathing and fine râles. The white blood count, which on admission had been 9,200 cells per cubic millimeter, rose to 15,000 per cubic millimeter. She died after a seven-weeks’ illness.

At necropsy, with the exception of the joints, little of interest was found outside the thoracic cavity. On the posterior and diaphragmatic surfaces of both lungs fibrous adhesions were present binding the visceral to the parietal pleura. The right lung was moderately voluminous and grey in color over the upper lobe, but had darker red areas over the surface of the lower lobes. Patches of increased consistency were found in the lower part of the upper lobe, in the middle lobe, and at the base. On section there was a slight, red, serous exudate. The surface over the more solid areas was somewhat translucent, grey or light red, and was firm and not friable. The bronchi of the lower lobes were conspicuous, and at the extreme base so dilated as to give almost a honeycombed appearance. From them yellow pus exuded. The left lung was less voluminous and showed some increase in consistency throughout. In the lower lobe this was more uniform, but the upper had a shotty feeling. On section the upper lobe showed many hard or caseous nodules, with occasional patches of grey, gelatinous pneumonia. One small cavity was present about 3 centimeters from the apex. The lower lobe showed no gross evidence of any tuberculous process. Many pseudotubercles projected from the red surface, but from each pus could be expressed exposing the slightly congested wall of a bronchiole. At the extreme base two small cavities filled with yellow pus were present (Fig. L).

Sections from the left upper lobe showed, microscopically, both a chronic and acute tuberculous process. Tubercles with a definite wall were present, but there were also large areas of caseation. The tissue between showed interstitial organization with mononuclear infiltration and occasional groups of leucocytes. The bronchial epithelium exhibited no marked change, but the bronchi were filled with pus cells.

Sections from the left lower lobe and from the right lung showed both necrotization and organization. The alveoli contained an exudate, fibrinous, serous, and hemorrhagic, but predominantly leucocytic. There was slight necrotization of alveolar walls in some areas with infiltration of leucocytes 30in them and in the interstitial tissue. Several sections showed a marked degree of interstitial organization (Fig. XLVI). The bronchi were filled with a purulent exudate which sometimes involved the walls to form a peribronchial abscess. The walls of other bronchi showed great thickening with infiltration of both mononuclear cells and leucocytes, and many saccular dilatations were found (Fig. XII).

The post-mortem blood culture showed a small, gram-negative, hemoglobinophilic bacillus (B. influenzæ). Cultures from lungs and bronchi yielded hemolytic streptococci, and Staphylococcus aureus was also present in the lung.

Summary.

Of the ninety-five cases included in this report, twelve showed the reparative process in a more or less marked degree. Furthermore, the twelve showing organization had an illness averaging twenty-seven days in duration, whereas for the eighty-three cases in which there was no organization, the period of illness averaged nine days. Thus, it appears that the early fatal termination of the disease in the latter group is responsible for the absence of organization.

With one exception, when organization was encountered, the disease had run a relatively acute course without marked remission until death. In this instance, the fatal outcome was the result of an accident at a time when all the clinical evidence pointed toward a subsidence of the acute disease. The history of this patient is abstracted below, for it may throw light upon possible relapse and upon late, chronic, respiratory changes.

Autopsy No. 163.

A white male, aged 35 years, was admitted to the New Haven Hospital on December 5, 1918, complaining of “cough, pain in the chest, and headache.” For six days he had had fever, chills, and severe frontal headache, and for three days pains in the chest. He had also had “coryza” and epistaxis. The family and past histories were unimportant.

The physical examination showed a well developed and well nourished male, who was slightly jaundiced and markedly prostrated. The conjunctivæ were injected. The heart, abdomen, extremities, and right lung were negative. In a small area outside the left nipple and extending into the axilla, tubular breathing and subcrepitant râles were heard, but no definite signs of consolidation were made out. The physical signs remained the same during the eight-day stay in the hospital. At entrance his temperature was 102.8°F. In twelve hours it fell to 100°F., then rose to 103°F., where it stayed for twenty-four hours, falling by lysis and remaining normal for the three last days. On his eighth day in the hospital, the patient suddenly collapsed and died within fifteen minutes.

The autopsy was held one hour after death and the essential findings were as follows:—

The peritoneal cavity contained 100 cubic centimeters of clear, straw-colored fluid and the viscera, particularly the liver, were acutely congested. The right side of the heart was greatly dilated; and on opening the pulmonary artery in situ considerable blood gushed forth under pressure and a huge, tortuous embolus completely filled the vessel and its branches (Fig. LIII). The veins of the vesicoprostatic plexus on the right, and the right internal and external iliac veins contained thrombi, and it was evidently from this region that the embolus had been set free. The pleura of the lower third of the left lung over an oval area about 13 × 5 centimeters was bound to the parietal pleura by pinkish-grey, translucent adhesions which were evidently of comparatively recent origin. Here the lung was firmly consolidated, but it was apparently normal elsewhere. On section the consolidated area was silvery grey, with a pink tinge, comparatively dry and smooth. In some areas, especially about the bronchi, delicate, silvery grey, translucent strands could be seen sweeping out into the surrounding lung, which contained no air. The remainder of the lung was air-containing. The trachea showed moderate congestion most marked near the bifurcation. The hilic lymph nodes were enlarged, soft, congested, and succulent, as well as anthracotic.

FIG. XXIX. THE VESSELS OF THE ALVEOLAR WALLS ARE CONGESTED AND CONTAIN A LARGE NUMBER OF LEUCOCYTES. THE EXUDATE IS COMPOSED ALMOST ENTIRELY OF WHITE BLOOD CELLS, IN THE BODIES OF WHICH INNUMERABLE BACTERIA MAY BE SEEN. COMPARE FIGURES XXI, AND XXXII.

31Microscopic examination of the viscera showed acute congestion and some degree of cloudy swelling in the liver and kidneys. The sections of the lung through the consolidated area showed the pleura replaced by a thick layer composed of large and small mononuclear cells, some red blood cells, a rare polymorphonuclear cell, and great numbers of fibroblasts and budding capillaries. Some of the alveoli contained many red blood cells, a few polymorphonuclear and mononuclear cells, some fibrin, and in many areas fibroblasts were organizing this exudate (Fig. XLV). Organization was also present around the bronchi and these contained mucus, pus, and desquamated epithelium. Frequently strands of fibroblasts were seen sweeping through the bronchiolar exudates, and in a few instances they had completely filled the lumina.

32

II. INFLUENCE OF THE RESPIRATORY COMPLICATION OF INFLUENZA UPON TUBERCULOSIS OF THE LUNG

Thirteen of the ninety-five cases included in this report occurred at the United States General Hospital No. 16, one of the large tuberculosis camps. In five instances the patients had active pulmonary tuberculosis. The remaining eight were members of the detachment and may be added to the eighty-two from the New Haven Hospital, making a total of ninety cases in which there was no clinical evidence of active pulmonary tuberculosis at the onset of the acute respiratory disease. When these ninety cases are analyzed, it is found that only two of them show definite activation of an old tuberculous focus (82). One has already been referred to (Autopsy No. 209); the other, presenting a much more acute exudative and ulcerative tuberculosis, deserves special consideration.

Autopsy No. 194.

A white female, aged 27 years, was admitted to the New Haven Hospital on November 8, 1918, complaining of “cold on the chest, fever, cough, and prostration.”

The past and family histories were unimportant. Her illness began one week before admission with dizziness, headache, vomiting, cough, pains in back and legs, chilly sensations, and fever. She went to bed the day after. The acute onset became definitely worse and pains developed in her chest. On admission she was very weak, had a temperature of 101.4°F., a pulse of 120, and respirations of 40 per minute. The physical examination showed a very well developed and nourished woman who was cyanotic but not dyspnœic. The pharynx and tonsils were definitely injected. There were signs of consolidation at the base of the left lung. The pneumonic process gradually increased in the left, spread to the right, and involved the greater portion of both lungs. Otherwise the physical signs did not change greatly during her stay of thirteen weeks in the hospital. Thrombosis of the left femoral vein was diagnosed about two days before her death. The temperature curve was of interest. During the first two days in the hospital it remained at 104°F. For two weeks it was septic in character, being 102°F. in the morning and 104°F. in the afternoon. Then for thirty days it was practically constant at 102°F., only to become septic again, 98.6°F. in the morning and 103.4°F. in the afternoon, and it remained so until death. The pulse curve ran essentially parallel to the temperature curve, varying from 100 to 140 per minute. The respirations varied between 46 and 64 per minute.

The sputum showed Type IV pneumococcus. The blood culture was negative.

FIG. XXX. AUTOPSY NO. 169 (LEFT) AND AUTOPSY NO. 97 (RIGHT). THIS CONTRAST IN THE EXTENT OF INFLAMMATORY INVOLVEMENT BETWEEN NEIGHBORING LOBULES IS FREQUENTLY ENCOUNTERED.

FIG. XXXIII. GANGRENE OF THE LUNG.

33The autopsy was held four hours after death. The body was markedly emaciated. The peritoneal cavity and its contents appeared normal, though the liver was low. The right pleural cavity contained 150 c.c. of slightly cloudy, yellow fluid. The left was free from fluid. Both lungs were bound to the chest wall by silvery grey, translucent adhesions which were broken with slight difficulty. The right lung was heavy, voluminous, retained its shape on removal, and was consolidated throughout. Thick, creamy pus exuded from the cut trachea. For the most part, the lung was covered by a recently organized exudate several millimeters thick in which delicate blood vessels could sometimes be made out. Beneath the pleura of the lower three-fourths of the lung, were numerous, irregularly rounded, slightly elevated, opaque, greenish-yellow areas resembling conglomerate tubercles. These gave the lung a shotty or nodular feeling. In the lowest lobe several of these areas had fused and softened to form semifluctuant areas several centimeters in diameter. On section the lower two-thirds of the lung was studded with areas corresponding to those seen on the surface, which in many instances had broken down and formed irregular cavities filled by thick, green pus (Fig. LI). Between the green areas delicate strands of new-formed fibrous tissue could be made out in all parts of the lung. The bronchial mucosa was injected, the walls were irregularly thickened and dilated and they opened into the ragged cavities noted above. New-formed fibrous tissue was prominent along the bronchi. One chalky white, old, encapsulated, tuberculous focus was found near the apex of the left lung.

Microscopically, there were two distinct processes found in the sections taken from various parts of the lung: an early miliary and exudative tuberculosis, and a necrotizing and organizing bronchopneumonia. Often the two processes were side by side, but sharply demarcated, in the same section. In others, they might be so intermingled that they could not be differentiated. The bronchi were filled with pus and often could be seen opening into large abscess cavities. The proliferation of the bronchial epithelium, as noted elsewhere, also was a striking feature in these sections. The pleural exudate was undergoing organization.

Streptococcus hemolyticus was found in the cultures of the lung, blood, pleural fluid, and bronchi. In addition, the bronchi and abscess cavities also showed Type IV pneumococcus and Staphylococcus albus.

Summary.

In this series of ninety-five cases, two examples of activation of an old tuberculous focus by the acute respiratory process were encountered. In both the pulmonary tubercular process was acute and played an important rôle in the fatal outcome.

34

III. EXTRARESPIRATORY LESIONS IN INFLUENZA

In all the fatal cases of influenza which came to autopsy, and this has been the experience of others, the respiratory lesions, as indicated above, occupy the foreground. Indeed, compared with other types of respiratory disease, the lung involvement is so great that expression of the disease need not be sought elsewhere to explain the cause of death. However, there are general systemic changes which, even though quantitatively inconstant, are sufficiently common and widespread to support the view that the disease is a systemic one. The lesions of the hematopoietic organs and those of the vascular system are the most important and will now be taken up.

A. LESIONS OF THE HEMATOPOIETIC SYSTEM

There is ample evidence that both the lymphadenoid and myeloid tissues of the body are affected. The lymph glands at the hilum of the lung naturally are involved with the extensive pulmonary changes. Also, a similar change may be found in distant nodes, perhaps associated with drainage from focal lesions or perhaps brought about by general intoxication.

The myeloid involvement is unassociated with focal lesions and finds its early expression in the equation of the white blood cells of the peripheral blood. The two groups of changes, those involving the lymphadenoid and those of the myeloid structures, should be discussed separately.

Lymphadenoid Tissues.

By far the most extensive lesions are encountered in the lymph glands of the lung and its hilum, and from here the mediastinal and deep nodes along the trachea are affected to a greater or lesser extent. The glands are very large and succulent (2, 157, 162, etc.). Very frequently, indeed, they are hemorrhagic on cross section (34, 108) (Fig. XXXVII), and there exudes a sanguinous fluid, usually thin and syrupy in character. The cut surface projects slightly, and the edge of the gland everts. The architecture is often obscured by hemorrhage—a diffuse red color—but very frequently near the periphery, translucent or more opaque, yellowish points are visible. Rarely, larger, opaque, yellow foci are found in the gland; these may be softened and purulent in exceptional cases (2, 47, 157).

Microscopically, the picture presented by the gland is that of a non-suppurative lymphadenitis. The peripheral sinuses are markedly distended and the channels through the gland share in the change (66). The sinuses contain serum, red blood cells, and mononuclear cells for the most part, but occasionally polymorphonuclear leucocytes are also encountered. More rarely still, a megalokaryocyte finds its way into the sinus. The most characteristic feature is the presence of phagocytosed cells,—a picture comparable with that found in the typhoid lymph node. The nuclei of the phagocytic cells are vesicular and usually stand out sharply in contrast with the pyknotic nuclei of the included cells. There is conclusive evidence that the phagocytes arise from the lining cells of the channel wall, as in typhoid fever, for these cells are frequently in process of division (Fig. LIV). The blood vessels of the lymph gland, greatly congested, contain almost exclusively red blood cells. As a rule, the lymph follicles and the lymph cords take little part in the process. If there is any change in these structures, it is a rarefication. Occasionally, hemorrhage is encountered in a follicle or even in a cord, and this hemorrhage may involve not only the cells of the cord, but its supporting reticular structure, and may form the nucleus of a subsequent necrotizing or suppurative focus.

FIG. XXXI. AUTOPSY NO. 100. ACUTE FULMINATING BRONCHIOLITIS AND BRONCHOPNEUMONIA. NOTE THE NECROTIC ALVEOLAR WALLS AND THE MASSES OF BACTERIA IN THE EXUDATE. COMPARE FIGURES VIII, XVII, AND XXXII.

35The picture that has been detailed is subject to modification in those cases particularly where a leucocytic reaction is associated. Then, there may be more polymorphonuclear leucocytes in the sinuses, and necrotizing foci may be converted into miliary abscesses.

The change in the bronchial lymph glands cannot be considered other than an expression of an aplastic, inflammatory reaction. It finds an analogue especially in diseases like typhoid fever. The most constant picture includes an edematous, hemorrhagic reaction in which there is phagocytosis of sieved-out cells by the scavengers generated within the gland. Where necrosis or suppuration occurs, and this is rare, it may be considered as a complication.

Elsewhere in the body, the lymph glands rarely show the same degree of change as those of the thorax. The same general picture, however, is present to a greater or lesser extent, except that extensive necrosis and suppuration have not been encountered.

The lymphadenoid tissues of the alimentary canal share in the process only to a minor extent. In a number of cases, there is no question that the Peyer’s patches and solitary follicles are hyperplastic. Grossly, they stand out prominently, and are pale pinkish-grey in color. Histologically, there is hyperplasia, chiefly apparent from the large germinal centers in the follicles, and a slight distention of the lymph channels. This picture, so commonly found in every type of general infection, is in no way characteristic of influenza.

Spleen.

The spleen is the seat of the usual manifestations in generalized acute infections. In no case is the organ markedly involved, although considerable increases in its size may occur (2, 108, 141, 157, 162). It is not feasible to introduce a detailed discussion of this mild grade of splenic tumor, for there are natural variations in the size of the spleen and frequently it is modified in this respect by subsidiary conditions. In every instance the capsule of the spleen is smooth and there is no acute or chronic perisplenitis attributable to influenza. The capsule usually retracts slightly and the splenic pulp, in slight excess, is much more frequently red or garnet than grey in color. Occasionally, the splenic tumor is grey as in pneumonia. The more minute changes in the organ consist of congestion of the sinuses, increase of the mononuclear cells of the pulp, and prominence of the germinal centers of the Malpighian corpuscles (140). Hemorrhages, found occasionally (47), are more frequent in the pulp, but also occur in the corpuscles.

Bone Marrow.

One of the clinical features of influenza is a leukopenia, which persists often in the face of acute pyogenic pulmonary infection (12, 138, 143, etc.). In this series of ninety-five cases, the vast majority had this type of blood picture, but occasionally a leucocytosis (14) was demonstrable even during the early part of the disease and in those cases which terminated 36fatally within a period that may be called acute. In almost all instances where fatal termination was delayed, the leucocyte count ultimately was elevated either with remission or to a constant high level. The blood studies have not been sufficiently complete to allow further discussion, though there is reason to believe that these might have yielded interesting results. The blood changes in this series are similar to those presented in the reports of the epidemic from other sources.

In the majority of cases where the marrow was studied, it was aplastic (12). Occasional, focal, hemorrhagic lesions of the marrow (47) similar to those discussed below in the skeletal and parenchymatous systems were encountered and there was an apparent increase in the number of megalokaryocytes. The usual hyperplasia of the myeloid elements of the marrow associated with pyogenic change was not present.

B. LESIONS OF THE BLOOD VESSELS AND ELSEWHERE IN THE BODY

Here, as in the discussion of the involvement of the lymphadenoid tissue, the most outspoken changes are in the thorax. Frequently thrombi are encountered in the vessels of the lung (34, 138). This does not include the capillary thrombi associated with damage to the alveolar walls already discussed. It has not been possible to demonstrate an association between the hemorrhagic, infarct-like foci in the lung and these vascular complications (47). The thrombi, histologically, are most frequently propagated, but occasionally an indication of their etiology is found in a destructive lesion of the vessel wall (19, 47, 50, 108, 156). This arteritis or phlebitis may be embedded either in a pneumonic zone or in relatively normal lung. The vessel wall may be obscured by a cellular infiltrate throughout its circumference or only at one point. The cells, on account of karyorrhexis often difficult to identify, are, partly at least, polymorphonuclear leucocytes, and the thrombus which forms upon the inflammatory nucleus, as a rule, is fairly rich in these cells (Fig. LII).

This vascular lesion may involve either artery or vein and may be found either within the lung or at distant points. Not infrequently, pulmonary embolus terminates influenza. One instance of this is incorporated in the group of chronic influenzal cases detailed above (Fig. LIII). In this instance, the thrombus originated in the right iliac veins; and, although no attempt was made to demonstrate the primary vascular lesion, so many similar cases are recorded (7, 82), and vascular damage is so frequent in this disease, that the hypothesis attributing pulmonary embolus to a thrombus initiated by a phlebitis is strongly supported.

Parenchymatous and skeletal lesions of hemorrhagic type, although variable quantitatively, are frequent and involve the muscles, the parenchymatous organs,—the adrenal especially,—and the mucosa of the alimentary canal. They have been described already with regard to the pleural surface and they may occur in other serous membranes.

FIG. XXXII. AUTOPSY NO. 100. A HIGHER MAGNIFICATION OF THE LESION ILLUSTRATED IN FIGURE XXXI. THE ALVEOLAR WALL IS ENTIRELY NECROTIC: BACTERIA AND POLYMORPHONUCLEAR LEUCOCYTES ARE ABUNDANT.

FIG. XXXIV. AUTOPSY NO. 87. CROSS SECTION THROUGH THE AREA OF GANGRENE SHOWN IN FIGURE XXXIII.

FIG. XXXV. AUTOPSY NO. 160. MICROSCOPIC DRAWING OF THE GANGRENOUS CAVITY ILLUSTRATED IN FIGURES XXXIII AND XXXIV.

37Only two examples of hemorrhage in the recti muscles[11] were encountered in the ninety-five autopsies. In other localities this lesion has not only been more frequent but also more extensive (2, 47, 50, 128, 140, etc.). However, it has been fortunate that the two instances in this series represent a fresh hemorrhage and the healing lesion, respectively. The fresh hemorrhage is quite characteristic of Zenker’s necrosis involving muscles. Grossly, it is a small lesion and does not involve the entire width of the rectus muscle, as may happen, with a resulting rupture of this structure (12, 162). Microscopically, many of the muscle cells have lost their striation, are irregularly swollen, and, as fractures in them indicate, are apparently brittle. Between the muscle fibers and where these are lacking, the predominating element of exudate is the red blood cell, but there is a considerable amount of fibrin and also some serum between these cells (Fig. LVI). The absence of polymorphonuclear leucocytes is noteworthy. The second example of a muscular lesion occurred in a patient who died on the twenty-fifth day of the disease. Grossly, this also was a small lesion, although the muscle fibers at its site were obviously ruptured. Histologically, the lesion is a healing one. Regeneration of the muscle fibers (47, 156), as illustrated by the formation of typical spindles, is handicapped by the rapid development of the fibrous scar (Fig. LVII). Suppuration had not occurred and this also has been true for the focal, hemorrhagic, inflammatory processes which were encountered in many different localities throughout the body.[12]

Perhaps the focal hemorrhagic lesions were most frequent in the adrenal gland. Generally, they were located in the cortex, although medullary hemorrhages were encountered. The extent of the process varied from minute hemorrhages, associated with necrosis of only a few cells, to extensive ones involving half of the adrenal. The microscopic examination of the exudate revealed the same elements and in approximately the same proportions as described for the similar process in the muscles. Not infrequently, mitotic figures in the adrenal cells indicated an attempt at repair of a minute damage.

Hemorrhages in the mucosa of the alimentary canal, including the stomach and intestines, similar to those so common at the post-mortem table in many different types of acute infectious disease, are, of course, common in influenza; but, in one case especially, a lesion was encountered which adds significance to these hemorrhages (47). Here areas of mucosa, usually round or oval and varying from one-half to two centimeters in diameter, often with ulceration in their centers, show, microscopically, bacterial emboli in the vessels of the mucosa with a hemorrhagic effusion which obliterates the architecture of this coat and extends at some points into the submucosal and muscular layers (Fig. LVI). Here, the occurrence of bacterial emboli in association with the lesion suggests that they may be etiologically related to similar processes in other parts of the body.

The above example of hemorrhage in the mucosa of the alimentary canal has seemed of especial interest, not only for its possible value in explaining the etiology of the lesion here and elsewhere, but as an interpretation of the findings in Autopsy No. 185, an abstract of which is appended below. There a hemorrhagic lesion in the wall of the urinary bladder led to rupture and brought the patient to the surgical clinic of the hospital.

Autopsy No. 185.

A white female, aged 46 years, was admitted to the New Haven Hospital on January 4, 1919, complaining of “cough and headache.” Five days previously she had a “cold” that she was able to “break up” with quinine and aspirin. The “cold” recurred two days ago, and since then she has had “frequent chills, aches all over, and feels weak.” Her family and past histories were unimportant.

38Physical examination on admission showed congestion of the pharynx. Below the inferior angle of the scapula on the right, there was dullness, bronchovesicular breath sounds, and a few fine râles. The examination was otherwise negative. Three days later the signs in the lungs disappeared. The next day, after an attack of coughing, she complained of something having “burst” within her abdomen and of generalized abdominal pain. A diagnosis of ruptured bladder was made and 1,400 cubic centimeters of bloody urine were withdrawn by catheter. Immediate operation was decided upon and the bladder was found a hand’s breadth above the symphysis pubis; the posterior wall was very thin and presented a tear extending from the trigone upward in the mid line for 7 centimeters. Fully 500 cubic centimeters of clotted blood and urine were removed from the pelvis, but there was no marked evidence of peritonitis. A permanent mushroom catheter was placed in the urethra, and the tear was sutured. The abdomen was closed with provision for drainage. The patient was returned to the ward in doubtful condition.

Her temperature at entrance was 104°F., and it fell by lysis to 99°F. just before operation. After the operation it fell to 97°F., and in a few hours rose to 99°F. Thirty-six hours after operation she had a chill lasting ten minutes, and her temperature rose to 105°F. in eight hours, when death occurred. The respirations were thirty per minute until the rupture of the bladder when they rose to forty per minute and corresponding to the final rise in temperature rose to 60 per minute. The pulse ran a parallel curve to the temperature, ranging from 100 to 160 per minute.

The autopsy was held two hours after death, and the essential findings were as follows:—

The body was that of a moderately obese woman. Rigor mortis had not developed, but there was a distinct heliotropic hue of the face and neck. The recent surgical wound between the symphysis pubis and umbilicus was in good condition. The peritoneum was slightly dulled in the lower half of the abdomen, and there was about 100 cubic centimeters of faintly cloudy, blood-tinged, thin fluid in the pelvis. The left pleural cavity contained about 200 cubic centimeters of slightly turbid, amber fluid, but the right side was free from fluid. While the pneumonia had not been prominent clinically, both lungs were found extensively involved by a necrotizing and organizing bronchopneumonia with purulent bronchitis similar to what has already been described. As the lesion of the bladder is the distinctive one in this case, and as the other organs show nothing that has not been described elsewhere, further description will be confined to it.

The wall of the bladder was thin and soft, and grossly the sutured wound appeared in good condition. Posteriorly there was a hemorrhagic zone about 3 centimeters in width most marked beneath the mucosa, but involving all of the coats. The mucosa was superficially ulcerated along this area, and was covered by a thin, patchy, fibrinous exudate. In addition, there were scattered beneath the mucosa several smaller hemorrhagic foci, quite distinct from the larger one.

Microscopically, one striking feature was the erosion of the mucosa, with hemorrhages most marked along the line of rupture but occurring elsewhere in the subjacent tissues. This condition was found in all the sections studied. Another feature was the lack of inflammatory exudate and the very slight attempt to repair the injury, only a very rare polymorphonuclear cell and fibroblast being seen. Sections of the peritoneum showed only a patchy deposit of fibrin with a rare polymorphonuclear cell.

C. MISCELLANEOUS LESIONS

In this series of cases lesions elsewhere in the body are not sufficiently constant or important to merit emphasis.[13] Hemorrhages have been found occasionally in other structures, especially the testes. The usual cloudy swelling of the parenchymatous organs is, of course, marked, and in many cases has been associated with actual cellular necrosis both in the liver and the kidney. Such necroses are usually focal, and occasionally mitotic figures in the cells of the renal convoluted tubules or in the liver may be a similar expression of previous damage. Acute nephritis was not found in our series.[14] The swollen liver cells often show the bile canaliculi clearly, and this appearance may be associated with a variable degree of jaundice which has been found frequently, although the explanation of the jaundice is, in all probability, an hemolysis of the red cells caused by the infecting microorganisms. The only other lesion encountered and of sufficient importance to mention, has been the congestion of the membranes of the brain and a swelling of the cerebral substance, in all probability dependent upon edema. One example of purulent meningitis was encountered.[15] The dilatation of the right side of the heart with a greater or lesser degree of splanchnic engorgement is such a common feature in acute pulmonary diseases that it is hardly worthy of detailed discussion.

FIG. XXXVI. AUTOPSY NO. 133. A SMALL ABSCESS IN AN EDEMATOUS BAND OF INTERLOBULAR CONNECTIVE TISSUE.

FIG. XXXVII. AUTOPSY NO. 114. ILLUSTRATES AN UNUSUAL ANATOMICAL PICTURE IN INFLUENZA—AN EXTENSIVE FIBRINOPURULENT PLEURISY. THE BRONCHIAL LYMPH GLANDS ARE PROMINENT ON ACCOUNT OF THE HEMORRHAGIC INFLAMMATORY PROCESS WHICH HAS INVOLVED THEM.

39A striking feature of influenza is the occurrence of abortion in cases complicated by pregnancy. Of the ninety-five cases included in this report, twenty-seven were women of whom three died undelivered (three months, six months, term), three had suffered complete abortion (one, three months, and two, six months), and one (six months) was in process of abortion. It is not our purpose to discuss the relation between pregnancy and this complication. Here it is desirable simply to point out that, although in the non-complicated cases of influenza, pregnancy does not influence the course of the disease, if pneumonia supervenes, the mortality for the mother, as well as for the child, is definitely increased (57, 148, 164).

A specific placental lesion would be difficult, indeed, to establish since hemorrhage is a part of the normal process of placental separation. However, the hemorrhagic lesion of influenza seems a plausible explanation for the frequency of abortions in this disease.

Summary.

The most important extrapulmonary lesions in influenza are those of the hematopoietic and the vascular systems. The first are typical of a general non-suppurative, inflammatory process, and are characterized in the majority of cases by a picture not unlike that encountered in typhoid fever, although the hyperplasia of the lymphadenoid tissues, as seen in the latter disease, is not present. The more important lesions are associated with the vascular system; phlebitis and arteritis occur, but are not so frequent as hemorrhages in the skeletal system, in the parenchymatous organs, and in the mucous membranes of the hollow viscera. These hemorrhagic necroses may be etiologically associated with capillary bacterial thrombi.

40

IV. COMPARISON BETWEEN THE RESPIRATORY LESIONS OF INFLUENZA AND THOSE INITIATED BY THE INHALATION OF POISONOUS GASES

Immediately preceding the advent of the influenza epidemic in New Haven, there had been completed in this laboratory the experimental studies of the effects of a large number of different toxic gases upon the respiratory tract. This was begun with the support of the Bureau of Mines, and subsequently, after the formation of the Chemical Warfare Service, the work received the support, not only of this branch of the Army, but also of the Surgeon General’s Office. Exceptional opportunities for animal experimentation were offered. Every stage of the inflammatory process in the respiratory tract was studied, from the most acute, a few hours after the exposure of the animal to a high concentration of gas, to the very chronic types that resulted from sublethal concentrations and led to lesions encountered at the sacrifice of the animals many months later.

The criticism will unquestionably be introduced, that with the anatomical picture of the respiratory lesions initiated by irritating gases freshly in mind, an analogy between them and those of the pulmonary lesions of influenza may not be impartially drawn. However, such fundamental and striking similarities exist between the two processes (128) that the argument is simplified.

A. THE INFLAMMATORY RESPONSE VERSUS THE SYSTEMIC CAPACITY TO COMPENSATE

Symmers (141) and Oberndorfer (108) have already likened the influenzal pulmonary complications to plague pneumonia, and it is quite possible that others will find fundamental similarities with other fulminating, inflammatory reactions. Inflammation, a series of processes manifested after injury by a tissue which still retains its viability, is modified by another important factor usually neglected; namely, the state of the host. As a consequence, the inflammatory reaction might readily have similar manifestations even though the primary exciting agents are diverse. This has been amply demonstrated for many different reactive processes, and still it may be considered as a challenge for those who are of the opinion that specific bacterial agents necessarily produce characteristic anatomical manifestations. Consider the state of knowledge of the various reactions to the tubercle bacillus before this microorganism was isolated; and then bear in mind that we are dealing here with a disease whose causative agent, despite the present uncertainty regarding its specific nature, produces a lesion that paves the way for the invasion of the respiratory tract by many different organisms. The extent of the reaction may depend upon the systemic capacity to compensate, as well as upon the degree of primary damage in a specific system of organs. Unquestionably, these two factors must take their places in the balance, the opposite pan of which contains the one or the other secondary bacillary invader.

FIG. XXXVIII. THE UPPER ILLUSTRATION, AUTOPSY NO. 116, SHOWS A FRESH, FIBRINOPURULENT PLEURAL EXUDATE. THE PLEURAL LINING CELLS ARE SWOLLEN AND CONSPICUOUS. THE LOWER ILLUSTRATION, AUTOPSY NO. 100, SHOWS ANOTHER AND LATER TYPE. THE ELEMENTS OF THE EXUDATE HAVE DISINTEGRATED TO FORM A MUCILAGINOUS MASS. COMPARE FIGURE XXXVII.

FIG. XLI. AUTOPSY NO. 140. IS A LOW POWER DRAWING OF THE CHARACTERISTIC LUNG IN THE MORE CHRONIC STAGE OF THIS DISEASE. NECROTIZING AND ORGANIZING BRONCHIOLITIS AND PERIBRONCHIOLITIS ARE ASSOCIATED WITH AN ORGANIZATION OF THE EXUDATE IN THE ALVEOLI. THE ORGANIZATION PROCESS IS SOMEWHAT OBSCURED BY THE EDEMA. COMPARE FIGURES XI, XXXIX, XI, AND XLIV.

FIG. XXXIX. AUTOPSY NO. 140. RIGHT LUNG. THE HISTOLOGY OF THE PULMONARY CHANGES IN THIS CASE IS ILLUSTRATED IN FIGURES XI, XLI, AND XLIV. THE NECROTIZING PERIBRONCHIAL FOCI STAND OUT PROMINENTLY AND THE ORGANIZATION OF THE EXUDATE IN THE SURROUNDING ALVEOLI IS ALSO DISTINCTLY SEEN IN THE ABOVE FIGURE.

41Scientific medicine has reached that evolutionary period where, in addition to the specific infecting microorganism, associated etiological factors find an important place in the interpretation of a disease. More and more attention is being directed toward the latter factors and the rôle they play in respiratory infections. Many different factors open the pulmonary portal for organisms and, in this way, terminate by a serious respiratory inflammatory complication what otherwise might have been a relatively mild disease. In the past two years this has been demonstrated for measles.

For the above reasons, not only the immediate action but the complications and sequelæ, too, of the inhalation of irritating gases by normal healthy animals, emphasize themselves as a framework for a more comprehensive interpretation of respiratory disease in general.

B. THE PRIMARY INJURY

With few exceptions, the gases studied have their most marked effect upon the respiratory tract. They differ, however, in the localization of the lesions and in the extent of the damage. For instance, mustard gas, in high concentrations, has a necrotizing effect upon the entire respiratory tract even to the pulmonary parenchyma itself. Inhaled in a more dilute form it involves the larynx and the trachea and has spent itself before the lung is reached. With phosgene, the opposite is true. The upper respiratory tract is only slightly involved. The outspoken lesions involve the bronchioles, the ducti alveolares, and extend to the alveolar walls of the lung. Chlorine, while it produces a less severe lesion of the upper respiratory tract, extends more often through all of the ramifications of the tracheal tree to the lung.

With vital stains (trypan blue), it may be readily demonstrated that these gases kill the epithelium of the respiratory tract and extend through this superficial cellular coat to the deeper tissues of the bronchiolar wall and to the lung tissue, killing it entirely, just as a corrosive chemical destroys the wall of the stomach.

When chlorine and phosgene reach the lung, an intense reactive process follows immediately. The congestive changes, the hemorrhage into the pulmonary parenchyma both in the alveoli and in the subpleural and interstitial tissues, and the albuminous rich, serous exudates occupy the foreground of the acute picture and are associated clinically with intense cyanosis, great dyspnœa, hemorrhage, bronchorrhea, and also with pulmonary and subcutaneous interstitial emphysema. The microscope reveals a hyalinization of the walls of the bronchioles or ducti alveolares which are distended during this acute period and form a picture that is very unusual in the more frequent types of respiratory inflammation. It shows also a hyalinization of the alveolar walls, usually those in direct continuity with the larger air passages. The interstitial edema and hemorrhage, often perivascular in distribution, is only overshadowed by the thick, almost colloid-like material within the alveolus itself. Fibrin stains at this stage show this exudative element in surprisingly large amounts. Fibrin not only covers the alveolar wall, but crosses this structure and often forms intracapillary plugs. In fact, besides the red blood cells, the serum and the fibrin, one often sees, not only an excess of polymorphonuclear leucocytes in the vessels of the lung, but these appear in process of migration within a few hours after the animal has been exposed.

Animals surviving this stage often succumb later with a typical pneumonic process. Although frequently pseudolobar, the process may be lobar in extent, and as time goes on more definite lobular involvement is frequently encountered. With the localization of the 42inflammatory process, the general edema, congestion and milder reactions in other portions of the lung tend to subside, and may be entirely absent in a few days. The clinical picture, in the experimental animal at least, also assumes a more typical expression of respiratory infection,—leucocytosis, chlorine retention, etc., appear. Often the pneumonias, both lobar and lobular, are complicated, grossly, by softening, and histologically, by necrotization of the bronchiolar and alveolar walls. Recrudescence of the active pulmonary infection is not uncommon, and perhaps is associated with these focal necrotizing areas.

C. THE TENDENCY TO ORGANIZATION OF BRONCHIOLAR AND ALVEOLAR EXUDATES

The sequelæ after exposure to gas may be markedly delayed. They occur, not only in animals which have exhibited characteristic acute symptoms, but also, and especially with phosgene, where no serious immediate clinical effects followed exposure to the gases. They are dependent upon the fact that the pneumonic process has a very striking tendency to undergo organization, a process which involves not only the exudate in the alveoli, but also that within the bronchioles. The organizing process may be present in both these portions of the lung or may be confined to the bronchiole alone, and lead to a progressive interference with the ingress and egress of alveolar air, so that atelectasis and emphysema become permanent, and in turn lead to narrowing of the vascular bed, ultimately producing right-sided cardiac decompensation. Bronchiectases also occur; they may be tubular, associated with organization of the pneumonic process in their vicinity, or saccular if death has not followed the destruction of the bronchiolar wall.

Compare this picture with that of influenzal pneumonia and its sequelæ; in both there is, first the acute diffuse involvement of the lung, initiated by, or occurring simultaneously with, an acute tracheobronchitis and presenting clinically dyspnœa, cyanosis, blood-stained, abundant sputum, and even interstitial emphysema; next, the tendency for the pneumonic process to localize and to necrotize; and finally, if the acute period is survived, organization of the pneumonic and bronchiolar exudates with resulting bronchiolitis and bronchiectasis. With even more minute comparison, the resemblance is sustained. The initial or early dilatation of the ducti alveolares, so characteristic in gas poisoning, also occupies the foreground of the histological picture in influenza. These dilated structures are the more prominent on account of the red, ribbon-like strands that cover the surface and often involve the walls. Similar necrotization, varying in its depth even to involve the whole of the alveolar walls, occurs in both of these conditions. Similar hemorrhages in the early stage, rupture of the alveolar wall with interstitial and subcutaneous emphysema, necrotization, gangrene, and organization in the same localities, characterize the two lesions, and are not found with the same uniformity in any other type of respiratory disease.

D. THE IMPORTANCE OF THE TRACHEA AND ITS RAMIFICATIONS AS A PROTECTIVE MECHANISM AGAINST INFECTION OF THE PULMONARY PARENCHYMA

In gas poisoning it has been demonstrated that the initial damage to the epithelium of the larger air passages is followed by an invasion of the pulmonary parenchyma by the bacteria of the mouth. Repeated cultures from the mouth before the exposure of the animal to gas have been followed by the recovery of the same organisms, including the pneumococci, the streptococci, the staphylococci, and a gram-negative, hemoglobinophilic, small bacillus from the pneumonic lung. They find their way into the lung after the destruction or incapacitation of the protective mechanism (70) of the upper respiratory tract,—into a lung which has been so damaged by the irritative gas that bacteria innocuous in the normal pharynx now find a favorable medium for their development. The inflammatory reaction which develops into pneumonia, perhaps necrotizing, perhaps later organizing, can only be explained by the combined action of the corrosive gas and the organisms saprophytic in the normal mouth, but now pathogenic in varying degrees in the lung whose vital reactions have either been inhibited or impaired by the gas.

FIG. XL. AUTOPSY NO. 140. LEFT LUNG. THE HISTOLOGY OF THE PULMONARY CHANGES IN THIS CASE IS ILLUSTRATED IN FIGURES XI, XLI, AND XLIV. THESE PROCESSES, ILLUSTRATED IN FIGURE XXXIX, ARE ACCENTUATED AND THERE IS ALSO AN ORGANIZATION OF THE EXTENSIVE PURULENT PLEURISY TO BE MADE OUT IN THE ABOVE FIGURE.

43There is no reason why this analogy should not be drawn, no reason why we should not consider that the unknown etiological agent in influenza produces a similar injury to, or even destruction of, the protective mechanism of the respiratory tract. Similarly, gas and influenza damage the pulmonary parenchyma itself, so that the bacteria of the air and of the mouth which find their way into the damaged lung[16] initiate processes and produce complications which may not be distinguished.

44

V. PECULIARITIES OF THE HISTOLOGY OF INFLUENZAL PNEUMONIA

A. THE EXTENT OF THE INITIAL PULMONARY LESION

One of the features differentiating the pneumonic process in influenza from the usual types of inflammation of the lung, is diffuseness (90). In the early cases especially, or in cases which terminate fatally at an early period, both lungs are often involved, and, on histological examination, only a small portion of the pulmonary parenchyma is found unaffected. The exudate, largely acellular, presents serum as its most conspicuous feature. The picture is one of a patchy pneumonia with intermediary areas of what might be called edema, although fibrin is often demonstrable in the coagulated, albuminous material. So little attention has been paid to earlier stages of the usual types of pneumonia, for example lobar, that it is impossible to say whether or not diffuse involvement of the pulmonary parenchyma initiates the process which later becomes localized in one or more lobes. The initial edema of influenzal pneumonia is the expression of a widespread irritation. If the injury has not extended deeply, the edema may disappear within a relatively short time, and exfoliated lining cells fill the alveoli; those remaining in their normal position are frequently in process of division (Fig. XLVII). It is conceivable—and the view has already been announced—that this edema is a disseminating factor and perhaps responsible for the diffuseness of the pneumonic process which may follow. If the fluid is simply a serous exudate, it may play no essential rôle in the severe acute symptoms manifested by these patients, for it has been shown, both in the experimental lesions induced by pulmonary irritating gases and by pulmonary irrigation through which extensive artificial edema of the lungs may be attained, that the presence of fluid in the lung in itself is not harmful (161).

B. THE HEMORRHAGIC EXUDATE

Another striking feature of the inflammatory process in this disease is the extensive hemorrhagic exudate expressed clinically in the fresh, red blood of the abundant sputum. In the tissues the blood is always fairly well preserved. It may be scattered diffusely through the cellular exudate (Fig. XXIV) or so abundantly that the area resembles an infarct (Fig. XXV). These hemorrhagic foci, which vary considerably in size, are found not only in the cases that terminate fatally within a few days, but may occur at any time during the acute manifestation of the disease. They are an exaggerated form of red hepatization and it is difficult to see how such red foci could ever change to areas of grey pneumonia. It is a widely accepted statement, in textbooks of Pathology at least, that the stage of red hepatization in pneumonia follows the period of engorgement and precedes the grey form. This interpretation is open to question concerning the lesions that are encountered in influenza, as well as in those that are seen after gas inhalation. Unquestionably, in the stage of engorgement the lung has a red appearance, enhanced by the acellular, serofibrinous exudate in the alveoli through which the greatly congested vessels are seen. At this stage, the lung has a translucency on gross examination, which is not the case when the cellular content of the alveoli is increased. This picture is not the one spoken of most commonly as red hepatization; for, although it appears as a relatively red lung in the gross, difficulty is encountered in its histological correlation, for the exudate is composed, not of red cells, but largely of serum and fibrin. The red color may persist even when numerous polymorphonuclear leucocytes and desquamated alveolar wall cells are within the alveoli, the walls of which are markedly engorged. Later, as the circulation in the pneumonic zone is impaired, the alveolar exudate determines the tone of the gross color, and a considerable number of red blood cells may be overshadowed by the larger percentage of white ones.

FIG. XLII. AUTOPSY NO. 133. IS A MUCH LATER STAGE OF THE PROCESS SHOWN IN FIGURE XXXI. ASSOCIATED WITH THE ENCAPSULATED BRONCHIOLAR AND PERIBRONCHIOLAR ABSCESS, THERE IS A DIFFUSE ORGANIZATION OF THE EXUDATE IN THE SURROUNDING ALVEOLI.

FIG. XLIII. THE ALVEOLAR WALLS ARE THIN AND THE EXUDATE OF RED BLOOD CELLS AND DESQUAMATED EPITHELIUM IS IN PART HYALINIZED.

45The advent of red blood cells where grossly the exudate is red can hardly be explained by the simple process of diapedesis. Indeed, there is ample evidence that they escape by rhexis through lesions of the vascular wall. This phenomenon cannot be demonstrated in areas where a compact mass of red cells obliterates the alveolar space (Fig. XXV), but in the less firmly consolidated alveoli where red blood cells predominate (Fig. XXVI) the picture of the alveolar wall is very instructive. The capillaries may be prominent and contain red cells almost exclusively. Often the epithelium of the air space is exfoliated so that there is nothing to minimize the prominence of the engorged vessels. These capillaries, covered by such a delicate wall that rupture seems imminent, may protrude like saccular aneurysms (101) into the alveolar space (Fig. XXVI). In all probability, these sacs do rupture and this result would be one explanation for the escape of large numbers of red blood cells. In several instances such a picture was encountered, where with little reaction at the point of rupture, red cells within the vessel were continuous with an accumulation of similar cells in the alveolus. Further evidence for such rupture is offered where the vessel is collapsed. Here there is accumulation of polymorphonuclear leucocytes in the area of destruction in contrast to the well preserved red corpuscles in the remainder of the vessel (Fig. XXVI). The above pictures may be utilized in the interpretation of the outspoken foci of red hepatization which may assume infarct-like proportions. As has been said, it is impossible to conceive that these hemorrhagic areas where the alveoli are packed with red cells ever change to a grey type of consolidation. Consequently, it seems more probable that the color of red hepatization in the usual types of pneumonia depends upon the marked engorgement of the vessels seen through a relatively acellular, transparent, serofibrinous, alveolar mass and not upon the number of red cells in the exudate.

C. THE APLASTIC EXUDATE

The absence of cellular elements in the alveolar exudate is frequently observed in influenzal pneumonia (Figs. XXI, XXII, XXIII). This picture has been reproduced experimentally in animals which have been rendered aplastic with benzol, especially with reference to their myeloid elements (160). Pneumonia produced by intratracheal insufflation is more rapidly fatal in aplastic animals, and it is conceivable that the absence of cellular reaction is an explanation for the lack of resistance demonstrated by the high mortality of influenzal pneumonia. Frequently the fibrinoserous mass scattered diffusely throughout the lung is rich in bacteria. In the absence of cells of the polymorphonuclear series, the bacterial development seems to be unrestricted. The aplastic exudate is associated 46clinically with an absence of a myeloid reaction in the peripheral circulation. The leucocytic count may be definitely decreased, even though the tissues have been invaded by pyogenic organisms to which the usual response is a definite leucocytosis. The only explanation is that the myeloid structures have been injured, probably by the unknown virus of the disease.

D. THE HYALINE NECROSIS OF THE PULMONARY TISSUE

The hyalinization of the epithelium lining the ducti alveolares (47, 48) also merits special attention (Figs. V, XV, XVI). This process may extend through the wall of the duct and is often seen in the alveolar walls throughout the involved lung. The entire alveolar wall may be homogeneous in appearance, but, occasionally, the thrombus alone, which has formed in its vessels (41), presents this change (Fig. XVII). The alveolar as well as the bronchiolar wall is thickened by a homogeneous material in which cell-body and exudate cannot be differentiated. This acute necrosis, as has been mentioned, is encountered in gas poisoning but is unusual in other known types of respiratory infection. Doubtless, it is a precursor to the more destructive lesions commonly found in later stages of the disease—abscesses which extend through the bronchiolar walls (Fig. XXXI), necrotizing areas of pneumonia in which huge clumps of bacteria are found (Fig. XXXII), and true gangrene (Figs. XXXIII, XXXIV, XXXV). The destruction of the alveolar wall in the early stages of the disease plays a causal rôle in the production of subcutaneous emphysema (Figs. XVIII and XIX). This important phase of the histological change in influenzal pneumonia has received but little attention and, with one or two exceptions, is not mentioned in the literature (8, 162).

In the interpretation of this necrotization, the only helpful analogy is offered by the acute respiratory lesions following the inhalation of poisonous gases. With the aid of vital stains, it has been demonstrated that chlorine quickly initiates necrosis due to the direct action of the gas. Since necrosis also occurs with phosgene,—in the decomposition of which hydrochloric acid is probably liberated,—there is presumptive evidence that the halogen is responsible for the process. Studies are now in progress to determine the relation of the acid-producing properties of the different strains of organisms to the type and fate of the pneumonic exudate.

E. THE ORGANIZATION PROCESS

The similarity between the acute lesions of influenzal pneumonia and those following the inhalation of poisonous gases led to the prediction, in the early studies, that if the process were not terminated by death, the bronchiolar and alveolar changes would not result in a restoration of the tissue to normal, but in an organization which would in its turn bring about mechanical changes in the pulmonary tissue. This prediction has been fulfilled; obliterating bronchiolitis (Figs. XI and XLVIII), bronchiectasis (Figs. L and XII), and organizing pneumonia (47, 92, 156, 162) (Figs. XXXIX, XL, XLI, XLIV, XLV) have been encountered despite the fact that the time interval for fatalities from extraneous or subsidiary causes has been short.

FIG. XLIV. THE ALVEOLAR WALLS ARE IN PART OBLITERATED. THE ALVEOLAR EXUDATE IS ORGANIZED BUT THE FIBROUS TISSUE STRANDS ARE SPREAD APART BY EDEMA.

FIG. XLV. AUTOPSY NO. 163. ORGANIZATION OF THE ALVEOLAR EXUDATE AFTER THE SUBSIDENCE OF THE ACUTE PROCESS. COMPARE FIGURE XLIV.

47Resolution of the exudate in pneumonia, with the restoration of the tissue to normal, is a result at such variance with the usual fate of an inflammatory exudate, that it has attracted a great deal of attention. Perhaps the most striking results of the study of this subject have been published recently by Kline (69). Arguing from previous experiments (70) in which it was demonstrated that the circulation of the pneumonic lung is impaired, and that for this reason sufficient serum cannot reach the exudate to inhibit the proteolytic action of leucocytic ferments, Kline introduced normal serum into the consolidated lung by the tracheal route, and showed conclusively that this resulted in an organization of the alveolar exudate. This, of course, might explain resolution, but it is difficult to see without further study how serum can reach the exudate to inhibit autolysis, and in this way stimulate organization, in one case of pneumonia and not in another.

Comparison with certain processes in other portions of the body suggest the nature of this stimulus to organization in pneumonia. For example, it is well known that epithelial necrosis of the liver that results from chloroform is followed by a restitution of the organ to normal. On the other hand, if the liver necrosis is produced by a chemical agent plus a bacterial one, the destructive lesion not only involves the liver cell, but extends to the framework of the organ and terminates in a cirrhosis. Unquestionably, the difference between the reaction after the chemical alone and that after chemical plus bacterial injury is a more extensive destruction in the latter case resulting in a stimulation of all the elements of the organ, including liver cell, connective tissue, and blood vessel. The connective tissue and vascular elements have a greater capacity to regenerate than has the liver cell; consequently, granulations form which impede the less active reparative process of the hepatic cell. If this comparison be applied to the pulmonary changes in influenza and after the inhalation of poisonous gases, it will be seen that in both processes the initial damage is extensive, as has been indicated in the discussion of necrotization. Where the lesion is superficial, tracheal, bronchial, and alveolar epithelia rapidly regenerate and restore the injured surface. Where, however, the lesions are more extensive, alveolar and bronchiolar exudates are transformed into granulation tissue, even though the epithelium may manifest unusual activity in its attempt to repair a denuded area.

48

VI. INFECTION AS A POSSIBLE ETIOLOGICAL FACTOR FOR MALIGNANT NEW GROWTHS

It is rare to see such activity on the part of the epithelium as that frequently encountered in influenza. The alveoli may be lined by newly formed cubical cells (Figs. IV, XI, XLVII), and mitotic figures in the injured bronchiolar lining occur in abundance. This might lead to the supposition that, if the epithelium were restricted in its path of development, it would pile up to form a typical nest, just as the epithelium at the edge of a healing chronic ulcer of the skin may pile up and extend fairly deep into the tissue. In a number of cases, epithelial proliferation has been so extensive that it could not be differentiated histologically from an invasive, malignant neoplasm (47) (Figs. XLVIII and XLIX). There is no reason to believe that malignancy might not result from the continuous stimulation of the epithelium to proliferate, in the chronic inflammatory process of the lung in influenza, just as chronic infection in the lung of a mouse results in a much higher percentage of spontaneous neoplasms of the respiratory tract in this species (132) than in those animals where chronic pulmonary inflammatory processes are uncommon. It will be interesting, indeed, to see whether, as a late manifestation, there is an increase in the number of now relatively rare epithelial new growths in the respiratory tract of man.

FIG. XLVI. AUTOPSY NO. 128. THE ORGANIZATION IS HERE LARGELY CONFINED TO THE INTERSTITIAL TISSUE. THE ALVEOLI ARE DISTORTED AND COMPRESSED, AND THEIR EPITHELIUM HAS ASSUMED A CUBICAL FORM.

FIG. XLVIII. AUTOPSY NO. 183. THIS DRAWING SHOWS A DILATED BRONCHUS UNDERGOING OBLITERATIVE BRONCHIOLITIS. THE EXUDATE IN THE SURROUNDING LUNG TISSUE IS BEING ORGANIZED. THE EPITHELIUM OF THE BRONCHUS IS MANY LAYERS THICK AND HAS INVADED THE SURROUNDING LUNG TISSUE. IT HAS THE APPEARANCE OF AN INFILTRATING EPITHELIAL NEOPLASM. COMPARE FIGURES XI AND XLI.

49

VII. THE BACTERIOLOGY OF INFLUENZAL PNEUMONIA

A. ORGANISMS ASSOCIATED WITH INFLUENZAL PNEUMONIA

Certain conclusions may be drawn from the literature on the bacteriology of the respiratory lesions associated with influenza. All reports show that a few organisms have been found more or less constantly in influenza and influenzal pneumonia: the pneumococcus group, the streptococci (hemolytic, non-hemolytic, pandemicus, etc.) and the Pfeiffer bacillus. They may occur alone, together, or with less frequently found organisms. Among the latter, the staphylococcus, the Micrococcus catarrhalis, Bacillus pneumoniæ (Friedlander), diphtheroids, and undetermined organisms, all have been reported (2, 48, 62, 67, 68, 92).

Another feature has been the variation of the predominating organism, or organisms, in different localities, and in the same locality at different times. For example, Wolbach (162) at Camp Devens, Massachusetts, demonstrated the Pfeiffer bacillus at autopsy in twenty-three out of twenty-eight cases. In fourteen, it was in pure culture. Keegan (67) at Chelsea, Massachusetts, also found it in eighty-two per cent of the lungs at necropsy, in thirty-one per cent of which it was in pure culture. MacCallum (92), working at Camp Lee, Virginia, found the pneumococcus, Type IV, the predominating organism and rarely the Pfeiffer bacillus. “At the Johns Hopkins Hospital similar methods revealed no influenza bacilli whatever.” At Camp Dix, New Jersey, however, MacCallum found the Pfeiffer bacillus in every case. At Camp Grant, Illinois, Hirsch and McKinney (60) state that the epidemic was due to a virulent strain of pneumococcus and that the Pfeiffer bacillus played no rôle. At the Puget Sound Navy Yard, Ely and co-workers (37) did not find the Pfeiffer bacillus; they attributed the epidemic to the hemolytic streptococcus. Goodpasture (48), working at the same hospital as Keegan, reports that the bacteria found in December, 1918, and January, 1919, were different from those found in the early months of the epidemic, inasmuch as in the latter group the hemolytic streptococcus was found in one hundred per cent of the cases and the Pfeiffer bacillus in twelve per cent. The foreign literature shows similar variations in the bacteriology.

The organisms associated with influenzal pneumonia are the so-called “mouth organisms.” They are not only found in the mouths and upper air passages of the influenza patients, but also in those of normal individuals. This points to the fact that the bacteria of the mouth have gained access to the lung, probably already injured by a primary agent, in sufficient numbers to bring about a serious inflammatory process. In this connection it is of interest to note the relatively high frequency of the mouth organisms, pneumococcus, Types III and IV, in influenzal pneumonia as compared to the less frequent mouth inhabitants, Types I and II, which are responsible for two-thirds of the cases of true lobar pneumonia (5, 45, 92, 121).

50Only the eighty-two cases at the New Haven Hospital are included in the following report. Routine post-mortem cultures were taken from blood, lung, serous fluid wherever present, and exudates from the trachea and bronchi in the later cases. Blood and serous fluids were cultured into neutral infusion broth and plated on blood agar after twelve to thirty-six hours’ incubation. Lung and bronchial cultures were streaked on blood agar plates and for the last third of the series on Avery’s oleate media. Cultures were examined on each successive day and were discarded only after one week. Undoubtedly, we have failed to find B. influenzæ in many of the earlier cases because of lack of familiarity with the organism, of variations in its morphology (33), and of unsuitable culture media. The organisms tabulated below include only those determined by cultural methods; those found by direct smears or in histopathological preparations are not considered. (See Table No. I.)

B. THE RELATION OF THE TYPE OF ORGANISM TO PLEURAL INVOLVEMENT

The hemolytic streptococcus has been found frequently in association with purulent pleural effusions in influenza, Thomas (146), Stone and Swift (138), Ely et al (37); and Goodpasture (48) has suggested an etiologic relationship between the type of effusion and the infecting organism in influenza, as has been brought forward for the similar post-measles empyema in the army camps. At the New Haven Hospital the Streptococcus hemolyticus was found frequently in non-fatal empyema. However, at post-mortem examination the frequency of this organism in pleural effusions of various types was no greater than that of several other organisms, but it occurred in the only two cases of frank empyema of this series. (See Table No. II.)

C. THE RELATION OF DIFFERENT ORGANISMS TO THE TYPE OF PNEUMONIA

Various observers have emphasized the types of organism associated with different gross and microscopic manifestations of influenzal pneumonia. Pfeiffer described the peribronchial type with purulent bronchitis, from which the influenza bacillus was isolated, and the same association has been noted by MacCallum (92), Wolbach (162), Wegelin (156), Dietrich (34), and others. Opie et al (110), however, in a series from which B. influenzæ was isolated in over eighty-five per cent of the necropsies rarely found this picture. Wolbach states that the gross anatomical picture in influenzal pneumonia is similar to that following measles, from which a hemolytic streptococcus has been isolated in a high percentage of cases. MacCallum (93) classified this type as interstitial pneumonia. It is interesting to note that interstitial pneumonia has been rare in many localities where the hemolytic streptococcus has been prevalent during the past year. Stone and Swift (138) state that “despite the prevalence of the streptococcus at necropsy, only eight instances of so-called interstitial pneumonia were found in a series of fifty-five cases,” and Goodpasture (48) failed to find a single example in a series of sixteen cases. The pneumococci Types I and II, frequently encountered in the usual forms of lobar pneumonia, have been found exceptionally in this epidemic. Type II, however, has been reported (67, 107) present in about the same proportion as in true lobar pneumonia (5). Chickering and Park (25) described a series of cases of pneumonia due to the staphylococcus characterized by multiple miliary abscesses. Necrotization and abscess formation, however, have been striking features of the pathology of this epidemic, even when the staphylococcus has not been demonstrable. Recently Wadsworth (154) demonstrated experimentally that organization in pneumonia does not result from the pneumococcus or the staphylococcus alone, but only follows when both organisms are associated. On the contrary, Blanton and Irons (12) found that “there was no difference to be made out in the nature of the process caused by the streptococcus, pneumococcus, or influenza bacillus.”

FIG. XLVII. AUTOPSY NO. 100. PROLIFERATION OF THE ALVEOLAR EPITHELIUM IN A PORTION OF THE LUNG ONLY SLIGHTLY INVOLVED BY THE ACUTE INFLAMMATORY PROCESS. COMPARE FIGURES IV, XI, XLVIII, AND XLIX.

HELIOTYPE CO. BOSTON

51
TABLE I.
Post Mortem Bacteriology.
Acute Fulminating
(34 cases)
Necrotizing
(36 cases)
Organizing
(12 cases)
Total All Types
(82)
Blood Lung Pleural fluid Trachea and Bronchi Total Cases Blood Lung Pleural fluid Trachea and Bronchi Total Cases Blood Lung Pleural fluid Trachea and Bronchi Total Cases Total Per cent.
Strep. hemolyticus 8 12 7 2 12 8 9 3 1 9 7 8 5 3 8 29 35.4
Strep. non-hemolyticus   7     7 2 5 1 5 5         0 12 14.6
Strep. “viridans”         0   2 1 2 2         0 2 2.4
Strep. mucosus capsulatus         0         0 1 1 1   1 1 1.2
Pneumococcus Type II 3 4 3 1 4 3 4 1 2 4 1 3   1 3 11 13.4
Pneumococcus Type III 4 4 3   4   2 1   2 1 1     1 7 8.6
Pneumococcus Type IV 4 6 2 3 6 6 11 2 5 11   1   1 1 18 22.
Pneumococcus (Type undetermined) 2 3     3 3 2 5   5         0 8 9.7
B. influenzæ 1 4   2 5 1 12 0 4 12 1 1     2 19 23.
Staphylococci   3 2 2 4 1 9 3 4 9   6   2 6 19 23.
B. mucosus capsulatus   1 1   1   2 1 1 2         0 3 3.7
M. catarrhalis   2   1 2   2   2 2         0 4 4.9
Diphtheroids   1     1         0   1   1 1 2 2.4
Enterococcus   1     1         0         0 1 1.2
52
TABLE II.
Bacteriology of Pleural Exudates.
Acute Fulminating (34) Necrotizing (36) Organizing (12) Total (All Types) (82)    
Fi­brin­ous Ser­o­fi­brin­ous Ser­o­fi­bri­no­pu­ru­lent Em­py­e­ma To­tal Fi­brin­ous Ser­o­fi­brin­ous Ser­o­fi­bri­no­pu­ru­lent Em­py­e­ma To­tal Fi­brin­ous Ser­o­fi­brin­ous Ser­o­fi­bri­no­pu­ru­lent Em­py­e­ma To­tal Fi­brin­ous Ser­o­fi­brin­ous Ser­o­fi­bri­no­pu­ru­lent Em­py­e­ma To­tal To­tal num­ber of cas­es with pos­i­tive cul­tures Ef­fu­sion pre­sent per­cent.
Strep. hemolyticus 1 5 2   8 3 2 1   6 1 1 3 2 7 5 8 6 2 21 29 55%
Strep. non-hemolyticus 1   2   3 1 2 1   4         0 2 2 3   7 12 42%
Strep. “viridans”         0 1 1     2         0 1 1     2 2 50%
Strep. mucosus capsulatus         0         0     1   1     1   1 1 100%
Pneumococcus Type II. 2 1 1   4 2 1 1   4     1 1 2 4 2 3 1 10 11 54%
Pneumococcus Type III.   2 1   3     2   2         0   2 3   5 7 71%
Pneumococcus Type IV. 1 2 2   5 5 4 2   11   1   1 2 6 7 4 1 18 18 67%
Pneumococcus (Type undetermined)         0 1 1 2   4         0 1 1 2   4 8 37.5%
B. influenzæ 1 1 2   4 5 4 2   11 1   1   2 7 5 5   17 19 52%
Staphylococci     3   3 3 3 3   9 1 1 1 1 4 4 4 7 1 16 19 63%
B. mucosus capsulatus   1     1     1   1         0   1 1   2 3 67%
Number of cases of pleurisy 3 12 6   21 13 7 10   30 1 1 5 2 9 17 20 21 2 60    
Percent of cases showing excess of Pleural fluid.         53%         47%         67%         52.4%   52.4%

FIG. XLIX. AUTOPSY NO. 122. HIGHER POWER ILLUSTRATION OF EPITHELIAL PROLIFERATION AS ILLUSTRATED IN FIGURE XLVIII.

FIG. LII. AUTOPSY NO. 107. THROMBUS ASSOCIATED WITH AN ACUTE INFLAMMATION IN THE WALL OF A PULMONARY ARTERIOLE.

FIG. L. AUTOPSY NO. 209. BRONCHIECTATIC CAVITIES AT THE BASE OF A LUNG. THE HISTOLOGY OF THIS LESION IS ILLUSTRATED IN FIGURE XII.

53
TABLE III.—Bacteriology in Relation to the Pneumonia.
Acute Fulminating (34) Necrotizing (36) Organizing (12) (82)
Lo-bar Pseu-do-lo-bar Per-i-bron-chi-al Lob-u-lar To-tal Lo-bar Pseu-do-lo-bar Per-i-bron-chi-al Lob-u-lar To-tal Lo-bar Pseu-do-lo-bar Per-i-bron-chi-al Lob-u-lar To-tal To-tal
Strep. hemolyticus   1   4 5       4 4 1 1     2 11
Strep. hemolyticus and Pneumococcus II         0         0 1     1 2 2
Strep. hemolyticus and Pneumococcus IV       1 1       1 1         0 2
Strep. hemolyticus and Pneumococcus IV and staphylococci         0         0     1   1 1
Strep. hemolyticus and Strep. non-hemolyticus       1 1         0         0 1
Strep. hemolyticus and B. influenzæ   1   1 2         0         0 2
Strep. hemolyticus, B. influenzæ and Strep. non-hemolyticus         0       1 1         0 1
Strep. hemolyticus, B. influenzæ and staphylococci         0         0       1 1 1
Strep. hemolyticus and staphylococci       2 2       2 2     1 1 2 6
Strep. hemolyticus and M. catarrhalis         0       1 1         0 1
Strep. hemolyticus, M. catarrhalis and B. mucosus capsulatus       1 1         0         0 1
Strep. non-hemolyticus       3 3 1       1         0 4
Strep. non-hemolyticus, Pneumococcus II and staphylococci         0       1 1         0 1
Strep. non-hemolyticus, Pneumococcus IV and staphylococci       1 1         0         0 1
Strep. non-hemolyticus and staphylococci         0       1 1         0 1
Strep. non-hemolyticus and B. mucosus capsulatus         0   1     1         0 1
Strep. non-hemolyticus and M. catarrhalis       1 1         0         0 1
Strep. non-hemolyticus and diphtheroids       1 1         0         0 1
Strep. mucosus capsulatus         0         0 1       1 1
Strep. “viridans” and Pneumococcus IV         0       1 1         0 1
Strep. “viridans,” Pneumococcus IV and staphylococci         0       1 1         0 1
Pneumococcus Type II       3 3       1 1         0 4
Pneumococcus Type III       4 4 1       1         0 5
Pneumococcus Type IV       2 2     1 1 2         0 4
Pneumococcus (Type undetermined)       3 3       3 3         0 6
Pneumococcus Type II and B. influenzæ       1 1         0     1   1 2
Pneumococcus Type II and B. mucosus capsulatus         0       1 1         0 1
Pneumococcus Type II and staphylococci         0       1 1         0 1
Pneumococcus Type III and B. influenzæ         0       1 1         0 1
Pneumococcus Type III and staphylococci         0         0   1     1 1
Pneumococcus Type IV and B. influenzæ       2 2   3   3 6         0 8
Staphylococci         0         0       1 1 1
Staphylococci and B. influenzæ         0       1 1         0 1
Staphylococci, B. influenzæ and M. catarrhalis         0       1 1         0 1
B. influenzæ and Pneumococcus (Type undetermined)         0       2 2         0 2
B. influenzæ and a pleomorphic diplococcus         0       1 1         0 1
Enterococcus       1 1         0         0 1

54The type of the pneumonic process, as well as the invading organism, has varied widely in different localities. From the foregoing brief survey, it will be seen that before the associations suggested above can be proven, much more definite evidence must be presented.

An attempt has been made to correlate the bacteriological findings in this series with the distribution and type of pneumonic process. These are tabulated in Table III. It will be seen at a glance that no relationship is demonstrable between the type of single or associated organisms and the distribution of the pneumonia, whether it is lobar, pseudolobar, peribronchial or lobular and whether acute fulminating, necrotizing or organizing. (See Table No. III.)

D. SUMMARY AND DISCUSSION

The confusion which exists in associating different bacterial types with well defined and characteristic anatomical lesions is true, not only for the disease as it occurs spontaneously in man, but also for its reproduction in experimental animals. A review of the literature teaches that not all of the factors concerned in producing the different anatomical types are known.

Pertinent experimental studies were reported recently by Blake and Cecil from the Army Medical School in Washington. One cubic centimeter of a very virulent pneumococcus (M. L. D. for a mouse in forty-eight hours equals one-millionth of 1 cubic centimeter) inoculated in monkeys through the skin of the neck into the trachea just beneath the larynx has uniformly produced a lobar pneumonia, clinically as well as anatomically the nearest experimental approach to spontaneous lobar pneumonia of man. This work indicates, not only the possible importance the species may play, but also points to the rôle of the infecting organism which, when sufficiently virulent, incites a characteristic reaction even when inoculated in a minimal quantity into the trachea as distinct from the bronchioles or lung tissue.

Pneumonia unassociated with a simultaneous or preliminary incapacitation of the mechanism of the upper respiratory tract, differs from the pulmonary lesions encountered after measles, gas poisoning, influenza, etc., and those experimentally produced by intrabronchial insufflations. In the lobar type the virulence of the infecting organism, combined perhaps with species variation,—implying as this does different capacities for reaction on the part of the host,—seems to be the fundamental principle. It remains to be determined whether other organisms of equal virulence with that of the pneumococcus are capable of producing characteristic anatomical reactions when inoculated in a similar manner.

In the other group, where there is not only a free ingress to the pulmonary parenchyma by the bacteria of the mouth, but where there is, in all probability, also a simultaneous or preliminary pulmonary damage furnishing a proper medium for relatively innocuous organisms, the lesion of response will surely depend upon other factors as much as upon the infecting organism. Among these obscure factors, the most important, unquestionably, is the extent of the damage to the lung tissue before the entry of the organisms, or simultaneously with it, into this area. The systemic capacity to compensate also must be considered.

FIG. LI. AUTOPSY NO. 194. A LUNG IN WHICH INFLUENZAL PNEUMONIA AND PULMONARY TUBERCULOSIS ARE ASSOCIATED. THERE IS A CIRCUMSCRIBED, OLD, TUBERCULOUS FOCUS IN THE UPPER LOBE. COMPARE FIGURES XXXIX AND XL.

55

VIII. CONCLUSIONS

The etiology of influenza is unknown.

The portal of entry of the inciting cause is likewise undetermined.

The respiratory lesions, whether primary or secondary, are responsible for the high mortality of the disease.

The lesions of the respiratory tract peculiar to this disease and most frequently encountered are:

An acute tracheobronchitis associated with diffuse involvement of the pulmonary parenchyma.

Hyalinization of the epithelium of the air passages, and necrosis of the alveolar walls with extensive interstitial emphysema and occasionally with pneumothorax.

Dilatation of the terminal bronchioles.

Aplastic serofibrinous, and hemorrhagic, pneumonic exudates.

Necrotizing and organizing bronchiolitis, and pneumonia: lobar, lobular, peribronchial, interstitial.

The sequelæ—obliterating bronchiolitis and bronchiolectasis.

Proliferation of alveolar and bronchiolar epithelium.

The extrarespiratory lesions of influenza are neither constant nor characteristic. Irrespective of localization, they have the same fundamental pathology characterized by:

Vascular damage.

Hemorrhage.

Organization with or without infection.

A basis for the interpretation of the respiratory lesions of influenza is offered by the analogous changes in the respiratory tract initiated by the inhalation of poisonous gases.

The respiratory lesions are dependent primarily upon the damage produced by the true etiological agent and the systemic capacity to compensate, and only secondarily upon invasion by the bacterial flora of the mouth and inspired air.

56

BIBLIOGRAPHY

1. Abrahams, Hallows, Eyre, and French: Purulent Bronchitis; Its Influenzal and Pneumococcal Bacteriology;—Lancet, 1917, 193, 377.

2. Abrahams, Hallows, and French: A Further Investigation into Influenzo-Pneumococcal and Influenzo-Streptococcal Septicæmia;—Lancet, 1919, 196, 1.

3. Askanazy: Über die Veränderungen der grossen Luftwege, besonders ihre Epithel-Metaplasie bei der Influenza;—Corr. Blatt f. Schweizer Aerzte, 1919, 49, 465.

4. Averill, Young, and Griffiths: The Influenza Epidemic in a Camp;—Brit. Med. J., 1918, 2, 111.

5. Avery, Chickering, Cole, and Dochez: Acute Lobar Pneumonia;—Monograph of the Rockefeller Institute, No. 7.

6. Ballin: Empyema Following Influenzal Pneumonia;—J. A. M. A., 1919, 72, 335.

7. Beals, Blanton, and Eisendrath: Abdominal Complications of the Influenza Epidemic at Camp Custer;—J. A. M. A., 1919, 72, 850.

8. Berkley and Coffen: Generalized Interstitial Emphysema and Spontaneous Pneumothorax;—J. A. M. A., 1919, 72, 535.

9. Bernhardt: Zur Aetiologie der Grippe, 1918;—Med. Klin., 1918, 14, 683.

10. Bircher: Zur Grippe Epidemie;—Corr. Blatt f. Schweizer Aerzte, 1918, 48, 1338.

11. Bland: Influenza in Relation to Pregnancy;—Am. J. of Obs., 1919, 79, 184.

12. Blanton and Irons: Recent Epidemic Respiratory Disease at Camp Custer;—J. A. M. A., 1918, 71, 1988.

13. Blanton, Burhans, and Hunter: Studies in Streptococcic Infections at Camp Custer;—J. A. M. A., 1919, 72, 1520.

14. Bloomfield and Harrop: Clinical Observations on Epidemic Influenza;—Bull. Johns Hopk. Hosp., 1919, 30, 1.

15. Borst: Pathologisch-anatomische Beobachtungen zur “spanischen Grippe” 1918;—Mün. med. Wchnschr., 1918, 65, 1342.

16. Bradford, Bashford, and Wilson: Preliminary Report on the Presence of “Filter Passing” Virus in Certain Diseases;—Brit. Med. J., 1919, 1, 127.

17. Brem, Bolling, and Casper: Pandemic Influenza and Secondary Pneumonia at Camp Fremont;—J. A. M. A., 1918, 71, 2138.

18. Brewer: Report of Spanish Influenza which Occurred at Camp A. A. Humphrey, Va.;—J. Lab. & Clin. Med., 1918, 4, 87.

19. British Med. Res. Com: Abstracts of Foreign Literature on Influenza;—J. A. M. A., 1918, 71, 1573.

20. Bureau of Census Report: (Sept. 14,-Nov. 30, 1918) Science; 1918, 48, 594.

21. Bureau of Census Report: (Sept. 14,-Jan. 25, 1919) Science; 1919, 49, 142.

22. Camp Lewis Pneumonia Unit: The Relation of Bronchopneumonia to Influenza;—J. A. M. A., 1919, 72, 268.

23. Champtaloup, S. T., and Drennan, A. M.: A Preliminary Report on the Recent Influenza Epidemic in Dunedin, New Zealand;—Med. J. Australia, 1919, 1, 63.

24. Cheesman, T. M., and Meltzer, S. J.: An Experimental Study of the Direct Inoculation of Bacteria into the Spleen of Living Animals; and a Contribution to the Knowledge of the Importance of a Lesion in Animal Tissue for the Lodgment and Multiplication of Bacteria within it;—J. Exp. Med., 1898, 3, 533.

FIG. LIII. AUTOPSY NO. 163. PULMONARY EMBOLUS.

FIG. LIV. (AUTOPSY NO. 20. U. S. GENERAL HOSPITAL.) ILLUSTRATES THE CHANGE IN THE BRONCHIAL LYMPH GLANDS. NOTE THE PHAGOCYTOSIS WITHIN THE SINUSOIDS AS WELL AS THE MEGALOKARYOCYTES AND THE MITOTIC FIGURES IN THE CELLS LINING THE CHANNELS.

5725. Chickering and Park: Staphylococcus aureus Pneumonia at Camp Jackson;—J. A. M. A., 1919, 72, 617.

26. Christian: Incorrectness of Diagnosis of Death from Influenza;—J. A. M. A., 1918, 71, 1565.

27. Clark and Synnott: Influenza-Pneumonia Showing Gas in Facial Tissues;—Am. J. Med. Sci., 1919, 157, 219.

28. Coray: Ueber kruppartige Affektionen bei Influenza;—Corr. Blatt f. Schweizer Aerzte, 1919, 49, 474.

29. Corper, H. J., and Downing, E. D.: The Influenza Epidemic in a Tuberculosis Hospital;—Am. Rev. Tuber., 1919, 3, 10.

30. Darling: Bacteriology and Epidemiology of Influenza;—Am. J. Pub. Health, 1918, 8, 751.

31. Davis: Influenza and Influenzal Pneumonia;—Arch. Int. Med., 1908, 2, 124.

32. Dever, Boles, and Case: Influenza at the U. S. Naval Hospital, League Island, Pa.;—J. A. M. A., 1919, 72, 265.

33. Dick and Murray: Morphology of Influenza Bacillus;—J. A. M. A., 1918, 71, 1568.

34. Dietrich: Pathologische-anatomische Beobachtungen über Influenza im Felde;—Mün. med. Wchnschr., 1918, 65, 928.

35. Ecker: Isolation of Pfeiffer’s Bacillus from Sputum;—J. A. M. A., 1918, 71, 1482.

36. Eichhorst: Ueber das Influenza Herz;—Corr. Blatt f. Schweizer Aerzte, 1919, 49, 225.

37. Ely, Lloyd, Hitchcock, Nickson: Influenza as Seen at the Puget Sound Navy Yard;—J. A. M. A., 1919, 72, 24.

38. Erdheim: Der pathologische-anatomische Bild der Grippe;—Wien. med. Wchnschr., 1918, 31, 1971.

39. Farrar, L. K. P.: The Visitations of Influenza and its Influence upon Gynecologic and Obstetric Conditions;—Am. J. Obs., 1919, 79, 229.

40. Fildes, Baker, and Thompson: Provisional Notes on the Pathology of the Present Epidemic;—Lancet, 1918, 195, 697.

41. Fischer: Pathologische Anatomie der epidemischen Grippe;—Mün. med. Wchnschr., 1918, 65, 1303.

42. Flusser: Pathologie und Klinik der Grippe 1918;—Wien. klin. Wchnschr., 1918, 31, 1133.

43. Forbes and Snyder: Study of the Leucocytes in an Epidemic of Influenza;—J. Lab. & Clin. Med., 1918, 3, 758.

44. French, H.: “Influenza” (Clinical Lecture);—Guys Hospital Gazette, 1919, 33, 118.

45. Friedlander, McCord, Sladen, and Wheeler: The Epidemic of Influenza at Camp Sherman;—J. A. M. A., 1918, 71, 1652.

46. Gibson, Bowman, and Connor: A Filterable Virus as the Cause of the Early Stage of the Present Epidemic of Influenza; Prelim. Rep.—Brit. Med. J., 1918, 2, 645.

47. Glaus and Fritzsche: Über den Sektion befund bei der Gegenwärtigen Grippe Epidemie unter besonderer Berücksichtigung der Mikroskopischen Befund;—Corr. Blatt f. Schweizer Aerzte, 1919, 49, 72.

48. Goodpasture: Bronchopneumonia due to Hemolytic Streptococci following Influenza;—J. A. M. A., 1919, 72, 724.

49. Gotch and Whittingham: A Report of the Influenza Epidemic of 1918;—Brit. Med. J., 1918, 2, 82.

50. Gruber and Schädel: Zur pathologischen Anatomie und zur Bakteriologie der influenzaartigen Epidemie im Juli, 1918;—Mün. med. Wchnschr., 1918, 65, 905.

51. Hall and Dyas: Appendicitis at Camp Logan as a Sequel to Influenza and Pneumonia;—J. A. M. A., 1918, 72, 726.

52. Hall, Stone and Simpson: Epidemic of Pneumonia following Influenza at Camp Logan;—J. A. M. A., 1918, 71, 1986.

53. Hamilton and Leonard: Acquired Immunity to Influenza;—J. A. M. A., 1919, 72, 854.

5854. Hamman, L. V.: Discussion on Influenza;—Bull. Johns Hopk. Hosp., 1919, 30, 112.

55. Hammond, Rolland, and Shore: Purulent Bronchitis;—Lancet, 1917, 193, 41.

56. Harris, D. T.: Some Observations on the Recent Influenza Epidemic;—Lancet, 1918, 195, 877.

57. Harris, J.: Influenza Occurring in Pregnant Women;—J. A. M. A., 1919, 72, 978.

58. Hedinger, E.: Zur Pathologie und Bacteriologie der Grippe;—Corr. Blatt f. Schweizer Aerzte, 1919, 49, 554.

59. Hewlett and Alberty: Influenza at a Navy Base Hospital in France;—J. A. M. A., 1918, 71, 1056.

60. Hirsch and McKinney: Epidemic of Bronchopneumonia at Camp Grant, Prel. Bact. Rep.;—J. A. M. A., 1918, 71, 1735.

61. Hirschbruch: Ueber die Ansteckende Lungenentzündung;—Deut. med. Wchnschr., 1918, 44, 935.

62. Howard, S. E.: Bacteriological Findings in Epidemic Influenza;—Bull. Johns Hopk. Hosp., 1919, 30, 13.

63. Howard, Wm. T.: Bull. Johns Hopk. Hosp., 1919, 30, 111.

64. Hunt: Notes on Symptomatology and Morbid Anatomy of so-called Influenza with Special Reference to the Diagnosis;—Lancet, 1918, 195, 419.

65. Influenza Committee of the Advisory Board to the D. G. M. S., France; The Influenza Epidemic in the British Armies in France;—Brit. Med. J., 1918, 2, 505.

66. Jaffé: Zur pathologische Anatomie der Influenza 1918;—Wien. klin. Wchnschr., 1918, 31, 1203.

67. Keegan: The Prevailing Pandemic of Influenza;—J. A. M. A., 1918, 71, 1051.

68. Kinsella: Bacteriology of Epidemic Influenza and Pneumonia;—J. A. M. A., 1919, 72, 717.

69. Kline, B. S.: Experimental Study of Organization in Lobar Pneumonia;—J. Exp. Med., 1917, 26, 239.

70. Kline, B. S., and Winternitz, M. C.: Studies upon Experimental Pneumonia in Rabbits;—J. Exp. Med., 1915, 21, 311.

71. Knack: Das Verhalten der Nieren bei der Grippe;—Med. Klin., 1918, 14, 902.

72. Kosmak: Occurrence of Epidemic Influenza in Pregnancy;—Am. J. Obs., 1919, 79, 238.

73. Krumbhaar, E. B.: The Bacteriology of the Prevailing Epidemic;—Lancet, 1918, 195, 123.

74. Lacy: B. influenzæ in Sinusitis and Meningitis;—J. Lab. & Clin. Med., 1918, 4, 55.

75. Lamar, R. V., and Meltzer, S. J.: Experimental Pneumonia by Intrabronchial Insufflation;—J. Exp. Med., 1912, 15, 133.

76. Lamb: Primary and Post-Influenzal Pneumonia;—J. A. M. A., 1919, 72, 1133.

77. Lamb and Brannin: The Epidemic Respiratory Infection at Camp Cody;—J. A. M. A., 1919, 72, 1056.

78. LeCount: The Pathologic Anatomy of Influenzal Bronchopneumonia;—J. A. M. A., 1919, 72, 650.

79. LeCount: Disseminated Necrosis of the Pulmonary Capillaries in Influenzal Pneumonia;—J. A. M. A., 1919, 72, 1519.

80. Leslie, R. M.: Discussion on Influenza;—Proc. Royal Soc. Med., 1919, 12, 67.

81. Levy: Hämatologisches zur Grippe-Epidemie;—Deut. med. Wchnschr., 1918, 44, 972.

82. Leichtenstern: Influenza;—Nothnagel’s Specielle Pathologie, 1896.

83. Little, Garofalo, and Williams: Absence of B. influenzæ from the Upper Air Passages in the Present Epidemic;—Lancet, 1918, 2, 34.

84. Locke, Rönne, and Lande: Clinical Aspects of the Recent Influenzal Epidemic;—Boston Med. & Surg. J., 1919, 180, 124.

85. Lord: The Etiology of an Epidemic of Influenza;—J. Med. Res., 1908, 19, 295.

86. Lord: Influenza;—Osler and McCrae, Modern Medicine, Vol. 1.

87. Lord: Eleven Acute and Eighteen Chronic Cases of Influenza;—Boston Med. & Surg. J., 1902, 147, 662.

FIG. LVI. AUTOPSY NO. 135. ACUTE HEMORRHAGIC MYOSITIS (ZENKER’S NECROSIS).

COMPARE FIG. LVII.

HELIOTYPE CO. BOSTON

5988. Lord, Scott, and Nye: Relation of the Influenza Bacillus to the Recent Epidemic of Influenza;—J. A. M. A., 1919, 72, 188.

89. Löwenfeld: Pathologisch-anatomische und bacteriologische Befund bei der Spanischer Grippe;—Wien. klin. Wchnschr., 1918, 31, 1274.

90. Lyon: Gross Pathology of Epidemic Influenza at the Walter Reed General Hospital;—J. A. M. A., 1919, 72, 924.

91. Lyon, I. P., Tenney, and Szerlip: Some Clinical Observations on the Influenza Epidemic at Camp Upton;—J. A. M. A., 1919, 72, 1726.

92. MacCallum: Pathology of the Pneumonia following Influenza;—J. A. M. A., 1919, 72, 720.

93. MacCallum: The Pathology of the Pneumonia in the United States Army Camps during the Winter of 1917–1918;—Monograph of the Rockefeller Institute, No. 10.

94. MacKenzie: Influenza as Affecting the Respiratory System;—Practitioner, 1919, 102, 53.

95. Malloch: Discussion on Influenza;—Proc. Roy. Soc. Med., 1919, 12, 45.

96. Manges, M.: Symptomatology of the Prevailing Epidemic “Influenza”;—N. Y. Med. J., 1918, 108, 722.

97. Matthews: Preparing Medium for the Culture of Pfeiffer’s Influenza Bacillus;—Lancet, 1918, 195, 104.

98. McIntosh: The Incidence of B. influenzæ in the Present Influenza Epidemic;—Lancet, 1918, 195, 695.

99. McMeekin: The Present Epidemic of Influenza;—Med. J. Australia, 1919, 1, 209.

100. Medalia and Major: Influenza Epidemic at Camp McArthur: Etiol., Bact., Path., and Sp. Ther.;—Boston Med. & Surg. J., 1919, 180, 323.

101. Menetrier, M. P.: Bronchopneumonia à B. de Pfeiffer; Bull. de l’Acad. de Med., 1919, 81, 99.

102. Mix, C. L.: Spanish Influenza in the Army;—N. Y. Med. J., 1918, 108, 709.

103. Moore, Sir John: Influenza from a Clinical Standpoint;—Practitioner, 1919, 102, 26.

104. Nammack, C. E.: Clinical Features of the Recent Influenza Epidemic;—Med. Rec., 1918, 94, 1103.

105. Netter, M. A: L’Epidemie d’Influenza de 1918;—Presse Med., 1918, 26, 511.

106. Nicolle and Lebailly: Le Microbe de la Grippe; Communication à l’Academie des Sciences par l’intermediare de M. le Professeur Roux;—Presse Med., 1918, 26, 537.

107. Nuzum, Pilot, Stangl, and Bonar: Pandemic Influenza and Pneumonia in a Large Civil Hospital;—J. A. M. A., 1918, 71, 1562.

108. Oberndorfer: Ueber die pathologische Anatomie der Influenza-artigen Epidemie;—Mün. med. Wchnschr., 1918, 65, 811.

109. Opie, Freeman, Blake, Small, and Rivers: Pneumonia at Camp Funston:—J. A. M. A., 1919, 72, 108.

110. Opie, Freeman, Blake, Small, and Rivers: Pneumonia following Influenza;—J. A. M. A., 1919, 72, 556.

111. Orteconi, Barbie, et LeClerc: Contribution à l’Etude de la Flore Microbienne de la Grippe;—Presse Med., 1918, 26, 508.

112. Orth: Thrombosen bei der Spanischen Krankheit;—Deut. med. Wchnschr., 1918, 44, 1298.

113. Park, Wm. H.: Bacteriology and Possibility of Influenzal Vaccine as a Prophylactic;—N. Y. Med. J., 1918, 108, 621.

114. Park, Wm. H., and Williams, A. W., et al: Studies on the Etiology of the Pandemic of 1918;—Am. J. Pub. Health, 1919, 9, 45.

115. Parker, J.: A Filterable Poison Produced by B. influenzæ;—J. A. M. A., 1919, 72, 476.

116. Peacock: Influenza;—Boston Med. & Surg. J., 1919, 180, 185.

117. Peacock, T. B: Review of the Influenza or Epidemic Catarrhal Fever of 1847–1848;—The British and Foreign Medico Chirurgical Review, 1849, 7, 90.

60118. Pfeiffer, R.: Vorlaufige Mittheilungen über die Erreger der Influenza;—Deut. med. Wchnschr., 1892, 18, 28.

119. Pfeiffer, R.: Die Aetiologie der Influenza;—Zeit. f. Hyg., 1893, 13, 357.

120. Pfeiffer, R., and Beck, M.: Weitere Mittheilungen über den Erreger der Influenza;—Deut. med. Wchnschr., 1892, 18, 465.

121. Pritchett and Stillman: Occurrence of B. influenzæ in Throats and Saliva;—J. Exp. Med., 1919, 29, 259.

122. Rapoport: The Complement Fixation Test in Influenzal Pneumonia;—J. A. M. A., 1919, 72, 633.

123. Review of War Surgery and Medicine, Washington;—2, No. 1, 49.

124. Robertson and Elkins: Report on an Epidemic of Influenza Occurring at the Royal Asylum, Morningside, Edinburgh;—Brit. Med. J., 1890, 1, 228.

125. Rosenow: Prophylactic Inoculation against Respiratory Infection;—J. A. M. A., 1919, 72, 31.

126. Rosenow: Studies in Influenza and Pneumonia;—J. A. M. A., 1919, 72, 1604.

127. Schinz: Die Influenza Epidemie bei der Guiden-Abteilung 5;—Corr. Blatt f. Schweizer Aerzte, 1918, 48, 1329.

128. Schmorl: Pathologische-anatomische Beobachtungen bei der jetzt herrschenden Influenza Epidemie;—Deut. med. Wchnschr., 1918, 44, 937.

129. Schorer, E. H.: Influenza at the Port of Embarkation (Bacteriology);—N. Y. Med. J., 1918, 108, 641.

130. Shera: Influenza Epidemic of Spring of 1915;—Lancet, 1917, 192, 450.

131. Simmonds, M.: Zur Pathologie der diesjährigen Grippe;—Mün. med. Wchnschr., 1918, 65, 873.

132. Slye, Holmes, and Wells: Primary Spontaneous Tumors of the Lung in Mice;—J. Med. Res., 1914, 30, 417.

133. Smith: Influenzal Intra-abdominal Catastrophies;—Lancet, 1919, 196, 421.

134. Soper: Pandemic in the Army Camps;—J. A. M. A., 1918, 71, 1899.

135. Speares: Influenza;—Boston Med. & Surg. J., 1919, 180, 212.

136. Spooner, Scott, and Heath: Bacteriological Study of the Influenza Epidemic at Camp Devens;—J. A. M. A., 1919, 72, 155.

137. Spooner, Sellards, and Wyman: Serum Treatment of Type I Pneumonia;—J. A. M. A., 1918, 71, 1310.

138. Stone and Swift: Influenza and Bronchopneumonia at Fort Riley;—J. A. M. A., 1919, 72, 487.

139. Strouse and Bloch: Notes on Present Epidemic of Respiratory Disease;—J. A. M. A., 1918, 71, 1568.

140. Symmers: A Note on the Pathology of the Prevailing Pandemic Influenza;—N. Y. Med. J., 1918, 108, 621.

141. Symmers: Pathologic Similarity between Pneumonia of Bubonic Plague and of Pandemic Influenza;—J. A. M. A., 1918, 71, 1482.

142. Symmonds, C. P.: Nephritis in Relation to the Recent Epidemic of Influenza;—Lancet, 1918, 195, 664.

143. Synnot and Clark: The Influenza Epidemic at Camp Dix;—J. A. M. A., 1918, 71, 1816.

144. Talbot: Influenza among Children;—Boston Med. & Surg. J., 1918, 179, 779.

145. Thayer: Discussion on Influenza;—Proc. Roy. Soc. Med., 1919, 12, 28 & 61.

146. Thomas, H. M., Jr.: Rupture of Encapsulated Empyema into Pleural Cavity;—J. A. M. A., 1919, 72, 29.

147. Thompson: Influenza as it Affects the Air Passages;—Practitioner, 1919, 102, 12.

148. Titus and Jamison: Pregnancy Complicated by Epidemic Influenza;—J. A. M. A., 1919, 72, 1665.

FIG. LVII. AUTOPSY NO. 150. ORGANIZATION OF THE INFLAMMATORY EXUDATE AND REGENERATION OF THE MUSCLE FIBERS AFTER AN ACUTE HEMORRHAGIC MYOSITIS. COMPARE FIGURE LVI.

HELIOTYPE CO. BOSTON

61149. Torry and Grosch: Acute Pulmonary Emphysema Observed during the Epidemic of Influenzal Pneumonia at Camp Hancock;—Am. J. Med. Sci., 1919, 157, 170.

150. Uhlenhuth: Zur Bacteriologie der Influenza;—Med. Klin., 1918, 14, 777.

151. U. S. Pub. Health Reports, 1919, 34, 1.

152. Valentine: Study of Agglutination Reactions of B. influenzæ;—Bureau of Lab., N. Y. Board of Health Report, 1918.

153. Vaughan: The Bacteriology of Influenza (Editorial);—J. Lab. & Clin. Med., 1918, 4, 83.

154. Wadsworth, A. B.: A Study of Experimental Organizing Pneumonia;—J. Med. Res., 1918, 39, 147.

155. Wanner, F.: La Grippe à l’Hôpital d’isolement de Vevey en Juillet-Août, 1918;—Corr. Blatt f. Schweizer Aerzte, 1918, 48, 1729.

156. Wegelin: Pathologische-anatomische Beobachtungen bei der Grippe Epidemie von 1918;—Corr. Blatt f. Schweizer Aerzte, 1919, 49, 65.

157. Whittingham and Sims: Bacteriology and Pathology of Influenza;—Lancet, 1918, 195, 865.

158. Winternitz, M. C.: Anatomical Changes in the Respiratory Tract Initiated by the Inhalation of Irritating Gases;—Military Surg., 1919, 44, 476.

159. Winternitz, M. C.: Collected Studies in the Pathology of War Gas Poisoning;—Yale University Press, 1919.

160. Winternitz, M. C., and Hirschfelder, A. D.: Studies upon Experimental Pneumonia in Rabbits;—J. Exp. Med., 1913, 17, 657.

161. Winternitz, M. C., and Smith, G. H.: Intrapulmonary Irrigation;—Proceed. Soc. Exp. Biology & Med., 1919, 16, 55.

162. Wolbach, S. B.: Comments on the Pathology and Bacteriology of Fatal Influenza Cases Observed at Camp Devens, Massachusetts;—Bull. Johns Hopk. Hosp., 1919, 30, 104.

163. Wollstein, Martha: An Immunological Study of Bacillus influenzæ;—J. Exp. Med., 1915, 22, 445.

164. Wollstein and Goldbloom: Epidemic Influenza in Infants;—Am. J. Dis. Children, 1919, 17, 165.

165. Woolston and Conley: Epidemic Pneumonia (Spanish Influenza) in Pregnancy;—J. A. M. A., 1918, 71, 1898.

166. Yanagisawa: Experimental Study on the Mixed Injection of Bacillus influenzæ and Various Species of Cocci;—Kitasato Arch. Exp. Med., 1919, 3, 85.

FIG. LV. AUTOPSY NO. 146. ACUTE HEMORRHAGIC ENTERITIS ASSOCIATED WITH MULTIPLE BACTERIAL EMBOLI IN THE CAPILLARIES OF THE INTESTINAL MUCOSA.

62PRINTED IN THE UNITED STATES OF AMERICA

1. The history of the epidemics of influenza cannot but impress one with the difficulties of medical progress. Beyond the fact that the descriptions of the epidemics are such that the disease is recognizable as being the same, there is little of real value in the literature until the beginning of the 19th century.

In the 18th century the infectious nature of the malady had been recognized. The results of study in the first half of the 19th century are shown in the literature of the epidemic of 1847–49. In it, exceptionally good clinical descriptions and epidemilogical studies are published. In the next forty years great strides were made in Pathology and in the essentially new science of Bacteriology. With those two aids in the study of infectious disease, it is only reasonable to expect an increase in knowledge of influenza after the epidemic of 1889–90. Such is the fact and a comprehensive review of both the Bacteriology and Pathology of this disease is offered in Nothnagel’s Specielle Pathologie, 1896, Bd. IV, by O. Leichtenstern.

2. Early in the epidemic, Nicolle (106) and his co-workers described a filterable virus as the probable etiological agent in influenza. Several investigators have corroborated this work. Chief of these are: Gibson, Bowman, and Connor (46); Bradford, Bashford, and Wilson (16). The latter investigators independently isolated a filterable virus which may be cultivated by the Noguchi method and which, when inoculated into monkeys, produces a general reaction with specific respiratory lesions which, they think, are comparable to those of man in influenza. While these results must be confirmed, they offer greater promise than any other.

3. A marked fibrinous exudate in the lower trachea with the formation of a pseudomembrane was noted by Oberndorfer (108), Lubarsch (19), Coray (28), Borst (15), and Schmorl (128). Schmorl studied the bacteria from the trachea and found in sections streptococci, pneumococci, and staphylococci, but not B. influenzæ or B. diphtheriæ.

4. Simmonds (131), Bernhardt and Meyer (19) note that perichondritis may be present, but do not give a detailed description of the lesion. Gruber and Schädel (50) found this perichondritis to be associated with abscess formation.

5. Two examples of fresh endocarditis are reported by Malloch (95) and one by Dietrich (34), all of which were due to B. influenzæ. Acute myocarditis was observed by Blanton and Irons (12) and Gruber and Schädel (50). Glaus and Fritzsche (47) report a case with multiple hemorrhages, necrosis, and leucocytic infiltration of the heart muscle and also one of Zenker’s degeneration of the myocardium. Cases of both myocarditis and endocarditis are included by Leichtenstern (82) in a review of the epidemic of 1889–1890.

6. The picture is not unlike that of the interstitial pneumonia after measles as described by MacCallum (93).

7. Pneumothorax as a complication following influenzal pneumonia is mentioned in association with marked emphysema in the epidemic of 1889–90 by Leichtenstern (82). It has been found by X-ray examination in two cases of interstitial emphysema by Berkley and Coffen (8) and also has occurred at Camp Dix according to the report of Synnot and Clark (143).

8. The rarity of empyema has been commented upon by LeCount (78) and Torry and Grosch (149). The condition was found in a small number of cases by Wegelin (156), Malloch (95), Lyon (90), Chickering (25), and Thomas (146), while Goodpasture (48) described it in eleven out of sixteen cases of streptococcus hemolyticus pneumonia.

9. Fibrinopurulent pericarditis has been described by Simmonds (131), Stone and Swift (138), Lyon (90), Fildes et al (40), Jaffé (66), Glaus and Fritzsche (47).

10. The types of consolidation described as having been encountered at the post-mortem table apparently vary somewhat with the locality and the interpretation of the observers. The lobar type has been frequently found by Opie et al (110), Wollstein and Goldbloom (164), Stone and Swift (138), and others. The pseudolobar pneumonia has been mentioned by Abrahams et al (2), Keegan (67), and Speares (135), while the peribronchial type has been well described by Hubschman, Glaus and Fritzsche (47), and MacCallum (92). Lobular pneumonia has been noted by all observers. The type of consolidation in this series has been tabulated in relation to the inflammatory reaction.

Acute Fulminating Pneumonia Necrotization Organization Total
Lobar 0 2 3 5
Pseudolobar 2 4 3 9
Peribronchial 0 1 4 5
Lobular 42 32 2 76
 



Total 44 39 12 95

11. No particular search was made for such lesions until the epidemic was nearly half over. At that time word was received from Camp Devens that hemorrhagic lesions in the rectus muscle were being found. Thereafter, the recti were examined with care.

12. Abscesses supervening upon the rectus hemorrhages are reported by Beals, Blanton and Eisendrath (7), and by Glaus and Fritzsche (47). Generalized abscesses are reported by the latter and by Dietrich (34). Abrahams, Hallows and French (2) report subcutaneous abscesses; Beals, Blanton and Eisendrath, abscesses of the kidneys.

13. The sinuses of the head and middle ears were examined in a number of cases with negative findings. Suppuration of these areas is, however, reported by others.

Stone and Swift (138) found pus in the sphenoidal sinus in 68 per cent of their cases with pneumococci, streptococci and B. influenzæ present. Wolbach (162) found twenty cases of infection of the sphenoid sinus from twelve of which B. influenzæ alone or combined with pneumococci or streptococci were isolated. Lacy (74) reports four cases of influenzal sinusitis.

14. Acute nephritis has been reported by many observers, but the histological descriptions have been so meager that judgment regarding it must be suspended.

15. This condition has been met with more frequently in other localities. Stone and Swift (138) report it in a high percentage of their cases. Lamb and Brannin (77) encountered it seven times, and Blanton and Irons (12) report two cases. Borst (15) and Jaffé (66) also have found this complication.

16. Cheesman and Meltzer (24) demonstrated as early as 1898 the importance of primary injury for the localization and development of secondary infecting bacteria.


TRANSCRIBER’S NOTES

  1. The illustrations are not numbered in the order they appear.
  2. Silently corrected typographical errors and variations in spelling.
  3. Retained anachronistic, non-standard, and uncertain spellings as printed.
  4. Footnotes have been re-indexed using numbers and collected together at the end.